科室动态

您现在的位置: 首页 - 科室导航 - 外科部 - 胃肠外科 - 科室动态

急性肠系膜缺血MDT顺利举行

  年前,由北京清华长庚医院胃肠外科李元新主任组织,血管外科、放射科、病理科参加的“急性肠系膜缺血MDT”顺利举行。

  随着老龄化社会的到来,急性肠系膜缺血性疾病发病率逐渐增高。本次讨论结合近期胃肠外科及血管外科接诊的病例,详细论述了急性肠系膜缺血性疾病的诊断与治疗规范及进展,加深了参会医师对该疾病的认识,为今后更好地诊治此类病人打下了良好的基础。

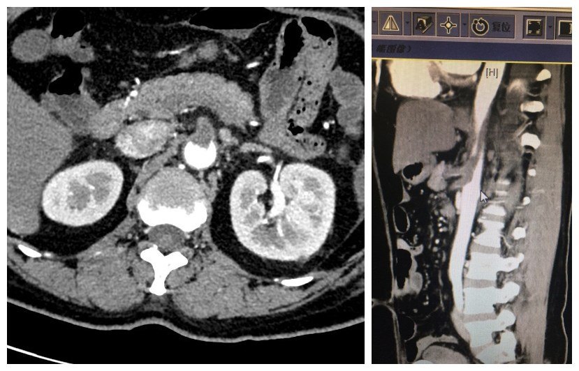
  病例一:患者男,70岁,1个月来腹胀,间断全腹疼痛,10天来腹痛加重。于外院诊为肠梗阻,经禁食水、补液治疗后无缓解,来我院急诊。既往冠心病、房颤病史20年。经检查后发现门静脉及肠系膜静脉血栓形成,考虑存在肠坏死,遂行急诊手术。术中见2.2m小肠缺血,部分坏死,相应肠系膜静脉广泛血栓。予肠切除并由血管外科行肠系膜上静脉切开取栓治疗,将远近断端肠管分别提出腹壁并造瘘。术后患者经抗凝、补液抗炎治疗恢复良好,逐渐由胃肠外营养过渡到经回肠造瘘口灌注营养液。

  病例二:女,45,近一周来腹痛,加重2天。于外院检查后考虑肠系膜上动脉血栓形成,转来我院进一步治疗。急诊腹部增强CT显示:腹腔干动脉、肠系膜上动脉栓塞,腹主动脉内长段漂浮血栓,急诊手术探查,肠管未见坏死,行肠系膜上动脉切开取栓+主动脉覆膜支架置入隔绝腹主动脉内血栓。术后筛查患者为遗传性抗凝血酶III缺乏症,运用利伐沙班抗凝,并逐渐由胃肠外营养恢复到肠内营养,病情稳定后出院,院外继续抗凝治疗。

  急性肠系膜缺血共分为肠系膜动脉栓塞(EAMI)、肠系膜动脉血栓形成(TAMI)、肠系膜静脉血栓形成(VAMI)、非闭塞性肠系膜缺血(NOMI)四类,因其无特异的症状及体征常常被误诊或漏诊,导致死亡率高达50-80%。我院放射科随时可为病人进行腹部血管CTA检查,为早期明确诊断创造有利条件。胃肠外科和血管外科应用开腹或微创技术早期手术治疗,重建肠道血运,避免或降低广泛小肠坏死的风险,减少了因肠坏死而广泛切除小肠致术后短肠综合征、营养失调的几率。另外,小肠广泛切除后的消化道重建、促进残存小肠适应性代偿的肠康复治疗、短肠综合征患者的营养支持是我院胃肠外科的特色。胃肠外科、血管外科、放射科通力合作,力争为急性肠系膜缺血的病人提供更完美的治疗。