科室动态

您现在的位置: 首页 - 科室导航 - 外科部 - 胃肠外科 - 科室动态

What?4cm的切口可以做胃癌根治!What?肚子没有切口也能做直肠癌根治!

  近期,北京清华长庚医院胃肠外科李元新主任带领团队,完成两例消化道恶性肿瘤的微创切除手术。特别的是,切除胃的腹部切口只有4cm,堪比阑尾手术的切口,而直肠切除更是在腹部没有切口的情况下完成的。这样的微创手术不仅体现了当今腹部外科技术的发展,也为患者的快速康复提供了有力的基础。那如此神奇的操作是如何实现的呢,下面就让小编一一道来。

  胃癌患者为60岁的赵女士,近半年上腹部一直隐痛,就诊我院消化内科后行胃镜检查,结果提示胃窦巨大的溃疡,病理诊断为低分化腺癌。结合患者自身合并的其他病症及诊疗意愿,胃肠外科联手消化内科、病理科、肿瘤内科、放射诊断科、放疗科、麻醉科、ICU、心内科等进行病例讨论,利用多学科讨论的优势(MDT病例讨论形式),决定为其进行全腹腔镜远端胃癌根治手术。由李元新带领团队,先是在患者腹部取5个穿刺孔,最大直径1cm,然后在腹腔镜提供的放大视野下,完成对供瘤血管周边淋巴结清扫、血管离断、肿瘤切除、消化道离断等一系列精细操作,最大程度上完成肿瘤的切除及区域淋巴结的清扫,达到根治疾病的目的。胃切除后,在腹腔镜下完成胃和小肠的吻合,实现消化道重建,最后经腹部小切口取出标本,完成手术。胃和小肠的吻合部位多、并且涉及十二指肠、近段空肠、胰腺周边重要的脏器血管神经,加之需要腹腔下精细的解剖、精准的测量肠管长度、止血缝合,均对术者的操作提出了很大的挑战。

  直肠癌患者为78岁的陈先生,近3月排便一直不通畅,伴有便不尽感、肛门坠胀感,也是在我院消化内科行肠镜检查发现直肠肿物,病理诊断为中分化腺癌。经过科室讨论后,决定为其行腹部无辅助切口经肛门外翻切除标本的腹腔镜下低位直肠癌保肛根治术(NOSES术)。也是利用如上所述相同的腹腔镜技术进行直肠肿瘤的游离及周边淋巴结的清扫,待直肠切除后,利用肛门这一自然的腔道,经肛门脱出直肠,在体外直视下完成肿瘤切除,最后在腹腔镜下完成直肠结肠的吻合。由于直肠手术涉及输尿管、骶骨前方众多的血管丛、前列腺膀胱神经丛等重要脏器,加之患者自身的肿瘤位置低、骨盆狭小、直肠冗长等因素,手术难度大。另外,此患者为低位直肠癌,外院就诊时给予的意见是行腹会阴联合切除(不保留肛门),但李元新团队利用此术式,在保证肿瘤根治切除的情况下,又保留了肛门的功能,提高了患者术后的生活质量。

  腹腔镜下完成供瘤血管的离断、肿瘤的根治切除、消化道的重建,标本或经腹部小切口或经自然腔道取出,这样的好处是最大限度地减少了手术对患者的创伤,术中出血仅为数毫升,并且麻醉恢复快,术后1天即可下床,3天内胃肠功能已完全恢复,极大的促进了患者术后康复,减少了住院时间。该类手术的开展,是消化道恶性肿瘤患者的一大福音,保证肿瘤根治的同时,也实现了手术的微创与快速康复。

  北京清华长庚医院胃肠外科在李元新教授的带领下,已成熟开展全腹腔镜微创手术、NOSES手术。此外,对于一些年纪轻、体型瘦的良性疾病患者,如顽固型便秘,也可利用NOSES术完成结肠次全切除、升结肠直肠侧侧吻合(金陵术)的操作,最大程度减轻了患者的痛苦。

                                    

  A:胃癌的开放手术:上腹部切口长20cm左右,下方需要绕肚脐

  B:全腹腔镜下胃癌手术:肚脐周边切口4cm(白色箭头),用于取出标本

  C:切除标本:远端胃,白色箭头指出胃窦的溃疡型肿瘤

  D:术后第5天患者腹壁情况:拔除腹腔引流,恢复饮食

  经自然腔道手术(简称“NOTES”)是指从人体自然存在的腔道(如口腔、直肠肛门、阴道、尿道等)伸入内镜,完成病变切除,并取出标本的一类手术。其优点为体表没有切口、术后无瘢痕、对人体的生理影响干扰很小。然而,目前NOTES手术尚仅能完成一些腹部疾病的诊断及简单的治疗,如不明原因的腹水、消化道肿瘤的分期诊断、阑尾切除等。对于消化道肿瘤的根治切除及术后重建,很难利用其完成,但这并不阻碍外科医生将腹腔镜技术和NOTES理论相结合。这就是NOSES术,即先利用腹腔镜进行体内组织解剖,然后经肛门外翻、拉出、拖出直肠,取出标本,最后通过腹腔镜完成直肠结肠的吻合操作。

                                    

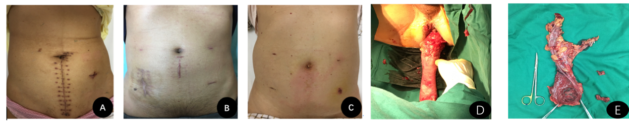
  A:直肠癌的开放手术:下腹部切口长20cm左右,上方需要绕肚脐

  B:腹腔镜辅助手术:肚脐下方切口4-6cm,用于取出病变肠管及消化道吻合

  C:NOSES术:腹部仅有数个穿刺孔,最大直径1cm

  D:NOSES术:经肛门外翻直肠,直视下切断。保证肿瘤精准切除

  E:低位直肠癌切除术后标本:切缘2cm,并且保留肛门功能

  

  北京清华长庚医院是清华大学和北京市共建共管的大型三级综合性教学公立医院。医院坐落于昌平区天通苑,总床位1500张,于2014年11月28号开业,医保号为21110130

  李元新主任带领的胃肠外科,主要致力研究:胃癌、结直肠癌规范化、微创化手术;肠瘘、肠梗阻、放射性肠炎、短肠综合症等肠功能衰竭病;外科营养支持;腹部危重疑难手术、小肠移植、腹腔器官簇移植