科室动态

您现在的位置: 首页 - 科室导航 - 外科部 - 血管外科 - 科室动态

5.5肺动脉高压日专题二——“致命的胸痛—除了心梗,还需要警惕肺栓塞”

  北京清华长庚医院55日电(通讯员朱融融 赵俊来 吴巍巍)20125月,在西班牙马德里召开了关于肺动脉高压的科学研讨会,经过22个患者组织、10个罕见病及其下属机构以及8家科研机构的共同商讨,提议每年的55日为世界肺动脉高压日。

  肺动脉高压是一种发生在肺部的高血压,随着患者肺部血管压力和阻力的持续性升高,最终可导致心脏及肺部衰竭。

  世界肺动脉高压日的设立旨在传播有关肺动脉高压知识,增强人们对疾病的认识,帮助患者获得早期诊断,早期诊断可以有效地降低患者死亡率;推广相关的治疗方法和药物;提高全球2500万肺动脉高压患者的生活质量,延长生存寿命。

  肺动脉高压起病隐袭,具有易误诊、漏诊的特点,一旦诊断治疗花费极高而周期漫长,生活质量下降致残率极高。肺动脉高压有五大类,而其中第四大类——慢性血栓栓塞性肺动脉高压(Chronic Thromboembolic Pulmonary Hypertension, CTEPH)尤其需要关注,因为这是一类可以预防、可以治愈的肺动脉高压,也是唯一类可能不需要通过肺移植而获治愈的肺动脉高压。

  什么是慢性血栓栓塞性肺动脉高压?

  肺动脉高压是由多种已知或未知原因引起的肺动脉压异常升高的一种病理生理状态和血流动力学改变,导致肺动脉压力增高(海平面静息状态下,平均肺动脉压25mmHg)。

  CTEPH是由于肺动脉内血栓机化,尤其是合并了严重的肺血管重构,出现血管狭窄或闭塞,最终导致了肺动脉高压。

  为什么会形成慢性血栓栓塞性肺动脉高压?与急性肺栓塞有关吗?

  CTEPH的发病原因比较复杂,但毋庸置疑的是与急性肺栓塞密切相关。研究发现CTEPH患者中有74.8%患者有过急性肺栓塞的经历。

  什么是肺栓塞 

  肺栓塞通常是下肢深静脉中的血栓脱落,经过心脏后堵塞肺动脉,使得肺脏氧气和二氧化碳交换不能完成,无法给组织供氧,是一种可以危及生命的疾病。典型临床表现为突发的“胸痛、咯血、呼吸困难”,也称为胸痛三联征,但只有少数患者可以同时出现以上三个症状,大多数患者临床表现没有特异性,根据栓塞的范围和严重程度不同,出现胸闷气短、憋气、咳血、胸痛、呼吸费力等,严重者突然晕厥,甚至猝死,其中大面积肺栓塞的死亡率可达60-70%

  同时,急性肺动脉栓塞若不及时医治,则可能发展为慢性血栓栓塞性肺动脉高压(CTEPH)。这是一种因急性肺血栓栓塞症后血栓持续未溶解,经过机化、纤维化、重构导致肺血管阻塞,进而引起肺动脉压力升高而导致的临床综合征。5%的肺栓塞患者发展为CTEPH,若未得到正确而及时的干预,CTEPH可以进展为右心衰竭最终死亡。肺动脉压力越高,预后越差,当平均肺动脉压大于40mmHg,如不接受治疗,5年生存率仅为约30%。(科普知识链接:“关于深静脉血栓和肺栓塞,我们不得不说的事”“机械抽栓治疗急性肺栓塞——挽救患者生命的神兵利器”“腔内治疗解除下肢静脉血栓后综合征”

   

  清华长庚血管外科通过肺动脉机械溶栓腔内治疗一位急性高危肺栓塞患者。

  神情虚弱,嘴唇发紫,血压只有70/40mmHg,心率却高达140-150/分的王女士被120送至北京清华长庚医院急诊室的时候,离死神仅一步之遥……

  追问病史,王女士家属表示一家人本来开开心心地开车去海南旅游,但10多天前王女士就出现了间断胸痛的症状,并且在两小时前突然加重,既往除了血脂有点高,并没有冠心病、高血压这些慢性疾病。这致命的胸痛背后到底是什么原因?一般人直接会想到急性心梗,但除此之外,肺栓塞也是以胸痛为主要表现,严重时可以危及生命的急症。

  在除外了急性心肌梗死之后,王女士的血管增强CT最终证实了大面积肺栓塞的诊断,此时的她需要依靠大剂量的血管活性药物维持血压,氧饱和度降至60-70%,血管外科医师紧急会诊后考虑大面积肺栓塞,目前病情危重,已经出现了休克症状,属于高危肺栓塞,随时可能面临生命危险,需要尽快进行手术治疗。 

 

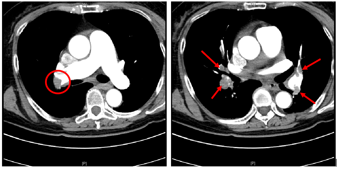
1 患者术前血管增强CT(红圈内或箭头所指为肺动脉内栓子)

  在血管外科、急诊科、心脏重症监护室、手术室、麻醉科等多科室的配合下,王女士半小时后即被送入手术室并进行了肺动脉机械溶栓+下腔静脉滤器植入的微创治疗,术中测量肺动脉压力高达88mmHg,术后在监护病房过渡3天后病情稳定转回普通病房,并在近期出院,出院时王女士已经可以正常下地活动,下腔静脉滤器也已取出,复查肺动脉压力降至正常范围,6分钟步行距离达到490米,与正常人无异。当王女士步入家中的那一刻,不禁感慨万千,并将其描述为经历了死与生感慨

  什么样的患者容易出现肺栓塞?

  肺栓塞和下肢深静脉血栓统称为静脉血栓栓塞症,是一种疾病的两种不同临床表现,而静脉血流缓慢、血管内皮损伤和高凝状态是静脉血栓形成的三大要素:长期卧床、长途旅行、骨折制动可引起下肢血流缓慢,手术可能导致血管内皮损伤,而恶性肿瘤、口服避孕药等可能增强血液的高凝状态,因此上述人群都是下肢深静脉血栓和肺栓塞的危险人群。   

  肺栓塞的治疗

  急性肺栓塞的治疗包含以下几点:

  1、急救措施:发现肺动脉栓塞后应予以改善呼吸、抗休克、缓解肺动脉痉挛等治疗。

  2、溶栓治疗:对于大块肺栓塞、并发休克及有症状的患者,如没有抗凝溶栓禁忌应积极溶栓治疗,包括静脉系统溶栓和介入局部溶栓两种,后者以机械溶栓为主要方法,可在微创条件下有效清除血栓,避免大剂量溶栓增加出血风险的同时,改善患者症状,挽救患者生命。

  3、可回收下腔静脉滤器植入,预防肺栓塞复发加重,可与手术介入溶栓治疗同期进行,术后1月取出滤器。

  北京清华长庚医院血管外科应用先进的机械溶栓抽栓技术,在急性下肢静脉血栓清除、急性肺动脉栓塞的腔内治疗,慢性血栓后综合征的腔内治疗等方面进行了大量临床与科研工作,取得了非常好的临床效果,开院四年以来无1例肺栓塞致死,为广大患者解决了病患之苦。同时,医院于2017年底着手建立基于“医政-护理-医疗-资讯”的院内静脉血栓栓塞防控体系,进行包括入院血栓风险评估、血栓预防筛查及个案管理师随访等环节,以建设“无栓”医院作为目标,尽可能减少入院患者静脉血栓栓塞症的发生。

   

  北京清华长庚医院是清华大学附属教学医院,也是北京市属三级医保定点公立医院。血管外科是医院的重点科室,医疗设备先进,建有现代化的杂交手术室,对血管疾病临床诊治经验丰富,学科带头人及科室主要成员均来自北京协和医院、北京大学人民医院、西苑医院等著名三甲医院,2018年血管外科所在普通外科学进入中国医学科学院发布的《中国医学科技量值》百强排行榜第66位。

  科主任吴巍巍主任医师,硕士生导师,清华长庚医院血管外科主任,兼清华长庚医院品管中心主任、厦门长庚医院血管外科名誉主任。2014年由北京协和医院调入清华长庚医院创建血管外科,同时兼任中国医疗保健国际交流促进会血管外科分会颈动脉学组副组长、静脉曲张学组副组长、北京医师协会血管外科青委会主任委员,擅长处理各种疑难血管疾病,特别是疑难主动脉瘤、主动脉夹层、周围动脉闭塞性疾病,在国内率先开展下肢动脉微创斑块清除、下肢动脉药物球囊扩张、静脉血栓抽吸、静脉曲张射频手术,2016年获得“首都优秀青年医生”称号,科研课题“主动脉疾病治疗”分别获得2017“中华医学科技奖”、2018“华夏医学科技奖”。

  赵俊来主治医师,Attending医师、医学博士,毕业于北京大学医学部八年制,2015年由北京大学人民医院血管外科调入北京清华长庚医院,兼任北京医师协会血管外科专科医师分会青年委员会秘书,国际血管联盟中国分会青年委员会委员。擅长主动脉疾病、动脉狭窄疾病、布加综合征、静脉血栓、肺栓塞、静脉曲张、透析通路建立与维护等血管外科疾病的诊治,精于各种血管外科手术及微创介入治疗。课题研究方向:机械抽栓治疗急性下肢静脉血栓的疗效观察、小剂量r-tPA单次给药腔内治疗急性肺栓塞的临床研究。

  朱融融住院医师,博士后,毕业于北京协和医学院八年制,目前为血管外科住院医师兼“清华医学英才”博士后,并于201811月获得清华大学优秀博士后称号,擅长包括下肢静脉血栓、肺栓塞、静脉曲张、血管瘤血管畸形等疾病的评估诊疗及易栓症的筛查检测。课题研究方向:抗凝血酶III缺乏家系遗传相关研究、抗凝治疗对急性孤立性远端深静脉血栓患者预后影响的临床研究等,并协助负责全院静脉血栓栓塞症筛查及防控的具体工作。