科室动态

您现在的位置: 首页 - 科室导航 - 外科部 - 神经外科 - 科室动态

开颅手术不可怕——我院助力患者开颅后三天出院

  (神经外科 张培海)“开颅手术”的传说由来已久,早在三国时期,枭雄曹操因为神医华佗要为他“开颅”取“风涎”,疑心他意图谋杀,最后将其处死。在古代“开颅手术”等同于杀人,但随着当今社会医疗技术的进步,神经外科的开颅手术已经变得非常安全和高效,而且越来越符合精准微创的外科理念。

    近期,我院神经外科张培海医师就接诊了一位确诊为脑膜瘤的患者,经过郭毅和王劲主任医师的协同会诊,病人成功地进行了显微镜下的脑肿瘤切除。患者术后第一天拔除尿管,第二天下地活动,第三天顺利出院,完美践行了现代神经外科的快速康复理念。

 

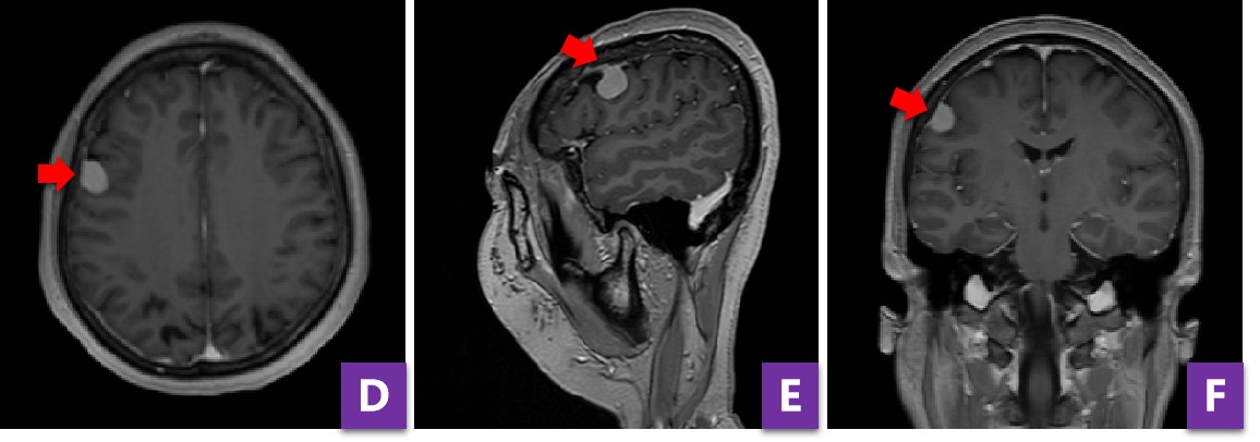
图2 患者术前CT及MRI发现右额部肿瘤

    病人最早是因为头晕来医院检查,拍了头CT发现颅内竟然长了个2cm左右的瘤子,后来进一步做了头颅磁共振检查,最终考虑肿瘤是起源于脑膜的良性肿瘤——脑膜瘤。这个病人的脑膜瘤虽然小,但却临近大脑皮层功能区,如果放任不过,肿瘤还会持续生长,将来可造成头疼、偏瘫、癫痫等问题。

  

图3 患者增强MRI提示肿瘤均匀强化,起源于硬脑膜

    病人目前肿瘤较小,早期开颅手术,不仅创伤小,而且容易根治肿瘤,但缺点是精准定位困难,有了神经导航的辅助,一切困难迎刃而解。在顺利完成肿瘤定位后,手术团队使用显微镜为病人进行肿瘤和病变硬膜的切除。

  图4 张培海医师为病人导航,设计微创切口

    术中我们发现肿瘤虽小,却狠狠地压向正常脑组织,局部脑皮层竟然后有一个“深坑”,如果任由肿瘤生长,将来很有可能会侵袭、破坏正常大脑皮层,后果不堪设想。手术团队充分发挥显微技术,切除肿瘤组织后,使用人工硬脑膜,进行了严密的修补,重建正常结构的同时,也降低了术后脑脊液漏、感染等风险。

  

图5 显微镜下将肿瘤及周边受累硬膜完全切除,肿瘤压迫脑组织形成一个“深坑”,使用人工硬膜严密修补缺损,重建正常结构

    手术的最后,经过彻底止血,我们使用小的钛钉和钛片修复了病人的颅骨,并进行了皮内缝合,避免了病人术后拆线的痛苦。成功的背后源于幕后神经外科团队的精密计划和熟练的手术技艺,神经导航系统实现了肿瘤的精准定位,这种设备可以将定位误差控制在1mm以内。病人麻醉后,在导航系统的辅助之下,手术团队为病人量身定制了发际内5cm的微创弧形切口,仅剔除了切口附近的头发,最大程度地减低患者身体和心理的创伤。

    患者术后恢复良好,顺利出院休养,无任何新发的神经功能障碍,她对我院神经外科手术技术和护理服务都给予了高度评价。“没想到开颅手术还可以恢复的这么迅速,家里的亲戚都说手术做的真好,术后还是红光满面,根本不像做过手术的样子,感谢张医生、郭主任、王院长还有咱们科室护士的照顾,谢谢你们!”。

 

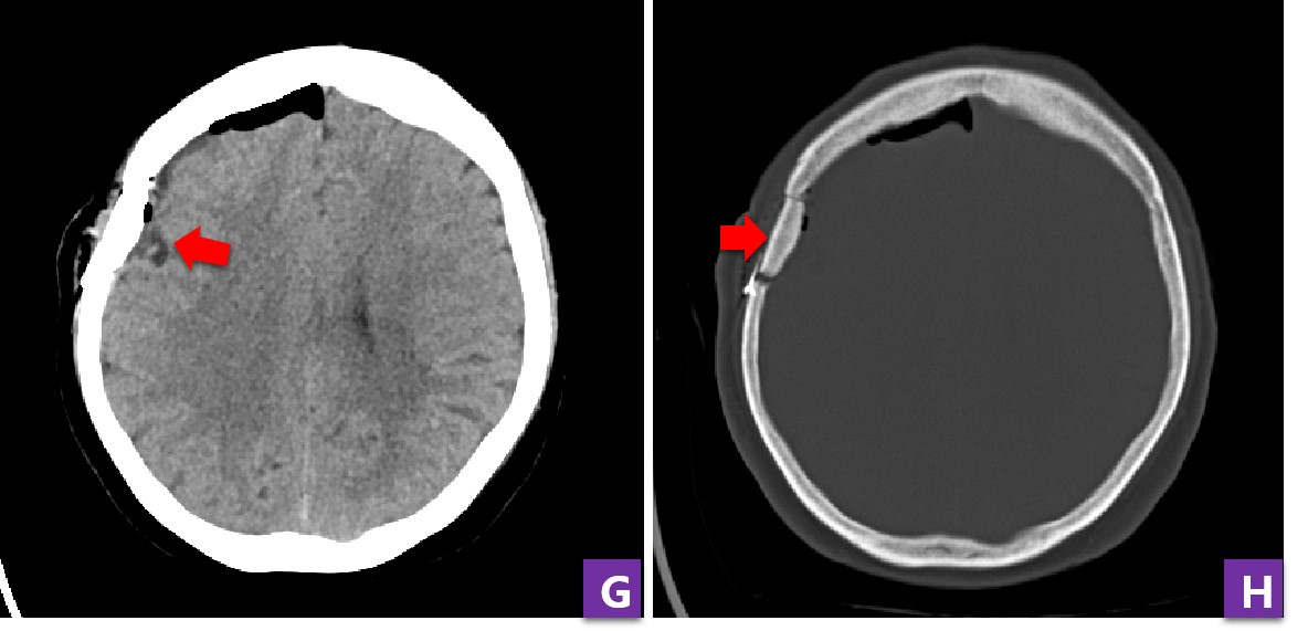
图6 开颅后4小时复查头CT,提示肿瘤切除彻底,无出血,骨瓣复位良好

    脑膜瘤是最常见的颅内原发肿瘤之一,目前治疗首选手术切除,术中需要把肿瘤连同周边受累硬膜一并切除,若有颅骨受侵也要同时处理,这样才能做到肿瘤的根治。当然具体手术的风险、并发症和住院时间等,还要根据每一个病人的具体情况进行判断。

    只要有充分的术前准备和精湛的手术团队保驾护航,我们没必要恐惧开颅手术,更不应该因为担心手术风险,贻误了最佳治疗时机。我院神经外科团队将继续秉承“精进不休,臻于至善”的理念,为服务和造福最广大群众奋斗不息。