科室动态

您现在的位置: 首页 - 科室导航 - 外科部 - 神经外科 - 科室动态

生命奇迹——脑胶质母细胞瘤患者的术后十年光阴!

(图文 神经外科 张培海、师炜)2011年7月,故事的女主人公迎来了人生中最重要的时刻——新生命的诞生。然而,此时命运却向她开了个玩笑。生产后三个月的某天,她开始头痛,感觉颅骨就要爆炸一样,随后急诊送医。头颅MR检查找到了罪魁祸首,脑肿瘤卒中出血!医生们告知,她可能活不到一年了。 像一道晴天霹雳,她感受到前所未有的绝望和无助,难道孩子的出世,意味着她的辞别?但是,家庭的支持和为母则刚的勇气让她重新振作,慕名求医。最终,她将所有希望寄托在我国著名神经肿瘤专家杨学军教授身上。就诊过程中患者这样一句话深深刺痛了杨学军教授内心“只要能活到孩子叫我一声妈妈我就心满意足了”。杨学军教授团队长期致力于脑胶质瘤的手术及精准靶向治疗,近年来在脑肿瘤研究领域取得了诸多突破性进展。

 

图1 杨学军教授团队联合美国约翰霍普金斯大学进行脑胶质瘤原研新药的研究

 

      为了满足患者“最后的心愿”,杨学军主任为这位母亲制定了详细而周密的治疗计划。在高精尖的技术设备保障及强大的多学科诊疗团队协助下,2011年10月杨学军教授成功主刀完成手术,在病理明确为胶质母细胞瘤后便开始规范化的放化疗治疗,并在其后的紧密长期随访中开始了长程口服替莫唑胺治疗。在漫长而艰苦的肿瘤抗争过程中,故事的女主人公始终积极配合治疗,态度乐观,同时家人也给予了强大的精神支持。在手术住院心里压力最大的时候,患者丈夫每天都把孩子的视频带到医院。看着可爱的孩子,才最终支撑着度过了生命中最艰难的日子。

 

图2 患者进行《与脑胶质瘤抗争走过的日子》演讲并向杨主任敬献《厚德载物》

 

      天若有情天亦老,也许这份母子深情打动了上天,这位母亲术后已经生存超过十年,实现了自己“听到孩子叫一声妈妈”的心愿。现在孩子已经十岁,病人创造了脑胶质母细胞瘤这一高度恶性肿瘤平均中位生存期不超过2年的生命奇迹,而且继续创造着新的记录!整个治疗过程中,杨学军教授团队为其进行了积极而规范的个体化综合治疗。目前,这位患者除了服药期间有轻度反应外,和正常人没有区别。病人也二次创业,在天津经营了一家非常有特色的披萨店,继续书写了人生新的篇章!

 

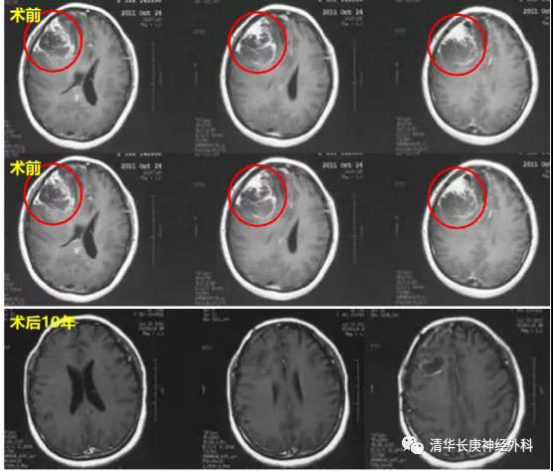
图3  手术前与术后10年磁共振随访

 

      在这样一个励志的生命故事中,我们不禁感叹爱与生命的伟大。然而,对疾病的正确认识,良好的医患沟通和信任,对治疗副作用的理解,强烈的求生欲望,对生活和家人的热爱,忍受痛苦,为所当为,可能是患者能创造奇迹的原因。从医者角度,我们也总结了一些经验给恶性脑肿瘤患者做参考: 一、 胶质母细胞瘤的长期生存离不开规范化的治疗。重视首次手术,高质量的肿瘤切除是所有后续治疗的前提。肿瘤最大范围内安全切除和神经功能保护是长期生存的基础; 二、 术后仍需积极的综合辅助治疗改善预后。对于依从性好、治疗耐受性好、副反应轻的案例,长程替莫唑胺化疗可能带来长期获益,但仍需医生进行个体化的用药指导; 三、 胶质母细胞瘤不是绝望的代名词。良好的医患信任和沟通,积极乐观的心态及家庭成员对患者全方位的关爱和支持,都是患者长期生存的保障。

 

我们的口号是“Here's neurosurgery,Tsinghua's neurosurgery”——“这是神经外科,水木清华”!