科室动态

您现在的位置: 首页 - 科室导航 - 外科部 - 血管外科 - 科室动态

紧密协作,攻坚颈动脉体瘤

  清华长庚医院8月29日电(血管外科 杨宇 吴巍巍)北京清华长庚医院血管外科近日在心内科、麻醉科、手术室等多科室紧密协作下,成功治疗1例合并复杂心脏疾患的颈动脉体瘤病例。

  患者老李今年54岁,罹患扩张性心肌病20余年,左心房增大、肺动脉高压,时常有胸闷憋气症状。1年前李妈妈在右侧颈部下颌角的位置摸到了一个肿块,,最近1个月肿块生长速度明显增快,而且随着心跳搏动。老李和家人都特别担心,前来北京清华长庚医院血管外科吴巍巍主任门诊就诊。吴巍巍主任经过仔细查体,给患者做了超声和CT检查,诊断患者很可能是患了一种叫颈动脉体瘤的疾病。颈动脉体瘤是一种治疗非常困难的疾病,瘤体常常包绕颈部重要的血管与神经,切除颈动脉体瘤的手术往往容易损伤血管与神经,是血管外科最困难的手术之一。

  经过充分的术前准备,吴巍巍主任向患者及家属充分交代了手术的风险和可能出现的并发症,与心内科、麻醉科、手术室等多科室紧密协作配合,充分做好术前准备,安全顺利切除肿瘤,完整的保留了颈部重要的血管和神经,并将术中出血控制到最少。患者没有出现任何严重的并发症,并在术后一周顺利的康复出院。

  

  

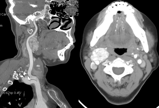
  图1 患者于门诊行CTA检查(左:重建像,右:断面像),右侧颈部肿物位于颈动脉分叉处,长径约5cm,包绕颈内动脉与颈外动脉(Shamblin 3型)。

  

  什么是颈动脉体瘤

  颈动脉体,位于颈总动脉分叉,正常情况下平均体积很小,只有数毫米,是重要的血管壁上的感受器,当人体血液内的氧含量发生波动时,颈动脉体则通过释放神经递质来加以调节,以维持机体处于稳定状态。特殊病理情况下颈动脉体可能发展为颈动脉体瘤,一旦发生颈动脉体瘤,供瘤血管往往极为丰富,手术切除时常常出现大量出血、“浴血奋战”的惊险场面。

  

  

  图2 颈动脉体位于颈动脉分叉,发生肿瘤则包绕血管。

  

  颈动脉体瘤会出现哪些不适

  颈动脉体瘤典型的临床表现为颈部外侧出现搏动性包块,多可左右移动,但很少能上下移动(Fontaine征)。当肿瘤增大压迫颈内动脉时,可影响脑组织供血,引起头晕、耳鸣、视物模糊等症状。当肿瘤侵及脑神经时,可出现相应的神经症状,如吞咽困难、声音嘶哑、伸舌偏向患侧等。因肿瘤有神经内分泌功能,亦可出现潮红、心慌、出汗、畏光等。

  

  

  图3 CTA(左)、DSA(右)可精确诊断颈动脉体瘤,判断肿瘤大小及血供。

  目前可以使用哪些检查手段

  发现颈部肿物后,颈部超声可作为首选无创检查。颈动脉造影(DSA)为诊断“金标准”,造影可见颈动脉分叉增宽呈杯口状,瘤体内有丰富的细小滋养血管。随着数字技术的进步完善,CT血管造影(CTA)已成为几与DSA相媲美的血管疾病诊断技术。

  如何规范治疗颈动脉体瘤

  颈动脉体瘤的恶变率在5%左右,即使不发生恶变,逐渐增大的瘤体会压迫和侵及颈部重要的血管和神经,因此颈动脉体瘤的治疗原则是,一旦明确诊断应立即完整切除。盲目的颈部按压、撞击可能会造成瘤体破裂、瘤内血肿。颈动脉体瘤与周边血管和神经神经关系紧密,手术往往出血较多,术后并发脑神经损伤的可能性较大,术中需要专业的手术麻醉团队强力保障。

  

  

  图4 术中完整切除肿瘤,出血少,未输血,术后无神经损伤并发症。

  

  北京清华长庚医院血管外科,医疗设备先进,建有现代化的血管介入治疗导管室,以及可同时进行介入与开放手术的杂交手术室,对血管疾病临床诊治经验丰富,学科带头人及科室主要成员均来自北京协和医院、北京大学人民医院等著名三甲医院,擅长现代微创介入手术和传统经典开放手术等多种手段个体化治疗颈动脉疾病。吴巍巍主任还同时担任兼任中国医疗保健国际交流促进会血管外科分会颈动脉学组副组长,在颈动脉疾病领域经验丰富。