科室动态

您现在的位置: 首页 - 科室导航 - 外科部 - 血管外科 - 科室动态

个体化精准评估,血管外科为颈动脉狭窄患者选择合适手术方案

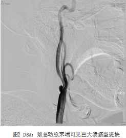
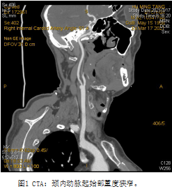
  北京清华长庚医院4月28日电(通讯员 赵克强 吴巍巍)胡先生,62岁,3月前无明显诱因出现左手麻木、无力,5分钟后自行缓解,超声发现右颈动脉起始部狭窄70%,就诊于清华长庚医院血管外科。入院后完善术前检查,赵克强副主任医师为患者行全脑动脉造影提示:右侧颈动脉重度狭窄,颈总动脉巨大溃疡型斑块,延迟可见造影剂滞留于溃疡内;斑块超声造影及高分辨核磁分析,评估为不稳定斑块,极易脱落导致脑梗死。头颅MR可见脑内陈旧性多发腔隙性梗塞灶,以右侧前循环供血区域为著;患者原本计划行颈动脉支架微创手术,但考虑到支架无法完全覆盖巨大溃疡,围术期梗死风险较大,不适宜实施该项手术,经全科讨论后决定为患者进行颈动脉内膜剥脱术,血管外科吴巍巍主任、赵克强副主任医师在全麻下为老胡安全实施颈动脉内膜剥脱术,术后病理提示颈动脉巨大溃疡型斑块,斑块内出血;术后48小时顺利拔除伤口引流,1周拆线、康复出院,术后随访期间未再次出现TIA发作。

   

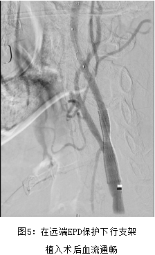
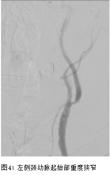
  王先生,77岁,2月前无明显诱因出现头晕、黑矇、双下肢乏力,步行20余米需停下休息,1月前曾因下肢无力在家中摔倒1次,后于骑电动车途中摔倒1次。曾于外院输“活血”药物治疗,无明显好转。就诊于我院普内科,完善详细检查后考虑左侧颈动脉狭窄、脑梗。王老先生既往慢性疾病较多,15年前发现肺气肿、肺大疱及慢性支气管炎等慢性阻塞性肺病;2011年因急性心梗于行PCI术治疗,植入2枚支架,近期偶有心绞痛发作;同时还有高血压、慢性肾功能不全等疾病。术前超声造影提示:左侧颈动脉重度狭窄,局部峰值流速约200cm/s,斑块可见较多造影剂微气泡及细线样灌注;考虑为不稳定斑块。因患者心肺肾等重要脏器功能欠佳,无法耐受颈动脉内膜剥脱手术,经多学科MDT讨论评估后决定行微创颈动脉支架治疗;赵克强副主任医师在局麻下为王先生进行了微创颈动脉支架手术,40分钟内手术顺利结束,仅仅用了不到50ml造影剂,避免肾功能的进一步恶化,术后3天康复出院。术后随访期间老王未再次出现头晕、黑矇等TIA发作表现。

       

 

  什么是颈动脉狭窄

  颈动脉壁分为内膜、中膜和外膜三层,超声下内中膜厚度(IMT)一般小于1mm,超过1.3mm就判断为颈动脉斑块,形成颈动脉斑块最主要的病理机制是动脉粥样硬化。

  据统计,美国40岁以上人群超声筛查62%存在颈动脉斑块,我国的超声筛查结果也显示中老年人颈动脉斑块的检出率达到60.3%。因此发现颈动脉内中膜增厚或斑块,管腔未狭窄时不用过分担心。但是,颈动脉内中膜增厚或斑块往往提示人体全身动脉硬化的状况,需要加以重视,定期复查。  

  颈动脉狭窄与脑卒中的关系

  颈动脉狭窄超过50%后斑块脱落的风险就大大增加了,常见的临床症状包括短暂性脑缺血发作(TIA),即“小卒中”:突然发生头昏目眩,一侧眼晴暂时性发黑,胳膊、腿发麻无力,言语不清,一侧肢体无力,持物不稳,口角歪斜等,常于24小时内恢复。这些表现是由于颈动脉粥样硬化斑块脱落,导致颅内小动脉栓塞所造成的,也是重要的“预警”信号,如果继续发生较大斑块脱落,造成相对粗大的颅内动脉栓塞,可导致急性脑梗塞,便会引起永久性的偏瘫、偏身感觉、偏盲及语言功能的障碍等。另外,还可能因为颈动脉狭窄而导致的脑供血不足,而造成慢性脑损害症状,可引起智力和认知能力等高级智能活动的受损。  

  得了颈动脉狭窄,该如何治疗?

  如果斑块厚度在2mm以内,无明显头晕、黑矇、肢体麻木无力等脑缺血症状,首要的措施是稳定斑块、延缓斑块生长。控制诱发颈动脉斑块的危险因素非常重要,控制血压、血糖和血脂;避免高盐高脂饮食,吸烟的人要戒烟,养成良好的生活习惯,保证睡眠质量,加强运动,每年复查颈动脉超声,监测斑块的变化。

  斑块厚度在2-3mm之间,超声提示血流速度没有增快,合并危险因素较多的患者,需同时服用抗血小板药物。如果调整生活方式后血脂仍高,建议使用他丁类降脂药物,要求低密度脂蛋白控制于2.0mmol/L以内。

  如果斑块厚度超过3mm以上,超声提示血流速度增快,尤其合并TIA等脑缺血症状患者,建议到血管外科专科全面评估斑块性质。

  目前还没有一种药物能够确切消除颈动脉斑块,但调整生活方式,控制危险因素,可以延缓斑块的生长。很多保健品鼓吹能够消除斑块,疏通血管,请大家莫要相信。  

  哪些情况下需要手术治疗?可供选择的手术方式有哪些?

  当斑块增大一定程度,引起重度颈动脉狭窄(狭窄程度>70%)或有“TIA”反复发作的有症状颈动脉狭窄(狭窄程度>50%)就需要进行手术治疗。

  颈动脉内膜剥脱术是治疗颈动脉狭窄的金标准。大量的临床研究已经充分证明了颈动脉内膜剥脱手术剥除斑块预防脑卒中的安全性、和有效性。目前有转流+补片式及外翻式颈动脉内膜剥脱两种术式。

  近年来,随着微创治疗技术的进步,尤其是脑保护装置的应用,颈动脉球囊扩张支架植入术在颈动脉狭窄治疗上的应用日益增多。而且,该技术的优势明显:创伤小,恢复快,住院时间大为缩短,特别是伴有心肺血管疾病的高龄患者可以优先考虑该治疗措施,可以降低围手术期心肌梗死等风险。