科室动态

您现在的位置: 首页 - 科室导航 - 外科部 - 神经外科 - 科室动态

高新技术篇--我院神经外科联合胸外科成功为12岁少年切除巨大神经鞘瘤

      清华长庚医院8月24日电(神经外科  杨峰)近日,北京清华长庚医院神经外科王贵怀主任团队成功完成一例胸腔巨大神经鞘肿瘤切除。据了解,半年前,该患者经常会出现胸痛、咳嗽和呼吸困难,在当地医院检查发现左侧胸腔巨大占位,左肺及心脏明显受压。患者父母先后跑遍了全国多家大型医院诊治,均因手术难度大、风险高、可能会出现大出血以及瘫痪等后果,不予手术,全家陷入了恐惧和痛苦之中。当来到北京清华长庚医院见到王贵怀主任,全家人重新燃起一线希望。

 

(术前MRI评估,“→”表示肿瘤所在区域)

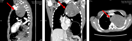
(术前CT评估,“→”表示肿瘤所在区域)

 

      王贵怀主任仔细查体了解病情,并认真反复阅片,认为左侧胸腔巨大肿瘤来自于胸椎椎管内,神经鞘瘤可能性大,该肿瘤体积巨大,占据绝大部分胸腔空间,压迫左肺、纵隔大血管及膈肌,与周围组织界限清楚,此病人需行手术治疗切除,但手术难度极大,术中大出血的风险高,稍有闪失将造成台上大出血死亡,一旦决定手术进胸,便无退路。患者入院后,王贵怀主任邀请胸外科陈东红主任,组织病例会诊讨论,并达成共识:如此巨大肿瘤除手术外尚无其他有效治疗手段;此手术风险虽高,但有一线希望我们都应该尽最大努力。制定了缜密的手术方案及意外情况处理预案后,在输血科马海梅主任及麻醉科张欢主任团队的保驾护航下,手术于2016年8月2日如期进行。

       手术过程中发现肿瘤不仅占据胸腔内大部分空间,且与心脏、主动脉、腔静脉、下肺静脉等组织紧密粘连,一旦分离过程中损伤大血管致出血,受肿瘤阻挡的情况下,病人将很快因大出血死亡。在胸外科团队的协助下,王贵怀主任团队顶住巨大压力,经过5小时的奋斗,终于将肿瘤完整切除移除胸腔。在麻醉科张欢主任团队的协助下,患者术中生命体征稳定,心率及血压控制良好,平稳地度过了手术麻醉期,术后返回重症监护病房。

(术后神经外科王贵怀主任与胸外科陈东红主任一起查看患儿,探讨病情及术后治疗方案。)

      在许媛主任团队的精心治疗下,患者平稳转回神经外科病房。患儿术后患者恢复顺利,现已平稳出院。

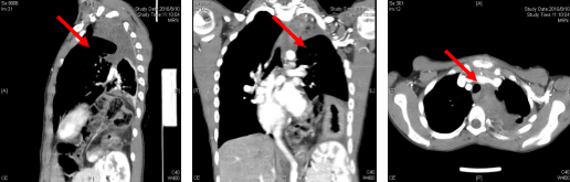
(术后CT复查,“→”表示肿瘤残腔)