科室动态

您现在的位置: 首页 - 科室导航 - 外科部 - 神经外科 - 科室动态

“神泌-双镜”首亮相 微创治愈11岁少女巨大椎管内囊肿

  北京清华长庚医院12月30日电(通讯员 张培海)近日,清华大学附属北京清华长庚医院神经外科王贵怀主任脊髓脊柱团队联合泌尿外科李建兴主任内镜团队,术中MDT运用“神泌-双镜”技术,以最小的创伤成功治愈了一例巨大椎管内囊肿。

  患者是一个11岁的小姑娘,家长发现她活动后常有双下肢无力的情况,至当地医院查出脊柱内竟然长了一个十三公分的巨大囊肿,一家人慕名来到王贵怀脊髓脊柱多学科联合门诊求医。椎管内囊肿是神经外科较为常见的脊髓脊柱疾病,囊肿往往由于单个或多个漏口导致的局部脑脊液漏形成,常导致脊髓和神经根受压,造成病人肢体无力、疼痛及二便障碍等症状。

 

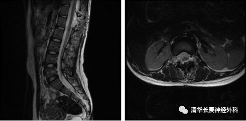
  术前磁共振示巨大椎管内囊肿(红色箭头),受压的脊髓(绿色箭头)

 

  传统的治疗方法就是在“脊梁骨上开大刀”,但患儿11岁的年纪正是生长发育的关键时期,长节段的脊柱手术很可能导致脊柱畸形、顽固性疼痛等并发症,影响日后的生活学习,降低生活质量。这是患者和家属都不愿意承受的。

  践行精准医疗理念,给患者以最小的创伤,王贵怀组织脊髓脊柱团队进行大量的文献学习和病例研究,发现在欧美和日本等地,有神经外科医师开展超细软镜的椎管内诊疗的先例。神经外科医师张培海随后联系泌尿外科李建兴主任团队进行会诊,讨论使用超细软镜探查囊肿腔,寻找囊肿漏口,显微镜下微创缝扎漏口,避免长节段脊柱手术的方案。

  综合讨论意见,王贵怀与李建兴联合制订了手术方案,先使用微创通道暴露该水平囊肿,之后软镜探查囊肿腔,明确漏口位置,最后显微镜下缝扎封堵瘘口,“神泌-双镜”技术顺利上线,实现了精准微创的治疗目标,整个治疗过程得到了来自家属的理解和支持。

 

  图A微创通道暴露囊肿,图B软镜探查,图C漏口及疝出的神经根

 

  术中泌尿外科医师指导使用超细软镜仔细探查囊肿每个角落,最后在右侧胸12-腰1水平发现了唯一的漏口和疝出的神经根,随后王贵怀和神经外科孙振兴医师在显微镜下还纳了疝出的神经根,严密缝扎和封堵了漏口,为了防止漏液,术中同时进行了自体筋膜封堵。为了术中验证手术效果,王贵怀主任让麻醉师抬高患者头部、短时屏气,确定无新的脑脊液流出后,才放心地结束了手术。

 

  图A王贵怀主任显微镜下手术,图B缝扎漏口,图C自体筋膜封堵

  术后磁共振示囊肿基本消失,神经受压缓解

 

  患者安返病房,术后2天复查核磁提示囊肿基本消失,无明显的神经功能障碍,实现了微创与精准手术治疗设想。看到小姑娘和父母高兴地出院,王贵怀欣慰地说道,“医师要敢于探索,善于思考,利用灵活适宜的技术和理念服务患者。”