健康教育

您现在的位置: 首页 - 科室导航 - 外科部 - 心脏外科 - 健康教育

治疗冠心病的经典外科手术

  一、病例摘要 

  女性患者,67岁,以发作性胸痛4年,加重1周急诊入院。患者4年前活动时出现胸闷、胸痛不适,症状持续3-5分钟,休息后自行缓解,就诊于当地医院行冠脉造影术提示冠脉狭窄75%(具体不详),未行再血管化治疗,出院后规律口服氯比格雷、阿托伐他汀、酒石酸美托洛尔、单硝酸异山梨酯治疗,自觉症状好转。1周前出现轻微活动后心前区压榨样疼痛,伴胸闷、大汗,持续10分钟左右自行好转,未予重视,2天前活动后再次出现上述症状,在附近医院诊断为“急性非ST段抬高型心肌梗死”,住院给予药物治疗症状缓解。因仍偶有心绞痛发作,转至我院急诊冠脉造影示左主干+三支病变。

  既往高血压病史10余年,规律降压治疗;糖尿病病史10余年,口服降糖药物治疗;高脂血症病史4年余,口服降脂药物。

  体格检查:右上肢118/58mmHg,左上肢106/56mmHg,右下肢144/65mmHg,左下肢151/67mmHg。双侧瞳孔等大等圆,对光反射灵敏。双肺呼吸音清,未闻及明显干湿性啰音。HR:70次/分心律齐,各瓣膜区未闻及病理性杂音。双侧Allen征阴性。双侧股动脉搏动良好,双侧足背动脉搏动稍弱。左下肢大隐静脉走行区未见团块状突起,右下肢大隐静脉走行区可见团块状微突起。双侧病理征阴性。

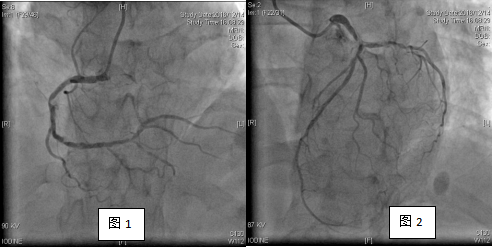
  造影结果如图(1-2):

  

  (可见左主干末端严重狭窄,前降支及回旋支开口严重狭窄,第一对角支开口80%狭窄,右冠脉弥漫性病变,严重段90%狭窄,后降支弥漫性病变。)

  心电图(图3-4): 

   

  图3:入院当时心电图,窦性心律,V1-6ST段压低,Ⅱ、Ⅲ、αVF ST段轻度压低,T波低平倒置

  

  图4:入院后第三天心电图,窦性心动过缓 Ⅱ、Ⅲ、αVF ST段轻度压低,T波低平倒置。ST段较入院时改善

  心脏超声:左室舒张末径47mm,LVEF:54%,左室下后壁基底段运动不协调,收缩幅度减低,主动脉瓣少量反流,二尖瓣少-中量反流。

  心损指标变化:(第一时间点为急诊入院结果)

  

  二、临床决策

  1、临床诊断:冠心病 急性非ST段抬高心肌梗死

  患者典型心绞痛症状,心电图显示心肌缺血并有动态演变,出现心肌酶明显升高,诊断急性非ST段抬高型心肌梗死比较明确

  2、治疗方案选择:

  冠脉造影显示患者为严重左主干狭窄患者,严格药物治疗仍出现心肌缺血进展,需要采用再血管化治疗方案。对于左主干病变,冠状动脉旁路移植手术一直以来是首选的再血管化治疗方案,推荐级别及证据等级为Ⅰa类。所以,对于该患者,首选冠状动脉旁路移植手术。

  3、手术时机选择:

  患者转入我院后,症状比较稳定,停用双联抗血小板治疗(阿司匹林+氯吡格雷)改为阿司匹林+低分子肝素治疗过渡,同时完善相关手术前检查。5天后在全麻下行冠脉搭桥手术。

  4、手术方案设计及手术过程:

  手术在全麻非体外循环下完成。

  移植物选择:左乳内动脉(LIMA)、非优势手桡动脉(RA)及大隐静脉。

  目标血管:左前降支(LAD)、第一对角支(D1)、钝缘支(OM),右冠脉(RA)分支。结合术中探查情况,后降支(PDA)弥漫性硬化,不适合搭桥。最终选择条件较好的左室后支(PL)进行搭桥。

  手术过程循环平稳,术中出血约400ml,自体血回输110ml

  三、讨论与总结

  本病例是临床工作中经常遇到的情况,在治疗过程中体现了冠状动脉旁路移植手术中常见问题的探讨和决策,以上呈现的仅仅是实际的一种选择,而现实工作中,可能实施的选择并非仅此一种。下面针对相关的常见决策点及思路进行简单讨论。

  1、治疗方案选择:单纯药物治疗?冠脉介入(PCI)?冠状动脉旁路移植手术(CABG)?

  患者4年前通过冠脉造影明确冠心病诊断,并规律严格服用药物治疗,入院前1周再发症状,且逐渐加重,复查冠脉造影显示严重左主干+三支病变。病情进展,血管病变严重程度均提示单纯药物治疗已经无法控制病情,需要进行再血管化治疗。 再血管化治疗有两种基本方法:PCI和CABG

  对于左主干,尤其是左主干远端病变,延续至前降支和回旋支开口的“三叉口”病变,不论是在国内专家共识还是AHA/ACC及欧洲冠脉再血管化指南中CABG都是Ⅰa类推荐。而且合并糖尿病的患者,CABG的获益更大。PCI目前在临床实践中越来越多的应用于左主干病变患者中,取得了很多经验,推荐等级也在不断提升,但病例选择仍需严格把握,谨慎选择。

  目前,冠脉“杂交”技术在临床实践中有所增加,结合PCI和CABG两项技术的优势,取长补短。在合适的患者中减小了外科手术的创伤和风险,同时也降低了PCI的风险。此例患者“杂交”手术方案也是可以探讨的。

  2、手术时机选择:急诊手术?限期手术?择期手术?

  左主干严重狭窄属于高危冠脉病变,一旦发生缺血加重,病情通常比较危重,甚至猝死。所以,对于这类患者,通常采取积极的手术态度,但并不是都需要急诊手术。目前在实施冠脉造影检查前常常给予双联抗血小板治疗,而且要达到负荷剂量,这种情况下实施急诊外科手术,手术出血及术后出血较多,增加相应风险。而且在手术前对全身状况评估不充分的情况下实施急诊手术,也存在未知的潜在风险。所以在这个病例中,症状相对稳定的情况下,我们选择了在密切监护下(症状评估、心电图观察、心肌酶追踪)完善常规术前评估,同时停用双联抗血小板治疗,转变为阿司匹林口服联合低分子肝素治疗,5天后进行外科手术。但是对于监护过程中临床状况不稳定的患者(症状频繁或不能完全缓解,心电图呈不稳定或恶化状态,缺血引起频发心律失常等情况),不应局限于以上顾虑,需要权衡利弊,必要时果断实施急诊手术。实施急诊手术后可补充血小板和新鲜血浆以减少术后出血。

  3、体外循环亦或非体外循环手术:

  体外循环作为心脏外科手术的基本技术目前已经非常成熟,安全性也不断提高,体外循环下实施冠状动脉旁路移植术也是心脏外科医生普遍采用的方案。但是因为体外循环毕竟不是生理循环状态,对人体的影响仍然存在。单纯冠状动脉旁路移植术是心脏表面手术,不需要切开心脏进行心内操作,所以理论上并非必须进行体外循环,从而可以避免体外循环对人体的不良影响。在实际临床工作中,实施非体外循环冠状动脉旁路移植手术效果可靠,但是在没有体外循环辅助状态下精准完成手术同时维护平稳的生理循环状态对手术医生和麻醉医生要求比较高。

  单纯冠状动脉旁路移植术采用体外循环还是非体外循环是外科医生的决策之一。在手术组团队能够精准完成再血管化手术计划,并保持平稳的血流动力学状态下,我们首选非体外循环手术。在患者循环状态不平稳,非体外循环下难以完成预定手术计划时,体外循环辅助下完成手术也同样是安全的。

  4、 血管移植物的选择:冠状动脉旁路移植手术中常用的血管移植物——“桥血管”有乳内动脉(胸廓内动脉)、桡动脉,大隐静脉。其他可供选择的血管还包括腹壁下动脉、胃网膜右动脉,小隐静脉等。我们通常情况下,每例冠状动脉旁路移植术都会选择LIMA完成LAD的搭桥;年龄小于70岁患者,术前评估桡动脉(桡动脉超声及Allen试验),血管条件较好,选择非优势手(多数情况是左侧)桡动脉作为血管移植物;其他桥血管选择大隐静脉。

  LIMA在冠状动脉旁路移植术中的优势已得到心脏外科医生和冠脉介入医生的公认。更多的使用动脉移植物作为桥血管,也成为普遍观点。因为可供选用的动脉移植物血管数量有限,同时动脉移植物血管在手术早期的痉挛以及远期因竞争血流问题出现的闭塞也逐渐得到关注,所以静脉血管作为移植物也是常用的。如何安全地利用有限的动脉移植物,如何根据患者冠脉血管情况及心脏功能情况选择合适的移植物也是外科医生的决策之一。

  5、搭桥目标血管的选择:搭桥的目标血管,通常也称为“靶血管”。通常靶血管的选择是术前通过阅读冠脉造影确定的,术中还要结合阅片选定的靶血管进行探查。对于弥漫性硬化性改变的冠脉血管是否进行再血管化,是否进行内膜剥脱再行搭桥,同样是外科医生的决策之一。本例患者PDA术中探查呈弥漫性硬化改变,而PL的血管条件较好,所以仅选择对PL实施搭桥,放弃对PDA的处理。

  现在广泛采用的冠状动脉旁路移植手术始于二十世纪六十年代,沿用至今已经60年之久,成为治疗冠心病的经典的外科术式。基本方法是应用移植物血管从主动脉及其直接分支建立血运重建的通路,绕过冠状动脉主要的狭窄部位以改善心肌缺血。历经半个世纪以上的临床实践,充分证实了这种手术方式的有效性和安全性。在临床实际工作中,因患者病情轻重缓急不同,合并疾病情况各异,采用同样的决策原则而临床结果却可能存在差异。当然,对于同一个患者不同的抉择也可能取得相似的结果,所以实施手术前和术中的决策是对心脏外科医生一种考验。 

  (沈冬焱)