科室动态

您现在的位置: 首页 - 科室导航 - 外科部 - 神经外科 - 科室动态

季节更迭,警惕脑血管疾病找上门!

北京清华长庚医院4月1日电(通讯员 张培海)北京正值乍暖还寒,春寒料峭之际,此时是每年脑血管疾病的高发时期,据统计超过70%的脑出血患者在秋冬和冬春交替时发病,2020年3月30号我院神经外科不到24小时就接诊了4例需要急诊手术的脑血管病患者。下面通过这几个病例,科普一下脑血管疾病的发病和临床救治经过,分享健康保健知识。

 

--------------------------------------------------

 

      67岁的刘先生,5小时前出现意识障碍伴右侧肢体无力,家属联系救护车送至我院急诊,转运期间,患者出现意识逐渐下降至深昏迷,呼之不应,脑血管CT成像提示“脑出血,脑血管畸形,可疑左侧大脑前动脉动脉瘤”。患者手术风险极大,但已经出现脑疝,生命危在旦夕,刻不容缓,遂紧急行开颅手术。

 

图1 术前头颅CT及CTA,脑内血肿伴血管畸形

 

      手术中行显微镜下脑内血肿清除,探查发现患者左侧大脑前动脉瘤破裂,考虑为本次脑出血的致病根源,予手术夹闭,探查发现右侧后交通动脉瘤,同时行手术夹闭,消灭了以后患者此处动脉瘤破裂出血的危险。这种类型的患者病情极其凶险,出血量大,治疗极其困难,若不及时手术治疗,很难存活。

 

图2 郭毅副主任为患者行显微镜下手术

 

--------------------------------------------------

 

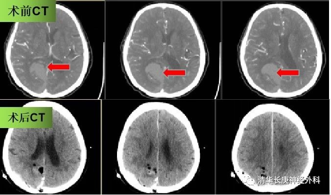
     68岁的马女士,3小时前突发头痛,伴恶心、呕吐,家属陪伴下就诊于外院,头颅CT提示右顶枕脑出血,转诊至我院后,予患者复查脑血管CT成像检查,排除脑肿瘤和血管畸形等,急诊行开颅血肿清除术,患者术后1天神经功能已基本恢复正常,日常活动无明显影响。这种脑叶出血的患者,若未发生脑疝等严重情况,往往手术效果良好,病情允许情况下,建议积极手术治疗。

 

图3 患者手术前后头颅CT,血肿清除满意

 

--------------------------------------------------

 

      36岁的王女士,突发头痛、头晕10小时余,症状持续不缓解,后就诊于我院急诊,行脑血管CT成像,可疑右侧后交通动脉动脉瘤,紧急行全脑血管造影,术中确认为后交通动脉起始段动脉瘤,开颅手术夹闭风险较高,经与家属沟通后行支架辅助弹簧圈动脉瘤栓塞术,手术过程顺利,患者术后1天恢复良好,无明显神经功能障碍,生活基本自理。动脉瘤是颅内的定时炸弹,一旦破裂,患者有生命危险,目前研究显示开颅和介入手术都取得了不错的临床效果,无论哪种办法,具备手术指征的患者应积极治疗。

 

图4 手术前后脑血管造影,提示动脉瘤栓塞满意

 

--------------------------------------------------

 

      69岁的何女士,4小时前患者突然出现头疼,伴有头晕恶心、呕吐,家人赶紧把她送到医院,头颅CT检查提示“蛛网膜下腔出血”,期间何女士陷入昏迷,呼吸微弱,急诊行气管插管,复查头颅血管CT成像,发现患者又出现了“脑室系统积血、脑积水”,紧急为患者进行了微创脑室穿刺外引流术,术中使用导航引导,确保不损伤功能区脑组织,避开血管,精准到达预定位置,帮助患者排除脑内出血,改善脑积水。患者蛛网膜下腔出血原因尚未明确,先期行脑室及血肿引流,可以减轻症状,待后续病情平稳后再进一步评估,决定后续治疗方案。

 

图5 三维CT重建,模拟手术穿刺路线

 

图6 术中导航引导下精准穿刺引流

 

图7 手术前后CT,箭头示引流管,位置良好

 

--------------------------------------------------

  • 什么是脑出血?

我们平常所说的脑出血指的是非外伤性脑实质内血管破裂引起的出血,常见于中老年人群,高血压是最主要的诱因。如果病人同时合并高血脂、糖尿病、血管粥样硬化及口服抗凝药物等,那么他出现脑出血的可能性将会增大。脑出血约占全部脑卒中的20%~30%,但是它的致死和致残率却比脑梗塞高的多。年轻人中的脑出血更多见于血管畸形。自发性蛛网膜下腔出血最常见的原因是脑动脉瘤破裂出血。
 
  • 脑出血的常见诱发因素有哪些?

文章前面提到的寒冷天气是常见诱发因素之一,有研究显示人体在在寒冷气候条件下,容易出现血液粘稠,毛细血管痉挛、脆性增加等,容易出现血压升高,血管破裂。因此,天气冷暖变化,及时增减衣物,千万不要为了风度,扔掉自己的秋裤。另外,情绪激动、过度劳累以及不良的生活习惯,比如酗酒、暴饮暴食、长期便秘及饱食后沐浴等都是脑出血的常见诱发因素。

  • 怎么及时发现患者有脑出血?

患者常突发头痛头晕,恶心伴喷射性呕吐,昏睡,言语不清,严重者出现肢体偏侧瘫痪,甚至有病人直接昏迷、呼吸心跳暂停。通常卧床休息、药物治疗效果不佳,遇到此类情况应及时就诊。另外,头颅CT检查在各大医院已经非常普及,检查迅速,可明确患者颅内情况,是目前脑出血明确诊断的首选检查。对某些特定患者,CT脑血管成像(CTA)可快速明确出血原因。

  • 脑出血治疗手段有哪些?

脑出血造成的颅内血肿可以直接破坏脑组织,对周边脑组织产生机械性损伤,血肿分解产物还会导致继发性脑损害。早期及时清除血肿,不仅可以解除占位效应,还能减轻继发性损害,因此目前的治疗以外科手术为主。常用的手术方法包括开颅清除血肿、神经内镜手术、穿刺引流等,具体手术方式,要根据病人具体情况选择,患者术后需长期的系统康复锻炼。