科室动态

您现在的位置: 首页 - 科室导航 - 外科部 - 神经外科 - 科室动态

精准医疗 清华长庚助力脑膜瘤开颅术患者加速康复

  北京清华长庚医院4月9日电(神经外科供稿)在古代,因为未知,“开颅术”与“取性命”划等号流传已久。随着科技的进步,开颅术逐渐被大众科学地认识、接受。

  近日,清华大学附属北京清华长庚医院神经外科接诊了一位早期脑膜瘤患者,由于患者身体条件良好,无其他基础病,在手术、麻醉、护理三方团队的强效紧密配合下,通过精准定位,主治医师张培海为患者顺利进行显微镜下脑肿瘤切除术,患者于术后第三天出院。

  脑膜瘤是一种原发性颅内肿瘤,多为良性,生长慢,病程长。患者往往以头疼和癫痫为首发症状,根据肿瘤位置不同,还可出现视力、视野、嗅觉或听觉障碍及肢体运动障碍等。当前的治疗手段,仍以手术切除为首选。

患者增强MRI提示肿瘤均匀强化,起源于硬脑膜

  该患者因为头晕来到张培海的诊间寻求帮助。完善头颅CT与磁共振检查后,结果显示颅内存在一个2cm左右、起源于脑膜的良性肿瘤——脑膜瘤。“患者的脑膜瘤虽小,但却临近大脑皮层功能区,如果不及时手术,肿瘤会持续生长造成偏瘫、癫痫等。”张培海说,“但正因为肿瘤不大,如何精准定位是手术的难点。”

  由于患者本身没有基础病,身体状态好,越早进行开颅术创伤越小,越有利于术后恢复。为此,神经外科团队制订了综合的手术方案。术前,为精准定位肿瘤位置,张培海使用神经导航辅助,借助计算机系统的红外追踪器分析CT与磁共振影像上的肿瘤信息,最终精准锚定肿瘤位置。同时借助导航系统,为患者“量身定制”了发际线内5cm的微创弧形切口,仅需剔除切口附近的头发,最大程度地降低患者身体和心理创伤。

张培海医师为病人导航,设计微创切口

  在神经外科专家王劲教授与科室副主任郭毅医师的指导下,手术顺利开展。术中张培海发现肿瘤虽小,却狠狠地压向正常脑组织,局部脑皮层竟然后有一个“深坑”。他手持精密手术刀,谨慎分离肿瘤与脑组织,在保证正常脑组织不受损伤的情况下,完整将肿瘤切除。切除肿瘤组织后,张培海使用人工硬脑膜进行严密修补,重建正常结构的同时,降低了术后脑脊液漏、感染等风险,最后使用钛钉、钛片修复颅骨,并进行了皮内缝合,避免患者术后拆线的痛苦。

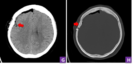
开颅后4小时复查头CT,提示肿瘤切除彻底,无出血,骨瓣复位良好

  患者术后恢复良好,3天后顺利出院。“没想到开颅手术还可以好得这么快!”患者高兴地说道。“当然,开颅手术具体风险、并发症和住院时间等,要根据每一位患者的具体情况进行判断。”张培海补充道。

  患者的配合,术前的充分交流、精准评估,手术方案的全面设计,手术、麻醉、护理团队的协调配合,多方合力才能更好地践行现代神经外科的快速康复理念,同时也能减少患者对开颅手术的恐惧,避免贻误最佳治疗时机。(编辑 于悦超)