科室动态

您现在的位置: 首页 - 科室导航 - 外科部 - 神经外科 - 科室动态

小天使 神外与你并肩抗争髓母细胞瘤

  清华长庚医院3月7日电(通讯员 董生)近日,北京清华长庚医院神经外科成功为17个月大患儿切除巨大脑内髓母细胞瘤,给小天使一个未来。  

 

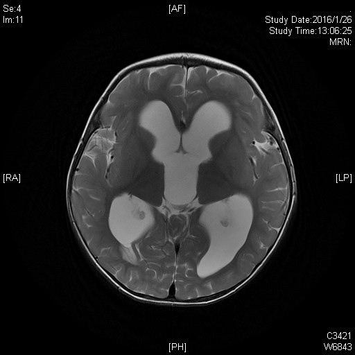
  患者小萌(化名)是一名来自河南的17个月大小男孩。小萌的父母在来我院5天前发现他眼姿不正,在当地医院检查,发现了四脑室占位、脑积水。因病情的的复杂性,当地医院不能处理,建议来我院神经外科王贵怀主任门诊就诊。

  给小朋友做手术绝对不是“小儿科”,手术更有挑战,医生要付出更多的努力和关爱。因小萌无法自述自己的病情及不适,王贵怀主任在门诊对小萌进行了细致的查体,结合对其父母的详询情况,认为是脑干背侧巨大髓母细胞瘤的可能性大,当即收患儿住院治疗。小萌因脑积水,是个大头娃娃,样子呆萌,不太哭闹,怯怯的样子招人怜爱,一入院就成了病房里的小明星。美国著名的百岁儿科医生Leila Denmark每次接诊时都会说,下一个小天使是谁?于是,这位小朋友就成了神经外科的小天使。为了给这个小天使一个未来,医生、护士都细心呵护他。  

  髓母细胞瘤是颅内恶性程度最高的胶质瘤,生长迅速,手术不易全部切除。经过神经外科科内讨论,为小萌制定了详细的手术方案,行肿瘤切除术。麻醉科也给予小萌特别的关爱,在手术室,麻醉科张欢主任和主治医师魏昌伟上下同时开工,一位动脉穿刺,一位股静脉植管。麻醉过程紧张有序,有条不紊。主刀医生王贵怀主任擅长高位颈髓和脑干肿瘤手术,处理四脑室肿瘤游刃有余。手术中肿瘤暴露、分离、切除、止血,步步为营,干净利落。手术很成功,肿瘤全切,约5.0mm×3.5mm,足有鸡蛋大小。术后小萌入ICU,在ICU的精心治疗下,他恢复很快,术后第2天返回普通病房治疗。术后住院日,小萌病情平稳,恢复良好,于2016年2月19日出院。术后病理证实小萌脑部肿瘤为髓母细胞瘤。

  王贵怀主任表示,这个病例体现了北京清华长庚医院的技术实力、医者仁心的人文情怀和各学科的协作精神。我院在北京市医管局通报的2015年市属医院绩效考核中,患者综合满意度综合排名第一。神经外科全体医护人员满怀信心,在今后的工作中会继续保持良好的工作作风,为更多的患者解除病痛。(编辑黄莫琳)