科室动态

您现在的位置: 首页 - 科室导航 - 外科部 - 神经外科 - 科室动态

手术机器人的脚步迈向大脑深处

北京清华长庚医院3月19日电(通讯员 任远)当下人工智能的标语“黑箱理论和深度学习”非常耀眼,简单来讲,是把人们的认识和改造对象看作一个“黑箱”,在深究这“黑箱”的内部结构和运动状况之前,先深入研究“黑箱” 的输入和输出变化,即所谓的深度学习过程,从而推断“黑箱”内部运行的规律或原理,进而让黑箱变成白箱。在此基础上,通过已知的输入因素,提前运算出未知的输出结果。机器学习之父 Tom Mitchel 将机器学习的步骤定义为:1.任务,2.训练过程,3.模型表现。而学习过程则可以被拆解为“为了实现任务,我们通过训练,逐步提高表现的一个过程。

      不要小看机器人的深度学习,2016 年,谷歌阿尔法机器人,通过对各种棋谱的学习积累,以 4:1 的比分战胜围棋世界冠军、职业九段棋手李世石;Stanford 大学研究的诊断机器人可以成功分辨皮肤癌;IBM 的 Watson 也能够在 10 分钟内识别多种癌症;中国的 Airdoc 在糖尿病性视网膜病变识别准确率已经和三甲医院医生水平相当。人工智能技术与医疗健康领域不断深度融合,清华大学附属北京清华长庚医院也早已展开了探索和应用,之前我们在学术会上分享过手术机器人辅助切除脑部肿瘤的病例。通过不断地积累,我院已稳步开展起手术机器人结合神外导航仪辅助脑深部病变的穿刺活检术,随着大量病例的深入学习和临床总结,逐渐使这个黑箱变得明朗。

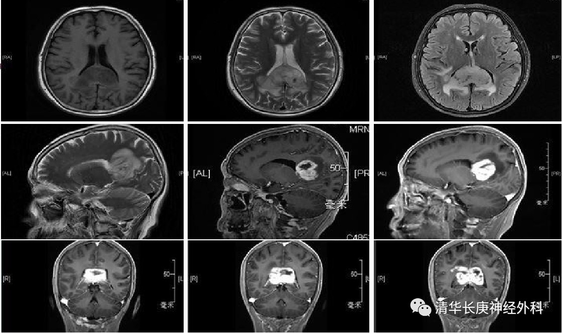
      2020 年 3 月,河北省 70 多岁的尹奶奶在 1  个月前发现咽喉部有异物感,吞咽时困难,并且时常对刚刚发生的事记不起来。就诊于当地医院行 MRI 检查,提示胼胝体压部巨大异常信号影,辗转多家医院,根据多位专家的经验,恶性肿瘤的可能性很大,已经失去手术的机会了。患者来到神经外科王贵怀主任的门诊时,要求很明确,希望通过手术机器人技术,仅取病变活检,进一步测序以便选择化疗药物进行后续治疗。王主任认真评估了患者的情况,考虑到病变位置深,临近周围多个重要神经核团,病变内存在坏死的空洞, 穿刺活检也存在不小的风险和难度。(图 2)

 

图 2 术前增强MRI 脑深部功能区巨大肿瘤,胼胝体压部,右颞叶内侧巨大异常信号影,恶性胶质瘤可能性大

 

      根据既往的经验,我们的法宝该上场了。患者住院后完成了各项术前排查,第三天进入了手术室。我们将尹奶奶的多种参数输入机器人和神外导航仪进行模拟比对,通过对穿刺结果的提前预判,规避皮层血管,王主任很自信地选择了一条最安全并且损伤最小的路径。机器人的手臂按照坐标成功取出了第一块组织,冰冻病理提示胶质瘤可能,穿刺部位精准,不到半个小时,手术顺利完成。

 

图 3 机器人联合导航设计穿刺部位、制定穿刺安全入路

 

      尹奶奶术后 8 小时复查头颅 CT 后提示穿刺通道准确,无血肿发生,当天即下地活动,3 天后出院,无任何并发症发生与不适,最终病理报告为高级别恶性胶质瘤,术后根据测序结果进行化疗药物选择和放疗。(图 4)

 

图 4 机器人模拟路径与导航计划完全匹配,双重引导下穿刺病灶,有效保护病灶毗邻的重要功能区

 

      自从 2016 年我们搭建了这个机器人手术平台,积累了大量的类似尹奶奶这样的患者病例(输入因素),结合术后的各种随访细节(输出结果),不断地探索和开发手术机器人的应用方式和相关模块,使这项技术不仅能够解决更多复杂的临床问题,并且进一步提高患者的手术质量。正如微软人工智能技术出版的新书《深度学习》所提到,“技术的衍变和进步无法阻挡,未来取代人类的不是AI,而是被 AI 赋能的人。”