科室动态

您现在的位置: 首页 - 科室导航 - 外科部 - 胃肠外科 - 科室动态

阑尾癌术后肠瘘非手术自愈

  病情介绍: 孟 ※ ※   男 73岁

  2017-10中旬患者无明显诱因出现间歇性中下腹部疼痛,伴呕吐、腹胀,肛门停止排气、排便,无法缓解。诊断为“阑尾炎、小肠梗阻”,予禁食、胃肠减压、静脉营养支持等治疗,并于2017-10-14在北京某三甲医院行剖腹探查+肠粘连松解+阑尾切除术+肠减压术,术后继续对症治疗,患者腹痛、腹胀、呕吐症状缓解,有排气、排便。术后病理:阑尾中低分化粘液腺癌,侵及浆膜,阑尾根部断端见腺癌组织。 

  2017-10-30在北京专科医院行剖腹探查+肠粘连松解+右半结肠切除术,术中见腹腔广泛粘连,多端小肠粘连成角,近端小肠扩张水肿明显,后腹壁可见一枚结节,术中予切除后冰冻病理:后腹壁结节纤维组织中见腺癌浸润。术后病理:回盲瓣组织未见癌。结肠及小肠切缘未见癌。结合病史,符合来自阑尾。淋巴结转移性癌(8/41)。 

  2017-11-7拔除腹腔引流管并出院。出院后患者体温37.9℃。 

  2017-11-8门诊换药发现右下腹壁引流管有异常分泌物,体温38.8℃。对症治疗,体温下降不明显。 

  2017-11-8当晚在右下腹部放入引流管两根,可引出大量肠液及脓液。门诊以“阑尾粘液腺癌,右半结肠切除术后,高热待查,肠瘘”收入我科。

  

  

  

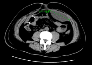
  入院后完善相关辅助检查,经引流管造影评估后更换双套管引流右侧腹腔,腹部CT可见腹腔内大量积液,经CT定位后局麻切开引流。

  

    

  

  患者经主动冲洗引流右侧腹腔和局麻引流左侧腹腔积液后各项感染指标明显改善。最终用生物蛋白胶将右侧瘘口进行封堵。

  

  

  

  

  病例总结:本病人虽然在外院已经放置了两根胶管引流,但都是被动引流,因此引流不畅导致腹腔感染扩散,入我院评估后尽更换双套管并保持引流通畅是控制腹腔感染的有效措施。对于左侧腹腔的积液采用定位微创的方法引流,符合损伤控制处理原则。

  专家点评:本病例是一个右半结肠切除术后吻合口瘘患者,虽然入院时腹腔感染较重,但经过主动冲洗引流、抗感染、肠外营养等综合治疗后,最终自行愈合,避免了再次手术。瘘口自愈的关键因素是要保持局部感染的控制和瘘口远端肠管的通畅,同时要保证病人营养底物的充足供给。