科室动态

您现在的位置: 首页 - 科室导航 - 外科部 - 神经外科 - 科室动态

薪火相传,捍卫健康,传奇永恒

  清华长庚医院10月18日电(神经外科 荆林凯)1997年,我国神经外科泰斗王忠诚院士为一名21岁的患者摘除了从延髓到胸髓的22cm长的室管膜瘤,当时可以堪称为技术上的一个创造,曾被国外专家称誉为“惊动世界的世纪之作”。

  2005年,王忠诚院士的学生王贵怀教授奋战14个小时为一名14岁的患者摘除了从延髓到第六胸髓的26cm长的室管膜瘤,至今仍没有人超越。

图1. 患者部分影像资料(A,术前;B,术后;C,术后1年;D,术后5年)及手术切除的肿瘤(E)  

  2016年09月20日,25岁的患者来到北京清华长庚医院神经外科复查。在看到患者的瞬间,11年前的手术让王贵怀教授记忆犹新,历历在目。“患者小涛是从遥远的贵州北上前来寻医,才14岁,第一次到我的诊室时是被他父亲用轮椅推进来的。” 王贵怀教授说道, “检查后确诊了小涛的病情——从脑干到第六胸椎的脊髓髓腔内生长着一条长达26厘米的肿瘤。那是我见到过的最长的肿瘤,也正因为肿瘤超长,患病两年,小涛一直没有得到手术治疗,四肢瘫痪,大小便失禁,甚至已经影响到了呼吸。

  如此大型的手术,不仅是对医生的挑战,对于已背负沉重债务的小涛家来说,无疑又是一头棒喝。得知这一情况,王贵怀发动着自己的医师资源,帮助联系到了贵州省贵阳脑科医院,经过一番准备,他自己买上机票,利用周末的休息时间,赶到了贵阳进行这场可谓是“死马当作活马医”的大手术。

  从生命中枢——脑干长出的肿瘤,延伸至胸椎,就好像一根26厘米的香肠,里面的肉是肿瘤,而外面的皮才是人体正常的脊髓,肿瘤填满了髓腔,以至于将脊髓压迫到了如一层薄皮的程度。王贵怀需要做的是把“肉”摘出来,而不能造成“皮”的一点点损伤,当然,他面临的挑战绝非将“肉”从“皮”中剥离出来般简单,因为剥离的环境里是分布得密密麻麻的血管和其他神经。一旦“皮”破损了,将导致神经损坏,而血管破裂的风险则可能直接要了小涛的命。

  早上八点半,王贵怀换好手术衣,走进手术室,从脊髓肿瘤顶端切开一个小口开始,如履薄冰地一点点剥离肿瘤,“从第一刀起,到最后一刀落,都要保持着一样的精准、步调、呼吸、体力,还有心境。”手术到了下午,跟台的护士心疼王贵怀,拿了些牛奶,将吸管从他的口罩缝隙里塞进去,让他吸了一点,以慰体力。晚上十点半,小涛体内的肿瘤顺利而完整地取了出来。术后,王贵怀的兴奋远远超过了从精神贯注中抽出后的疲惫,他一直陪在小涛的床边,“半个小时就醒来了,呼吸正常,意识清醒,还能动。” 直到此刻,王贵怀一直高悬的心才慢慢放下。

  14个小时的奋战,26厘米长的脊髓肿瘤,病人三周后下床恢复走路。王贵怀教授创下的这条记录,至今仍没有人超越。

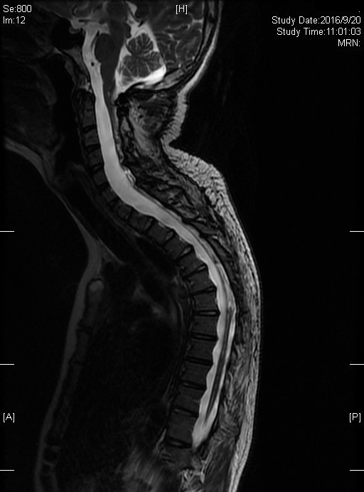
图2.术后11年的影像随访结果 

  作为中国工程院院士王忠诚的得意弟子,11年前的那台手术,让王贵怀向老师和世人展现了自己的悟性和天赋。王贵怀回忆着当时的场景,感慨道,“一天后,小涛的情况越来越好,我就给老师打电话,兴奋地告诉他:手术做完了,病人能动,呼吸机不上。王院士一听特别欣慰。”

  “2周后,小涛就能下地行走了。术后第1年,王贵怀去广西看望小涛;术后第5年,小涛来到北京给王贵怀送了一面锦旗。”王贵怀说,“现在小涛已经是25岁的小伙子了!他在我的从医生涯中,是一个可遇不可求的病例。”

图3.患者的随访(术后2周、1年、5年、11年)  

  这台手术是中国神经外科史上的一个“里程碑”,肿瘤之大,难度之高,无人可以企及。手术的整个过程都被完整发表在美国著名的《神经外科》杂志上。“和老师相比,这些都不算什么。”王贵怀由衷地说:“他是神经外科医生中极少数的做过一万台以上开颅大手术的人,至少挽救过一万个生命,被誉为‘万颅之魂’。” 在他办公室的醒目位置,悬挂着王忠诚院士手书的“发展神经外科事业”几个大字,被王贵怀视作老师对自己的鞭策和鼓励。

  北京清华长庚医院的院训是:人本,济世,厚德,至善。“我一直追求的是最后两个字——‘至善’,‘至善’就是善到极点。我做每一件事,都要求自己能达到尽善尽美的境界。医生面对的是生命,不像写书法或文章,不满意可以撕掉重写。医疗不是这样的,做手术前,病人各方面的信息要研究得精准透彻,准备得相当充分了,才能动这个手术。”正是在这种信念的支撑下,王贵怀收治了很多其他医院其他医生都不愿意收的,病情危重的病人。“我把他们收进来,他们就多了一个活下去的机会。”

  清华长庚医院成立不到两周年,神经外科就已做了900余台手术,而且绝大多数是三、四级高难度的手术,每一台手术都很成功,病人遍布全国每一个省份。

  “王老师,我还要再给您送一面锦旗……”小涛最后说道。这句话是他和每一名优秀的医师收到的最好的礼物——患者的健康和感恩,这一捧满满的成就感胜过了任何物质的满足。