健康教育

您现在的位置: 首页 - 科室导航 - 外科部 - 心脏外科 - 健康教育

《清华长庚临床病例精粹》——感染性心内膜炎合并主动脉夹层1例

     一、病例摘要

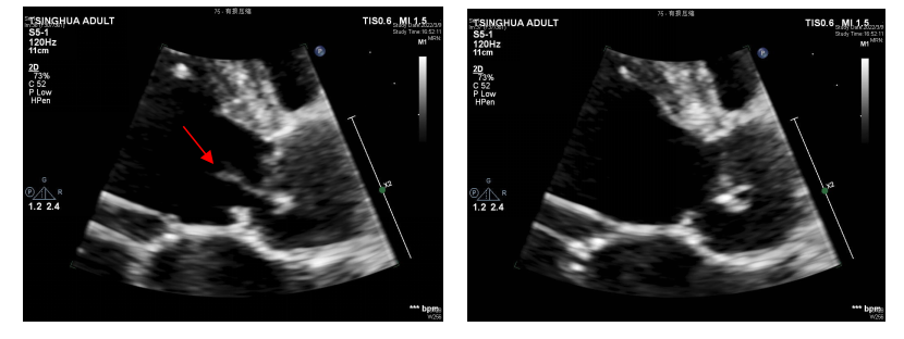
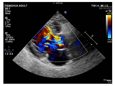
  男性患者,58岁,因反复发热2周就诊。2周前,患者无明显诱因出现发热,为驰张热,最高体温39℃,无寒战、咳嗽咳痰、头晕头痛、腹痛腹泻、尿频尿痛等不适,无胸背痛、喘憋、呼吸困难、心悸、大汗等不适。就诊附近医院化验白细胞升高,口服头孢抗生素,体温降至正常后停药,2天后再次出现上述发热情况。再次就诊时检查胸部CT时发现胸主动脉增宽,未见明确肺部感染征象。进一步行主动脉CTA发现Stanford B型主动脉夹层(如图1)并收治入院。入院后超声心动图检查,提示主动脉瓣占位(赘生物不除外)、重度关闭不全(如图2-A,B,C);血培养发现星座链球菌,考虑感染性心内膜炎,瓣膜赘生物形成。

  既往:高血压2年。高脂血症2年。高同型半胱氨酸血症2年。高尿酸血症2年。2年前发现右侧基底节脑出血,遗留轻微吞咽困难、左侧下肢肌力下降。

  

  (图1)主动脉夹层(Stanford B型)累及左侧锁骨下动脉

  

  (图2-A,B)主动脉瓣可见赘生物,舒张期脱入左室流出道。

  

  (图2-C)主动脉瓣大量返流

  专科体格检查:右上肢134/59mmHg,左上肢130/50mmHg,右下肢160/70mmHg,左下肢165/80mmHg。神志清,精神差,轻度贫血貌,双肺呼吸音清,未闻及明显干湿性啰音。HR:70次/分,心律齐,主动脉瓣听诊区可闻及舒张期杂音。双下肢无可凹性水肿。周围血管征(-)。左下肢肌力4级。病理征

  心电图:(如图3)左室高电压,ST-T改变

  

  心脏超声:左室舒张末径63mm,左室收缩末径49mm,LVEF:54%。主动脉瓣三瓣叶,均毛糙,其上探及数个不规则条索样回声,长约13-26mm不等,随心动周期摆动,舒张期脱入左室流出道,致瓣膜闭合不全,主动脉瓣瓣大量返流;二尖瓣前叶瓣尖略增厚、回声增强,瓣叶开放尚可,关闭欠佳,二尖瓣少量返流;余瓣膜形态及结构未见异常。结论:1、主动脉瓣占位,赘生物可能性大,重度关闭不全;2、左心室增大,室间隔增厚;3、二尖瓣少量返流;4、左室整体收缩功能减低

  血常规:WBC:10.99*109g/L,NE:81.9%,Hb:79g/L

  PCT:0.556ng/ml

  二、临床决策

  1、主要诊断:感染性心内膜炎 主动脉瓣赘生物形成并重度关闭不全;主动脉夹层(Stanford B)

      1)患者反复发热,主动脉瓣赘生物形成并瓣膜功能损害,血培养阳性。根据Duke标准,感染性心内膜炎诊断明确

      2)主动脉CTA明确主动脉夹层形成,诊断明确。 患者无胸痛等症状,所以夹层形成时间无法明确。  

  2、治疗方案选择:

      鉴于上述情况,基于我院MDT讨论,制订如下治疗方案:

      1)首先选择敏感抗生素抗感染治疗并积极控制血压。

      2)病情稳定,抗感染一个月后(体温正常,感染指标正常或明显好转,血培养阴性)实施手术治疗主动脉夹层及主动脉瓣病变。

      3)手术方案:先行介入方法治疗主动脉夹层,同期或随后实施主动脉瓣置换。

      4)病情不稳定(表现为以下可能性),应积极考虑提前手术。

          ① 感染控制不理想:反复发热,炎症指标无法控制

          ② 主动脉夹层进展

          ③ 不能控制的心力衰竭

          ④ 反复出现体循环栓塞表现

  3、治疗经过及手术过程:

      1)持续抗感染一个月,过程顺利,应用抗生素后患者体温正常,感染指标恢复正常并稳定。反复多次血培养(-)。患者主动脉夹层无明显进展,但逐渐出现喘憋症状,活动耐力下降等心功能不全的症状,给予利尿治疗后相对稳定。

      2)首先在全麻下行胸主动脉覆膜支架腔内隔绝术,锁骨下动脉支架置入术,烟囱技术左侧颈总动脉重建术。(如图4-A,B,C)

  

      3)2周后,患者体力恢复良好,随即在全麻低温体外循环下行主动脉瓣机械瓣置换术。术中可见升主动脉及主动脉窦部正常,主动脉瓣左冠瓣及无冠瓣均有穿孔。同时,无冠瓣可见赘生物形成。(如图5-A,B)

  

      4)术后恢复良好,继续静脉应用抗生素4周,同时进行康复锻炼后顺利出院。

  三、讨论与总结

  感染性心内膜炎和主动脉夹层这两种疾病在临床经常可以见到,而且在治疗方案上也有各自的指南和共识。本病例的特点为合并存在且同时发现和诊断。从病理解剖方面分析,两种病变无相关性,但是从病因学方面,是否同样来源于感染已无从可知,发病先后关系也无法考证。以上呈现的治疗经过和结果仅仅是临床实际中的选择,可能实施的选择并非仅此一种。下面针对可供选择的其他治疗方案进行简单讨论。

  感染性心内膜炎并发主动脉瓣赘生物及穿孔,实施主动脉瓣置换手术是具有共识性的基本手术方案。因本例患者同时合并Stanford B型夹层,使得整体治疗策略和手术方案具有一定的可选择性。

  1、单纯实施主动脉瓣置换手术,针对Stanford B型夹层采用药物保守治疗观察。

  对于Stanford B型主动脉夹层患者在急性期或亚急性期选择何种治疗方法,国内外还存在一定争议。对于有并发症的急性Stanford B型主动脉夹层患者(主动脉破裂、主动脉周围或胸腔积液增多、主动脉管径迅速增大、不能控制的高血压、充分药物治疗不能缓解的持续性胸痛和存在脏器缺血等)选择覆膜支架介入治疗或外科手术,目前已达成共识。但是对于无并发症,观察稳定的Stanford B型主动脉夹层,一些研究证明患者内科保守治疗和手术治疗结果没有明显差别,因此主张进行长期随诊和内科保守治疗。而另一些研究观察显示,未经治疗的Stanford B型主动脉夹层由于长期假腔开通和血流存在,在慢性期多达75%患者的假腔进一步扩张,一些患者可发展为动脉瘤样扩张或主动脉破裂死亡。而且,进一步扩张的动脉瘤给手术治疗带来更大的困难和风险。所以认为,只要存在内膜破口或假腔内存在血流,就应该进行手术治疗。

  本例患者为无症状、无明显并发症且相对稳定的Stanford B型主动脉夹层,单纯药物治疗随访也具有合理性。这样,单纯实施主动脉瓣置换,按感染性心内膜炎进行治疗,可以缩小手术范围,降低手术风险。但是主动脉夹层的预后遗留不确定的危险性。

  2、同期实施主动脉瓣置换+(左颈总动脉)左侧腋动脉分流手术+胸主动脉腔内修复术(Thoracic Endovascular aortic repair,TEVAR)

  Stanford B型主动脉夹层累及左侧锁骨下动脉并临近左侧颈总动脉,如果实施TEVAR,需要进行左侧颈总动脉和左侧锁骨下动脉的重建。在单纯介入治疗过程中,通常采用“烟囱”技术进行重建。

  本例患者因感染性心内膜炎需要实施主动脉瓣置换手术,实际上给复合杂交(Hybrid)手术提供了方便易行条件。具体参考方案是:全麻低温体外循环下正中切口实施主动脉瓣置换手术,继续行升主动脉至左侧颈总动脉和左侧腋动脉人工血管旁路移植手术,随后在介入下完成TEVAR。这种手术方式可以一次麻醉同期进行,实施升主动脉至左侧颈总动脉及腋动脉的人工血管旁路后,为后继的TEVAR提供了足够的锚定空间。但是这种手术适合在杂交手术室进行,对空间和设备要求相对较高。

  3、主动脉瓣置换+升主动脉置换+全弓置换+术中覆膜支架植入术

  由于患者存在感染性心内膜炎合并主动脉瓣功能毁损,实施主动脉瓣置换手术是必须的,而主动脉夹层的内膜破口在左侧锁骨下动脉附近,且处于慢性稳定期,所以,单纯外科手术一次解决两个问题其实也并不复杂。

  参考方案:主动脉瓣置换+孙氏手术(全弓置换+支架象鼻手术)。该方案相对于复合杂交手术对条件设备要求少,步骤简单。对于熟悉主动脉夹层手术的外科医生并不增加手术难度。不足之处在于手术需要实施深低温停循环。

  以上只是列举了三种可供选择的其他治疗方案,结合医疗团队经验,技术条件及设备条件,还可能有其他的治疗方案。对于特殊病例的治疗方案,虽然没有现成的指南和共识作为指导,建议可以采用相关学科的MDT形式进行讨论,选择制订适合病例特点,符合医疗机构和医疗团队条件的治疗方案。

  (沈冬焱)