科室动态

您现在的位置: 首页 - 科室导航 - 外科部 - 心脏外科 - 科室动态

重获“心”生 清华长庚心脏外科完成一例小儿二尖瓣成形术

  北京清华长庚医院3月25日电 (通讯员 杨栩鹏) “崔医生,您真是名伟大的医生! ”洋洋妈妈在手术结束后,抓着清华大学附属北京清华长庚医院心脏外科主治医师崔晓征的手久久不愿放开。

  今年11岁的洋洋,在4个月前诊断为感染性心内膜炎,二尖瓣上长了赘生物,造成关闭不全。在其他医院输液治疗后,虽然感染被控制住了,但二尖瓣的赘生物随着心脏跳动脱落,栓塞到了左下肢动脉导致缺血,导致难以忍受的疼痛。洋洋经常在睡梦中被疼痛惊醒,长此以往,他性格变得越来越暴躁。洋洋妈妈看在眼里,急在心上,但因手术风险较大,在被多家医院拒绝后,洋洋妈妈来到了清华长庚寻求帮助。听闻洋洋艰难的求医之路后,崔晓征非常心疼洋洋,决定将洋洋收治入院,“他以后的日子还很长,我们要给他创造一个机会。”

        

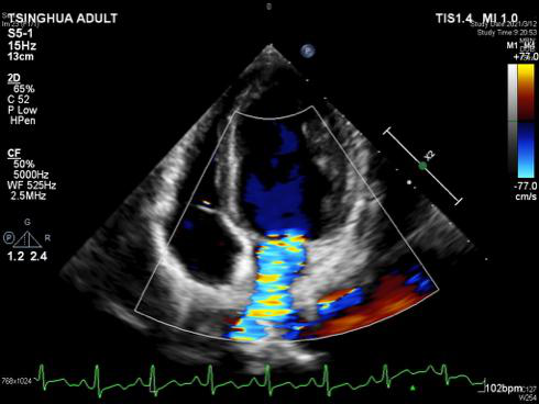
  图一   心脏超声显示二尖瓣大量反流                                   图二 左侧腘动脉以下闭塞

 

  入院时,洋洋被查出患有脑部栓塞,虽暂时还没有造成偏瘫等后遗症,但加上本身病程较长,如何将围手术期的风险降到最低成了当前最需要解决的问题。于是,由心脏外科牵头,联合血管外科、ICU、麻醉科的多位专家组成多学科讨论,对洋洋的手术方案、术中可能的风险及术后恢复等相关问题展开了探讨,最终决定此次手术先由心脏外科处理瓣膜问题,择期再由血管外科解决下肢栓塞的情况。

        

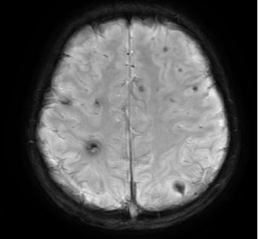
  图三  洋洋术前MRI发现有多发脑梗伴出血             图四   李温斌(左一)与崔晓征(右二)为患者手术

 

  与预期一样,二尖瓣由于细菌的长时间侵蚀,薄薄的后叶瓣叶已经穿孔,前叶瓣缘也存在赘生物。为了保住二尖瓣,崔晓征用小圆刀在薄薄的瓣膜上进行了显微操作,沿着二尖瓣的前叶轻轻地拨除附着在上面的赘生物,深一点就会损伤瓣膜,浅一点就会造成赘生物清楚不彻底,最终成功剥离了前叶的赘生物,同时没有损伤二尖瓣前叶。因为洋洋二尖瓣后叶穿孔,切除穿孔部分的二尖瓣,崔晓征对后叶进行了环缩,心脏复跳后,超声显示仍存在少中量的反流。

  通常这种情况下想保住二尖瓣很难,本可以按照计划将二尖瓣换成机械瓣,但考虑以后孩子要长期服药,还有面临二次手术风险的可能。“我们还是尽量让他使用自己的瓣膜,不要给孩子留下遗憾!”这样的信念使得崔晓征毫不犹豫地再次打开洋洋的心脏,对二尖瓣进行了二次修复。心脏再次复跳后,超声显示瓣膜干干净净,反流几乎完全消失,洋洋的二尖瓣保住了!。

  当得知儿子的瓣膜保住了,不仅不需要长期服用抗凝药物,而且还大大降低了再次手术的风险,超出预期的喜悦使得洋洋母亲激动不已,一时间竟不知如何去表达,千言万语汇成了一句:“崔医生,您真是名伟大的医生!”

  清华长庚医院心脏外科本着“以患者为中心”的原则,依托多学科优势互补的MDT制度,为患者制定获益最大的治疗方案,切实有效地解除众多患者病痛。“若您将心放我手心,必将还您一颗真心!”