科室动态

您现在的位置: 首页 - 科室导航 - 外科部 - 血管外科 - 科室动态

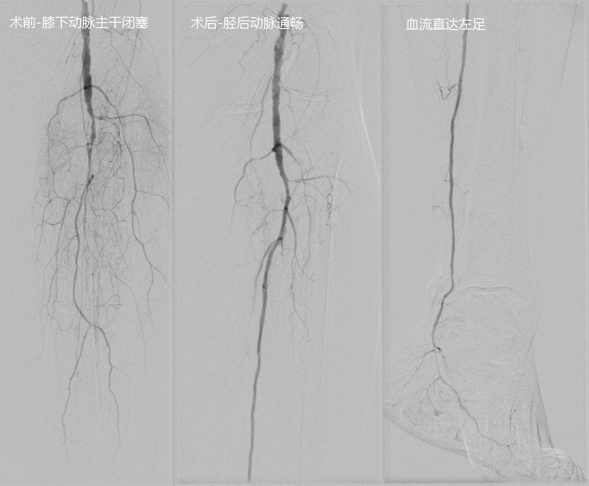
逆流而上 开通血管——清华长庚血管外科完成1例胫后动脉逆穿开通手术

 

清华长庚医院3月1日电(通讯员 杨宇北京清华长庚医院血管外科团队为一例糖尿病足破溃患者完成1例胫后动脉逆穿开通手术。逆穿手术是指从较细的血管远端,逆血流方向,开通闭塞血管,是难度很大的非常规技巧。清华长庚血管外科充分应用超声引导下血管穿刺技术,大大提高手术成功率。

患者孟妈妈75岁,罹患糖尿病30余年,但一直没有规范服用降糖药、监测血糖,打胰岛素也是隔三差五、随心所欲根本不按剂量来。由于糖尿病周围神经病变,四肢对冷热疼痛等感觉都不灵敏,3个月前由于新鞋大小不合适,挤压了左脚第4足趾,造成足趾侧面破溃,迁延不愈。家人将孟妈妈送来北京清华长庚医院血管外科。吴巍巍主任团队经过仔细评估,发现孟妈妈左侧膝盖以下3支动脉主干皆闭塞,只留左侧胫后动脉远端存留纤细一段,借助B超引导下穿刺,成功逆向开通胫后动脉,恢复足部血运,帮助溃疡愈合,避免创面不断扩散最后不得不截肢保命的结局。

B超引导穿刺是超声与血管介入相结合的新型手术技巧,清华长庚血管外科团队将其列为成员必备技能,应用于动脉逆行穿刺、困难血管穿刺定位、静脉曲张射频治疗,有效提高手术成功率。

2 血管外科团队在超声引导下精确细致穿刺左侧胫后动脉

什么是糖尿病足?

糖尿病足是在长期血糖控制不佳状态下,末梢神经病变及下肢中小动脉病变,引起足部麻木、疼痛、溃疡、甚至肢端坏疽的疾病,是需要血管外科医生手术处理的糖尿病并发症。糖尿病发病5-10年后,就开始发生足部神经及血管病变,因此,患糖尿病5年以上的患者最好经常摸摸足背动脉,搏动有无减弱或消失,但是如果出现足趾末梢或皮肤感觉减退、异常、麻木,即使足背动脉搏动良好,也应及时就医。

 

糖尿病足的表现有哪些?

糖尿病足早期表现主要为感觉的改变,通常是感觉麻木,就像在脚上穿了一层袜子一样,称“袜套样改变”,首先累及肢体远端,然后向近端发展。也可以表现为足部肌肉萎缩,出现足趾畸形,足弓塌陷。足部局部组织柔韧性降低,形成厚的老茧,容易开裂。此外还有下肢缺血症状如皮肤发凉,在活动后有小腿肌肉疼痛感,即为间歇性跛行;随着病变进一步发展表现为足部静息痛,即在休息的时候也感觉到足部的疼痛;再严重一点就会出现足部溃疡,容易感染,甚至出现足趾的变黑坏死。糖尿病患者一旦出现上述的表现,应尽快看血管外科门诊就诊,及时处理足部病变,根据专业更规范的健康指导进行康复,才能避免截肢等严重后果。

4胫后动脉介入手术开通前后对比

糖尿病足的治疗有哪些?

糖尿病足患者最基本的治疗是先控制好血糖,当患者自己控制血糖不满意时,需要就诊内分泌科医师的门诊,严格控制和监测血糖。在规范有效控制血糖的前提下,补充足够的营养,促进足部溃疡的愈合和受损神经血管的修复。严格控制一些损害血管的危险因素,如高血压、高血脂和吸烟,如果这些因素持续存在不消除,病变可能继续发展,治疗效果就不佳。

糖尿病患者容易合并有周围血管病变如下肢血管狭窄、闭塞,导致糖尿病患者下肢缺血加重,使得足部溃疡更难愈合,对于这种情况,就需要看血管外科了,专业的血管外科医师会先根据患者情况,制定合理的治疗方案,对于有血管狭窄的患者可以通过微创介入的方法开通闭塞的血管,增加下肢血供,不仅能促进足部溃疡的愈合,还能降低截肢几率与截肢平面,尽可能保留肢体,提高生活质量。下肢或者足趾出现溃疡时,应在外科医师指导下护理好伤口,定期换药,控制感染,谨慎自行外用药物。

 

糖尿病患者如何预防足部并发症呢?

糖尿病患者在控制血糖的同时必须要关注足部情况,因为足部的一点点伤口就会产生反复的溃疡、感染,影响了生活质量。以下是一些保持足部健康方法:

1、养成每天检查双脚的习惯:查看双脚和踝部以及趾间是否有裂痕、溃疡、水泡、红斑、污点和肿胀。如果发现异常,请立即去医院就诊。

2、保持足部清洁:每天洗脚、每天用温水洗脚,水不能太热,不要用热水泡脚,因为,糖尿病足感觉能力下降更容易被烫伤。

3、规律地修剪趾甲:用指甲剪修剪趾甲以保持平整。小心剪掉趾甲避免伤到皮肤,用指甲锉磨平甲缘。

4、经常穿柔软、舒适的鞋和袜子,这样能减少对皮肤的损伤。

5、不要自做主张治疗:如果您的脚出现鸡眼或其他疾病,请去医院就诊,而不是自行治疗,因为这样会使您无意中伤到足部皮肤。

5、保持双脚的血液循环:每天活动脚趾或扭动双脚和关节2-3次,每次5分钟。记住不要交叉双腿保持太长时间。避免太紧的袜子或吊袜带,因为这样会导致下肢水肿或压伤。

6、锻炼:适度的锻炼可促进血液循环,促使侧支循环的建立。散步、跳舞、游泳以及骑车等运动都可以改善您的健康,并能缓解双脚的压力。