科室动态

您现在的位置: 首页 - 科室导航 - 外科部 - 血管外科 - 科室动态

锁骨下动脉狭窄-小心体内偷血的窃贼

  北京清华长庚医院7月3日电(通讯员 赵克强)老王今年78岁了,近几年总是觉得头晕、眼前发黑,左胳膊没劲,最近一段时间在家晕倒过几次,被家人劝说来医院看病,血管外科赵克强副主任医师询问病史并查体,追问病史,左侧脉搏几年前就发现搏动减弱,左上肢血压低,村里的老中医说体虚、气血不足,服用了几幅中药没什么好转,也就没去管它。赵主任为老王安排了头颈部血管超声检查发现:左侧锁骨下动脉闭塞,左侧椎动脉血流反向。

  赵医生和老王及家属交代,这个病叫做:锁骨下动脉窃血综合征,是导致头晕、晕厥的罪魁祸首,如果不及时治疗,会诱发后循环缺血梗死,甚至会导致严重的神经功能障碍。住院后老王完善了术前检查无手术禁忌,接受了微创手术,通过右侧大腿根及左肘部的两个穿刺点就完成了锁骨下动脉开通,术后三天老王康复出院了;术后至今1年多了,老王再也没有出现上述脑缺血的症状。

   

            图1左侧锁骨下动脉闭塞,箭头所指               图2 经右侧椎动脉造影:可见血流自左侧椎动脉向远

                                                                                                   端逆向供应左侧锁骨下动脉,颅内大脑后动脉显影不佳  

    

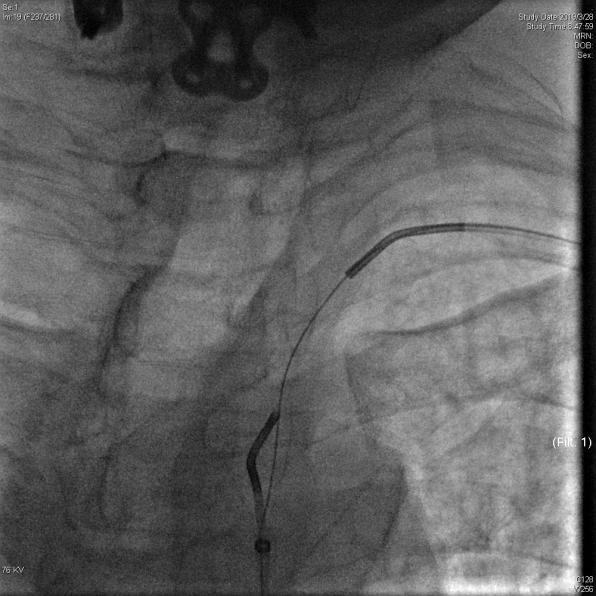
图3 双向会师建立通路                             图4 植入支架后血流恢复通畅

  据赵克强副主任医师介绍, 锁骨下动脉窃血综合征是由各种原因引起锁骨下动脉近端重度狭窄或闭塞,使锁骨下动脉远端管腔内压力下降,患侧血压低于椎-基底动脉压力时,同侧椎动脉反向血流供应患侧上肢血液,导致椎基底动脉供血不足、后循环缺血所引起的一系列症候群。整体人群患病率:2%左右;主要的临床表现有:1)后循环缺血:头晕、恶心、呕吐、平衡功能障碍、复视(视觉中枢);2)卒中:50%脑梗塞是与颅外段头颈部动脉狭窄相关:3)上肢缺血症状:患肢无脉、发凉、乏力、疼痛、指端发紫、坏疽。

  通过四肢血压测定即可初步筛查该疾病,同时测量双上肢血压,收缩压相差超过20mmhg,血压较低侧可能有锁骨下动脉狭窄;如果发现上肢脉搏搏动减弱或听诊发现锁骨上窝收缩期吹风样杂音,也应考虑该病的可能。

  最后提醒大家,筛查锁骨下动脉狭窄的手段非常简单,颈+椎动脉彩超检查即能实现。 头晕、脉弱、双上肢血压相差较大的人群以及>50岁的中老年如伴有脑卒中危险因素(高血压、血脂异常、糖尿病、心房颤动、吸烟史、明显超重或肥胖、缺乏运动和脑卒中家族史) 进行彩超筛查该疾病。