科室动态

您现在的位置: 首页 - 科室导航 - 外科部 - 神经外科 - 科室动态

清华长庚神经外科成功救治八旬高位脊髓损伤老人

  北京清华长庚医院2月7日电(神经外科 张培海)82岁的金爷爷退休前是一名记者,能弹会写,年轻的时候经常全国各地采访,不仅业务能力强,而且也练就了一副结实的身体,从来没生过大病,日常生活完全自理。

  10天前金爷爷睡觉时不慎从床上摔下,头部着地,当时人意识清楚,但四肢都不能活动,半小时后手脚能稍微活动,但却无法独自站立,肩膀疼痛,两个胳膊也根本抬不起来,金爷爷的儿女赶忙把他送到我院神经外科急诊。

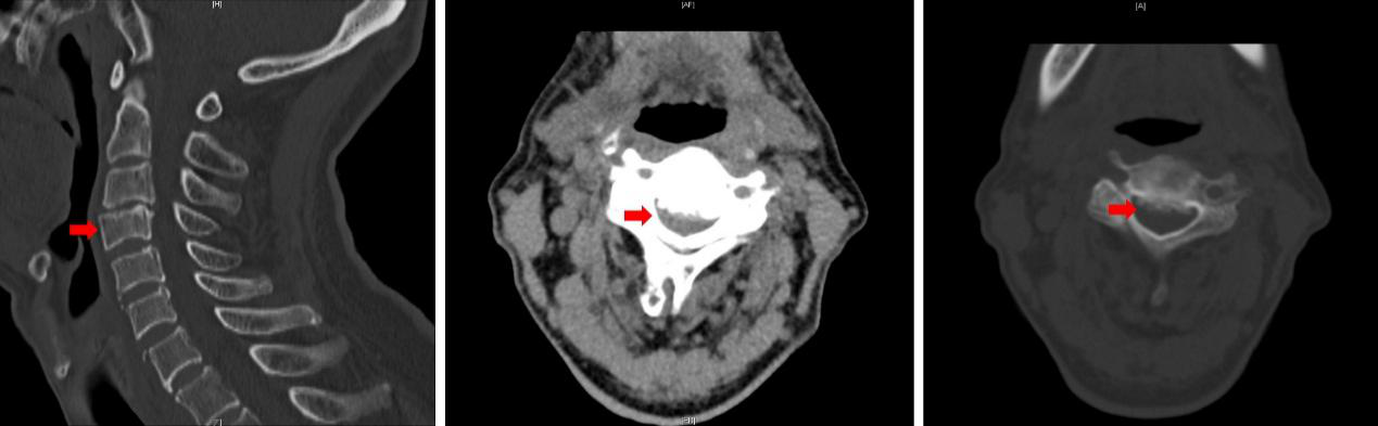
  接诊金爷爷一家的是神经外科张培海医师,经过仔细询问病史和详细的体格检查,张医生发现病人神清语利,却出现了四肢的肌肉无力疼痛,高度怀疑金爷爷头部摔伤后暴力传导至了颈椎,导致“急性高位颈髓损伤”,随即为病人安排了颈椎CT检查。果不其然,金爷爷颈椎CT提示颈椎第3节滑脱,骨赘增生明显,颈椎管狭窄,脊髓严重受压。

  图1 CT提示颈3椎体滑脱,颈椎管狭窄,脊髓严重受压

  考虑到金爷爷病情严重,张医师马上联系了孙振兴医师和王贵怀教授共同会诊协商,同时安排病人进行颈椎磁共振检查,进一步明确脊髓受压情况。脊髓损伤若未得到及时有效治疗,致残率极高,金爷爷虽然年纪较大,但基础状态良好,如果放弃治疗,很可能需终身与轮椅为伴,后期如果出现严重脊髓水肿,甚至会影响呼吸。经过家属和病人慎重考虑,金爷爷同意接受手术治疗。

  图2 MRI提示C3-7椎间盘突出,C3-4脊髓变性

  金爷爷磁共振提示C3-7间盘突出,颈椎管狭窄,但与本次发病有关的是发生脊髓变性和滑脱的C3-4节段。为了保证手术快速且安全的结束,王贵怀教授团队商议本次手术目标为C3-4节段,手术选择颈前入路,损伤小,减压彻底,滑脱复位明确。经过充分的术前准备,麻醉科刘娴医师顺利地为病人进行了全身麻醉,手术由王贵怀教授主刀,孙振兴和张培海医师协助。

  高颈段前路手术,暴露困难,手术团队凭借丰富经验,在颈动脉、气管及食管等重要结构的缝隙中,安全暴露C3-4椎体,显微镜下充分减压,使硬膜囊重新恢复搏动,保证脊髓彻底解压,最后使用钉板复位固定颈椎,手术出血仅50毫升。为了确保高龄病人术后安全平稳,术后金爷爷转入ICU病房继续治疗。ICU秦君平医师精心管理,病人顺利脱机拔管,第二天上午即转回普通病房由家人陪护。

  图3 术后CT检查,颈椎复位,脊髓受压解除

  在神经外科10A病区护理人员、康复科和中医科的通力配合下,金爷爷术后病情迅速好转,神经功能改善明显,可以独立下地活动,肩部疼痛较轻明显减轻,双手力量也有大幅进步,术后7天顺利出院。“感谢清华长庚医院,感谢神经外科,谢谢你们让我重获新生!”金爷爷激动地说。