健康教育

您现在的位置: 首页 - 科室导航 - 外科部 - 心脏外科 - 健康教育

心脏肿瘤疾病

  病例1  左房粘液瘤  

  一、病历摘要

  患者女,37岁,主因“间断胸闷憋喘伴咳嗽20天”入院。患者20天前活动后出现胸闷憋喘现象,伴咳嗽,休息后可自行缓解,无胸痛、心悸、头晕、乏力、恶心、呕吐、黑曚、意识丧失、体温升高,全身疼痛等不适,未特殊处理,上述症状于活动后间断出现,数次每天。1天前患者再次出现上述症状时就诊于当地医院,行心脏彩超考虑“左房粘液瘤”,患者今晨1:30于宾馆上厕所时发生晕厥现象,无恶心呕吐,平躺2分钟左右清醒,伴面色苍白,急打120送至我院急诊科,予吸氧心电监护等治疗后患者面色逐渐红润,以“左房粘液瘤”收入院。

  

  既往体健,无高血压糖尿病等慢性病史。否认呼吸、消化系统疾病病史,否认肝炎、结核等传染性疾病及其密切接触史,否认手术外伤史、输血史,否认药物及食物过敏史。

  查体:体温38.9℃,心率123次/分,呼吸30次/分,血氧饱和度90%,四肢血压:右上肢111/73mmHg,左上肢93/59mmHg,右下肢157/71mmHg,左下肢134/72mmHg,未见颈静脉怒张,肝颈静脉回流征阴性,呼吸节律规整,双肺呼吸音清,可闻及双肺湿啰音,左肺为甚。心前区无隆起,心尖搏动位于左侧第5肋间锁骨中线内侧0.5cm,未及心脏摩擦音,心律齐,心率123次/分,二尖瓣听诊区可闻及舒张期扑落样杂音,叩诊心界不大,腹软无压痛,肝脾肋下未触及,双胫前无凹陷性水肿,双足背动脉搏动可。

  二、临床决策

  诊断:左房占位主要根据间断胸闷憋喘伴咳嗽等临床症状结合影像学主要是超声心动图评估作出诊断;根据超声心动图检查,可见左房占位蒂附着于房间隔左房面与卵圆窝相应的位置,单发,通过形态及活动度,考虑为单纯粘液瘤。

  鉴别诊断:本病从病理生理方面主要与风湿性心脏病二尖瓣病变相鉴别。粘液瘤患者无风湿热病史,病情进展较快,可以有一过性晕厥史。随体位而改变的杂音是粘液瘤的特征。超声心动图检查具有鉴别诊断价值。

  手术:目前左房粘液瘤患者手术指征粘液瘤可阻塞瓣膜开口导致心力衰竭或心跳骤停,瘤栓脱落导致脑检塞等也可以引起死亡。因此,一且确诊,立即争取手术治疗。一般心脏患者如有长期发热、心力衰竭、贫血、血沉增快等现象,须延缓手术。但对心脏粘液瘤患者需具体分析,否则可能丧失手术机会。如有高热、血沉快,全身症状为主要表现,并且考虑是由粘液瘤引起,应立即手术,摘除肿瘤能使体温下降、心率变慢、血沉恢复正常、心衰得到控制。如果感染性心内膜炎引起的高热、心力衰過,不宜急于手术,应该控制高热、心衰后手术,以免发生严重的并发症[1-2]。该患者左房占位病变巨大,且血流动力学不稳定,肿物随左心室舒张通过二尖瓣从左房脱入左室,左心室收缩又返流回左房,因粘液瘤部分阻塞二尖瓣口,随体位变化有间歇性昏厥的患者,我们选择严格限制卧床体息,应用静脉滴注多巴胺强心维持血压,同时给予利尿药减轻肺水肿,准备急症手术。

 

  围手术期:一般的术后处理与体外循环心内直视手术相同。此患者与二尖翻器质性病变,在病理生理方面有不同的特点,其病史较短,未引起心房扩大与心室肥厚劳损;肺血管的改变也较轻微,未发生肺血管的器质性改变,其体内血容量也没有显著的改变。因此术后早期输血液时严密监测左房压,避免补充过量胶体引起急性左心衰肺水肿。考虑患者术前心功能良好,术后给予应用少量多巴胺与多巴丁胺微泵泵入,提高心肌收缩力与心排出量,同时加强辅助呼吸,补充丢失的血容量,维持正常的血压。

  并发症及其防治:

  1)栓塞:发生栓塞的主要原因为探查时过度挤压心脏,或体外循环插管导致肿瘤碎裂脱落;还有切除肿瘤时强行提拉瘤蒂发生瘤体碎裂。如发生上述情况,应反复冲洗左右四个心腔,避免肿瘤碎片隐藏在心室的肌小梁内。冲洗后应鼓肺促使血液从肺动静脉内溢出,使可能脱落至肺血管内的碎片随血液流出,有时需暂时松开主动脉阻断钳,使血液回流入左室吸除后再阻断主动脉钳进行冲洗检查。瘤体碎片栓塞的部位多见于脑血管,也可发生于其他部位的血管。主要表现为术后早期患者意识不清、抽摘,并出现偏、失语等定位体征。治疗的方法主要是采用头部降温,利尿脱水,应用甘露醇降低颅内压等措施,使患者度过危险期,促使康复。但其预后较差,多数患者遗留不同程度的偏瘫。其他较大的动脉栓塞,确定诊断后,可手术摘除瘤栓。

  2)急性心力衰竭:心脏粘液切除后,解除了二尖瓣的梗阻;由于心肌的代偿能力较好,术后发生心衰的机会较少。发生这种并发症的主要原因,是术后短期内补充液体特别是胶体过多过快,造成容量负荷过重,引起急性左心衰竭,严重者可以并发急性肺水肿。治疗措施主要是静脉注射毛花苷C,静脉持续滴注多巴胺或多巴酚丁胺,增强心肌收缩功能;快速利尿脱水,减轻心脏容量负荷。应用硝普钠等扩张血管药物,降低压力负荷,采用呼气末正压轴助呼吸,减轻肺泡间质水肿,增强肺泡的弥散功能,避免缺氧与加重心力衰竭。

  3)心律失常:心房粘液瘤切除术一般须切除部分房间隔,对于结间束有一定的损害,而易发生传导系统的紊乱。常出现的为房性心律失常或部分传导阻带。这种心律失常往往是窦性心动过速或过缓,如对血流动力学影响不显著,可严密观察,暂不作处理。如窦性心动过速超过150次/min,影响心脏搏出量时,可以静脉缓慢注射维拉帕米,使心率降至100-120次/min;窦性心动过缓至60次/min以下者,静脉滴注异丙肾上腺素溶液,使心率増加到80次/min以上。针对性的应用抗心律失常药物均可得到有效的控制。但对于肿瘤基底部过大,切除范围较广而造成Ⅲ房室传导阻的患者,则需要安装永久起搏器。

  

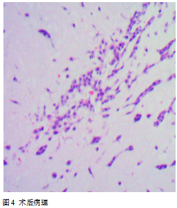
  术后病理:(左心房肿瘤)肿瘤细胞呈圆形、梭形及星芒状,单个散在或呈条索状排列,其周可见空晕,间质富于粘液,部分肿瘤细胞围绕血管周围排列,血管扩张充血伴大片出血。形态符合粘液瘤。

  三、讨论与总结(可含述评、学习点)

  心脏肿瘤比较少见。可分为原发性肿瘤和继发性肿瘤两大类。

  原发性心脏肿瘤远比继发性心脏肿瘤少见。

  1959年 Columbus首先报告了心脏肿瘤;1931年Yaten对心脏肿瘤分类;1934年 Bares首次作了心脏肿瘤的临床报道,后来尸体检验证实为原发性心脏肉瘤。原发性心脏肿痛的发病率各家报道不一致,约0.0017%-0.01%,而继发性心脏肿瘤却高出10-20倍。在原发性心脏肿瘤中良性肿瘤占多数(大约75%),恶性肿瘤较少见。心脏粘液瘤是最常见的心脏良性肿瘤,约占1/2。Endo对1993~1994年全日本126家大学医学院115例原发心脏肿瘤进行了分析,其中98例(85%)是良性的,粘液瘤最常见占91例(79%)。恶性肿瘤17例(15%),肉瘤最常见。在原发性心脏肿瘤中,60%是女性患者。在粘液瘤中,左心系统占84%(76例),右心系统占13%(12例),累及双侧心腔者占3%。在恶性脚瘤中,右心系统发生率高于左心系统。

  心脏粘液瘤是最常见的心脏良性肿。以女性为多见,男女比例约为1:2。可见于任何年龄。发病年龄多见于30-50岁。粘液瘤可发生于各个心腔,最常见的是左心房约占75%;其次为右心房,约占20%;少数位于右心室或者左心室,也可累及多个心腔。粘液瘤绝大部分为单发性,见于一个心腔;但也可为多发性,同时发生在多个心腔内;还有家族性的粘液病例粘液瘤可分为单纯或散发的粘液瘤和复杂粘液瘤两类。前者占绝大多数,多为单发,多见于典型部位(即左房内房间隔上与卵圆窝相应的部位)。手术切除后一般不复发。后者包括粘液瘤综合征、家族性粘液瘤、多中心发生的粘液瘤。上述三方面又有交又重叠。患者一般比较年轻,生长部位常常不典型,临床表现凶猛、复杂。粘液综合征又称 Carney’s综合征,包括以下几种罕见情况:①心脏粘液;②皮肤粘液;③粘液性乳腺纤维;④皮肤斑点色素沉着(包括雀斑和某些痣);⑤可引起 Cushing's综合征的原发性着色结节性肾上腺皮质病;⑥垂体腺瘤;(⑦睾丸肿瘤,特别是巨大细胞钙化性 Sertoli细胞瘤。这类患者有多中心发生的倾向。家族性粘液瘤患者也较年轻,肿瘤易累及右侧或双侧心腔,且易复发。单发的粘液瘤女性多见,而家族性粘液瘤中男性患者数量接近于女性。对家族性粘液瘤的研究提示,它常具有不同表现型的染色体先行方式遗传或X连锁的显性遗传。有人发现家族性粘液瘤患者的细胞染色体均存在异常,而非家族性散发性粘液瘤患者中仅20%有此改变。(崔晓征)

  

  四、参考文献

  1.朱晓东,张宝仁主编. 心脏外科学. 北京:人民卫生出版社,2007

  2.汪曾炜等主编. 手术学全集 心脏血管外科卷. 北京:人民军医出版社,1995

  2.顾恺时主编.顾他时胸心外科手术学.上海:上海科学技术出版社,2003

  3.刘沙,王哲,陈安清,等. 心脏黏液瘤和黏液肉瘤的外科治疗. 上海医学,2003,26(2):145-147

  4. Malekzadeh S, Roberts WC. Growth rate of left atrial myxoma. Am J Cardiol, 1989, 64 (16): 1075-1076

  5. Silverman NA. Primary cardiac tumors. Ann Surg, 1980, 191 (2):127-138

  6. Endo A, Ohtahara A, Kinugawa T, et al. Clinical incidence of primary cardiac tumors. J Cardiol, 1996, 28(4):227-234

  7. Carney JA. Hruska LS. Beauchamp GD, et al. Dominant inheritance of the complex of myxomas, spotty pigmentation,and endocrine overactivity. Mayo Clin Proc, 1986, 61(3): 165-172