科室动态

您现在的位置: 首页 - 科室导航 - 外科部 - 神经外科 - 科室动态

24小时4台脑出血急诊手术 季节更迭务必警惕!

  北京清华长庚医院4月3日电(通讯员 张培海)3月30日,北京清华长庚医院神经外科在不到24小时就接诊了4例需要急诊手术的脑血管病患者。神经外科副主任医师郭毅提醒大众:北京正值乍暖还寒的季节交替之际,此时是每年脑血管疾病的高发时期,据统计超过70%的脑出血患者在秋冬和冬春交替时发病。

  4名患者中,最年轻的一位年仅36岁。突发的头痛、头晕,持续有10余小时症状不缓解后到北京清华长庚医院急诊就诊。经脑部CT成像,可疑右侧后交通动脉动脉瘤,紧急行全脑血管造影,术中确认为后交通动脉起始段动脉瘤,开颅手术夹闭风险较高,经与家属沟通后行支架辅助弹簧圈动脉瘤栓塞术,手术过程顺利,患者术后1天恢复良好,无明显神经功能障碍,生活基本自理。

手术前后脑血管造影,提示动脉瘤栓塞满意

  动脉瘤是颅内的定时炸弹,一旦破裂,患者有生命危险,而4名患者中另一位67岁的患者同样源于此病因,就诊前5小时出现了意识障碍伴右侧肢体无力,在救护车转运期间及出现了意识下降至深昏迷,呼之不应,脑血管CT成像提示“脑出血,脑血管畸形,可疑左侧大脑前动脉动脉瘤”。患者手术风险极大,但已经出现脑疝,生命危在旦夕,刻不容缓,遂紧急行开颅手术。郭毅医师在显微镜下清除脑内血肿,探查发现患者左侧大脑前动脉瘤破裂,考虑为本次脑出血的致病根源,予手术夹闭,探查发现右侧后交通动脉瘤,同时行手术夹闭,消灭了以后患者此处动脉瘤破裂出血的危险。“这种类型的患者病情极其凶险,出血量大,治疗极其困难,若不及时手术治疗,很难存活。”郭毅说。

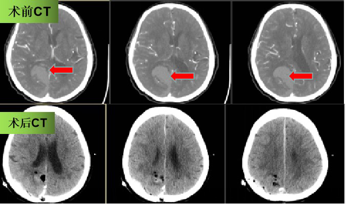
患者手术前后头颅CT,血肿清除满意

  此外,两名患者均为65岁以上的老人,她们拥有共同的典型症状:突发头痛,伴恶心、呕吐,经急诊CT检查,分别确诊为右顶枕脑出血、蛛网膜下腔出血,郭毅医师带队分别给予开颅血肿清除术,以及微创脑室穿刺外引流术。

  目前,4位患者的恢复情况良好。但4台脑出血充满的惊心24小时给大众敲醒了警钟——在冬春更替时节,警惕脑血管病,请大家谨记如下4条!

  什么是脑出血?

  我们平常所说的脑出血指的是非外伤性脑实质内血管破裂引起的出血,常见于中老年人群,高血压是最主要的诱因。如果病人同时合并高血脂、糖尿病、血管粥样硬化及口服抗凝药物等,那么他出现脑出血的可能性将会增大。脑出血约占全部脑卒中的20%~30%,但是它的致死和致残率却比脑梗塞高的多。年轻人中的脑出血更多见于血管畸形。自发性蛛网膜下腔出血最常见的原因是脑动脉瘤破裂出血。

  脑出血的常见诱发因素有哪些?

  文章前面提到的寒冷天气是常见诱发因素之一,有研究显示人体在在寒冷气候条件下,容易出现血液粘稠,毛细血管痉挛、脆性增加等,容易出现血压升高,血管破裂。因此,天气冷暖变化,及时增减衣物,千万不要为了风度,扔掉自己的秋裤。另外,情绪激动、过度劳累以及不良的生活习惯,比如酗酒、暴饮暴食、长期便秘及饱食后沐浴等都是脑出血的常见诱发因素。

  怎么及时发现患者有脑出血?

  患者常突发头痛头晕,恶心伴喷射性呕吐,昏睡,言语不清,严重者出现肢体偏侧瘫痪,甚至有病人直接昏迷、呼吸心跳暂停。通常卧床休息、药物治疗效果不佳,遇到此类情况应及时就诊。另外,头颅CT检查在各大医院已经非常普及,检查迅速,可明确患者颅内情况,是目前脑出血明确诊断的首选检查。对某些特定患者,CT脑血管成像(CTA)可快速明确出血原因。

  脑出血治疗手段有哪些?

图为北京清华长庚医院三维CT重建,模拟手术穿刺路线

  脑出血造成的颅内血肿可以直接破坏脑组织,对周边脑组织产生机械性损伤,血肿分解产物还会导致继发性脑损害。早期及时清除血肿,不仅可以解除占位效应,还能减轻继发性损害,因此目前的治疗以外科手术为主。常用的手术方法包括开颅清除血肿、神经内镜手术、穿刺引流等,具体手术方式,要根据病人具体情况选择,患者术后需长期的系统康复锻炼。