科室动态

您现在的位置: 首页 - 科室导航 - 外科部 - 血管外科 - 科室动态

透视下经头静脉植入静脉输液港--长期输液通路的新选择

  清华长庚11月18日电(通讯员曹战江)恶性肿瘤患者需要定期化疗、长期输液,化疗药物对血管刺激大,容易引起静脉炎,化疗药渗漏导致皮肤受损,反复外周静脉输液困难。需要长期肠外营养的患者输液也是难题,静脉营养液渗透压高,也会导致静脉炎、输液肢体水肿,影响治疗。往往这些患者还需要反复抽血化验。每次为这些患者打针输液和抽血不仅成了护士“难以完成的任务”,更是让患者苦不堪言。位于皮肤浅表的静脉难于寻找,而建立可靠的中心静脉通路十分重要,这是长期静脉输液患者的“生命线”。

  中心静脉输液通路就是把药物直接输入到大静脉里,大静脉血流量大,可以将药物很快稀释,减少药物刺激。目前多采取经外周静脉置入中心静脉导管 (peripherally inserted central catheters,PICC),短期内解决反复输液难题,但由于导管裸露体外,留置超过1个月的PICC导管感染发生率明显升高,难以长期使用,其护理需要专业人士,非住院患者不能获得及时的护理,留置导管影响患者日常生活。植入式静脉输液港((Implantable Venous Access Port)则是为了便于长期输液的一种最新颖的输液方式,在西方发达国家比较普及,目前在我国部分地区开始流行。

  近日,北京清华长庚血管外科就为一例需要化疗的肿瘤患者在透视下经头静脉植入静脉输液港,手术当天,患者就开始了第一次的化疗。

  什么是输液港?

  植入式静脉输液港(Implantable Venous Access Port)简称输液港,是一种可以完全植入体内的静脉输液系统,用于各种高浓度化疗药物、肠外营养液的输注及输血、采血等;减少反复静脉穿刺的痛苦和难度,防止刺激性药物对外周静脉的损伤,并且患者日常生活不受限制,不需要定期换药、可以沐浴,大大提高了其生活质量。

  透视下经头静脉植入静脉输液港顺应了“保护血管”的人性化先进理念

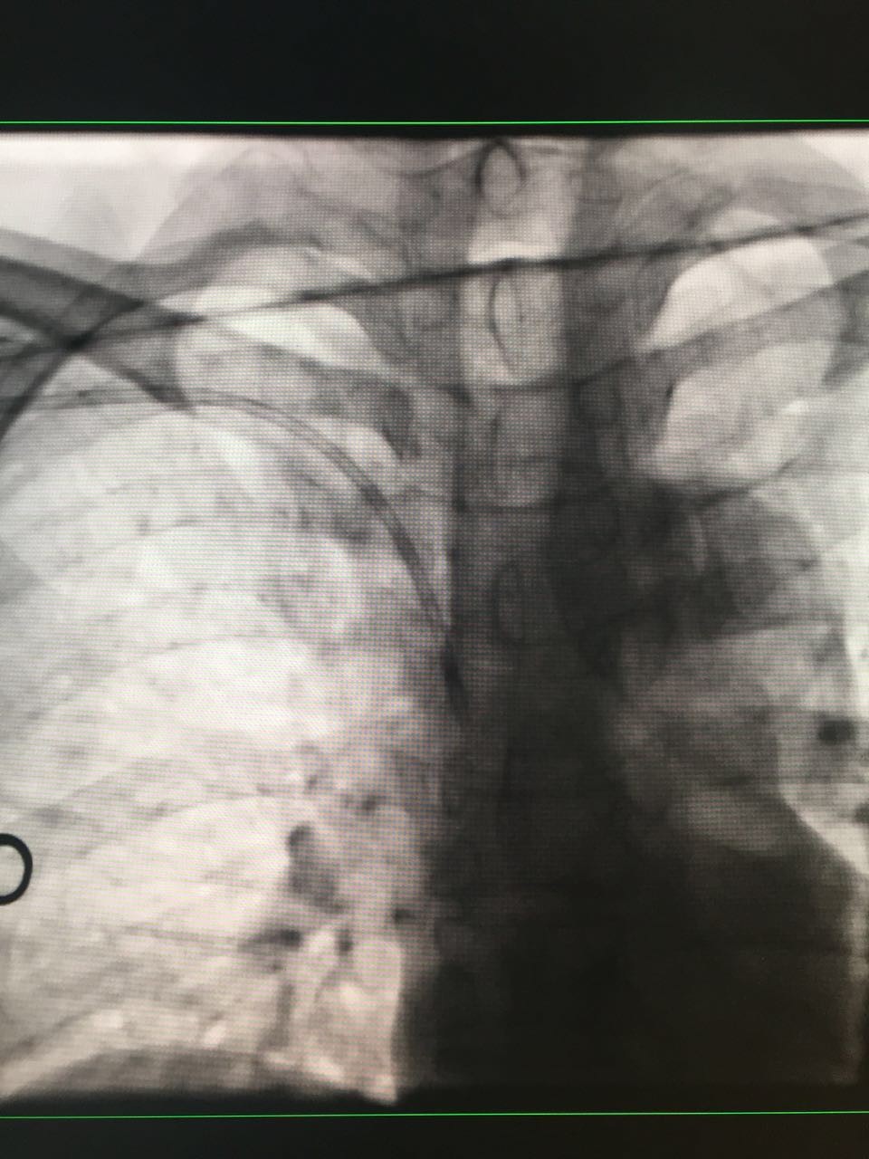
  输液港由两部分组成:一部分叫注射座(Port),埋置于皮下,顶部是可以耐受反复穿刺的硅胶材料;另一部分为不透X线的导管,头端连接在输液座,末端留置在中心静脉内。植入输液港是一个局麻下的小手术,在锁骨下开口1-2cm的小切口,找到头静脉,经头静脉植入导管,因为导管可以术中在透视下看到,我们就能准确的将导管放到理想的位置,避免过深或者过浅。然后连接注射座,将注射座固定在周围组织。切口用美容缝合的方式,不需要拆线。输液港植入成功后,手术当天就可用于输注化疗药物、肠外营养液以及输血、采血。只要把针扎到注射座就可以,病人的疼痛感远远小于外周静脉输液和肌肉注射。经头静脉植入输液港避免了穿刺深静脉,避免损伤静脉壁,降低了血栓风险,顺应了“保护血管”的人性化先进理念,导管与头静脉固定避免了移位的发生。术中透视下精准定位和保护血管理念、预防及处理导管相关血栓形成并发症是血管外科医生的独有技能。

  输液港有哪些优点?

  1)导管感染及堵塞风险降低;

  2)没有导管暴露于体表,不限制日常活动,不影响洗浴;植入输液港部位美容缝合,对局部外观影响小;

  3)使用、维护简单方便;

  4)减少穿刺血管的次数及药物外渗,保护血管;

  5)减少输液痛苦,提高生活质量。

  哪些病人可以使用输液港?

  需要长期输液的病人,尤其是反复化疗患者和长期输注肠外营养液的患者可以使用输液港,减少反复静脉穿刺的痛苦,防止刺激性药物对外周静脉的损伤,不影响日常生活如洗浴,提高生活质量。

  

  锁骨下小切口找到头静脉,植入输液港导管

  

  透视下观察导管处于理想位置