科室动态

您现在的位置: 首页 - 科室导航 - 外科部 - 神经外科 - 科室动态

清华长庚神经外科运用栓塞一次性“摘除”多发颅内动脉瘤

  北京清华长庚医院11月23日电神经外科供稿)近日,64岁的方女士晨起后被家人发现晕倒在卫生间旁,后经120急送至清华大学附属北京清华长庚医院急诊。

  神经外科二线医师李伟快速赶到评估病情,经影像学全面检查,确诊患者颅内多发动脉瘤,包括左侧后交通段1.5mm×1.5mm×2mm的微小动脉瘤及右侧后交通段4mm×5mm×5mm大小的两枚动脉瘤,结合头颅CT考虑左侧后交通段动脉瘤为责任破裂动脉瘤,不排除右侧后交通段动脉瘤破裂的可能性。

  据李伟医师介绍,颅内动脉瘤多为发生在颅内动脉管壁上的异常膨出,是造成蛛网膜下腔出血的首位病因,在脑血管意外中,仅次于脑血栓和高血压脑出血,居第三位,且死亡率高,初次破裂死亡率可达30%,二次破裂死亡率60%-70%。多发性颅内动脉瘤的发生率在12%~26%之间。多发动脉瘤在女性高发,占60%~81%。发生部位最常见于颈内动脉和大脑中动脉。多发动脉瘤呈现出家族聚集趋势,相较"传统"动脉瘤易更早出现破裂出血,一经发现应及早手术治疗。

  经充分准备,由李伟医师主刀,为方女士进行颅内动脉瘤栓塞手术。考虑左侧后交通段微小动脉瘤为责任破裂动脉瘤,手术予以首先行LIVS支架辅助弹簧圈栓塞,后采用双微管技术行右侧后交通段动脉瘤栓塞。术后影像显示患者双侧后交通段动脉瘤完全栓塞。两周后患者预后良好,顺利出院。

 

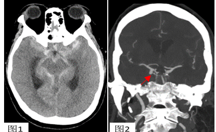
  头颅CT显示左侧基底池及侧裂血量较对侧多

  头CTA断层可清楚显示右侧后交通段动脉瘤

  

  LIVS支架辅助栓塞后造影显示微小动脉瘤不显影,分支通畅

  双微管栓塞后显示右侧后交通段动脉瘤不显影,分支通畅

     

  患者预后良好,顺利出院

 

  李伟强调,当蛛网膜下腔出血患者有多发动脉瘤且无法确认责任动脉瘤时,所有的动脉瘤可考虑一期治疗,并且尽量先治疗考虑破裂可能性更大的动脉瘤。如果能够明确判断责任动脉瘤,则可考虑首先治疗破裂的动脉瘤,其他的动脉瘤二期治疗。(编辑 于悦超)