健康教育

您现在的位置: 首页 - 科室导航 - 外科部 - 胃肠外科 - 健康教育

漫谈放射性肠炎

  放射性肠炎也可称为放射性肠损伤,是指针对于盆腔、腹腔或腹膜后恶性肿瘤(包括宫颈癌、直肠癌、精原细胞瘤等,以宫颈癌最为常见)进行放疗后对于小肠和结直肠的放射性损伤性炎症。对于盆腔照射的放射性肠炎患者除了末端小肠和直肠、乙状结肠的损伤外,往往伴有放射性膀胱炎,因此放疗所导致的脏器损伤部位与其放疗照射的部位时相对应的。因为以诊断为宫颈癌、直肠癌而进行放疗的患者占绝大多数,而这类疾病主要进行盆腔范围的照射,所以最为常见的放射性肠炎部位也就是末端回肠和直肠以及乙状结肠,具体部位由所粘连固定盆底的肠段决定,同时往往伴有放射性膀胱炎的症状。

                                         

  放射性肠炎包括放射性小肠炎和放射性直肠炎(acute radiationprocitis, ARP)。放射性肠炎不同于其它类型的炎症,它的发生通常与放射的剂量及肠管受照射的范围相关,当放疗结束3个月以后出现的直肠损伤为慢性放射性肠炎。

  放射性肠炎病理表现为广泛粘膜炎症,嗜酸性粒细胞粘膜下浸润,隐窝脓肿和隐窝萎缩,肠系膜末端细小动脉变性闭塞。有这些病理表现为基础,慢性放射性小肠炎由于肠腔的纤维化造成瘢痕狭窄,往往引起慢性梗阻性病变,而放射性直肠炎引起的临床症状包括:腹泻、粘液便、腹痛、腹胀、里急后重、肛门疼痛或粪失禁或者直肠的出血以及梗阻。而无论是小肠还是结直肠的慢性放射性炎症都可以随着

  时间的延长引起穿孔、与阴道、膀胱形成内瘘,也就是形成了肠膀胱瘘或者肠阴道瘘,使得病情更为复杂,营养状况也更加每况愈下。

                                       

  因此对于盆腔放疗史的病人,梗阻部位不一定只限于回肠或者结直肠,只要是在盆腔照射野范围内的器官均有可能受损,尤其是固定于盆腔的器官,例如直肠、膀胱、阴道或者粘连在盆腔的其它小肠,无论任何手术,对于评价梗阻部位是至关重要的,否则不会解决主要问题。

  对于准备手术的病人进行精准的评估至关重要,否则手术容易失败并且可以增加副损伤和并发症的机率。首先进行营养状态的评估,进行围手术期的营养支持,使得患者的营养状态能够达到耐受手术和麻醉的基本要求,严重营养不良可以明显增加术后吻合口瘘、切口裂开等严重并发症的发生率。

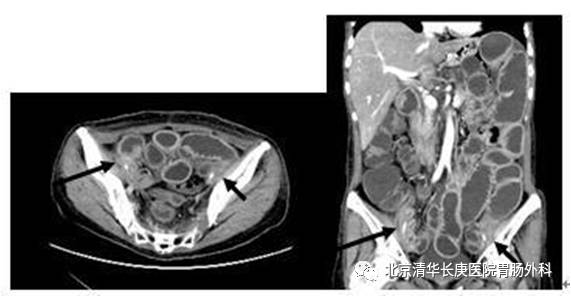
  对于结直肠和小肠的狭窄部位的确定是手术主要解决的问题,因此通过造影和 CT可以综合准确判定。

                                              

  或者受损伤肠管与髂血管、输尿管等重要脏器、血管粘连固定也为手术风险提前预警做了精准的术前评估,可以在术前进行输尿管支撑管的放置预防副损伤。