科室动态

您现在的位置: 首页 - 科室导航 - 外科部 - 神经外科 - 科室动态

精准医疗帕金森氏病,清华长庚技更高

  清华长庚医院10月29日电(神经外科 张培海)近期在北京清华长庚医院副院长王劲教授带领下,医院神经中心顺利开展了2例重度帕金森患者的DBS植入术。北京清华长庚医院神经外科作为医院重点发展科室,由王劲和神经外科主任王贵怀领衔组建。王劲是我国改革开放后第一位取得美国神经外科协会认证的大陆临床神经外科医师,在美国从事神经外科工作多年,曾就职于西雅图Providence医院、华盛顿大学医学院、瑞典医院神经病学研究所等世界著名医疗中心和医学院校,实施脑深部电刺激术近200台,术后并发症不足百分之一。

    帕金森氏病(PD)作为一种终身进展的神经系统退行性疾病,是导致中老年人群死亡的第三大因素,预计到2030年,全球一半帕金森病病人将在中国,预计将达1500万人。帕金森患者多依靠药物控制症状,对于药物治疗无效的病情严重患者,目前主流的治疗方法是脑深部刺激器(DBS)植入术,也称为大脑起搏术。大脑起搏术要求将直径不足2mm的微型脑起搏器植入到大脑深部神经核团,创伤小,可逆性强,术后病人可定期在门诊进行体外的神经调控,对帕金森病的治疗效果突出,在发达国家已成为一种常规手术,国内仅有少数大型医疗中心开展,且水平参差不齐。

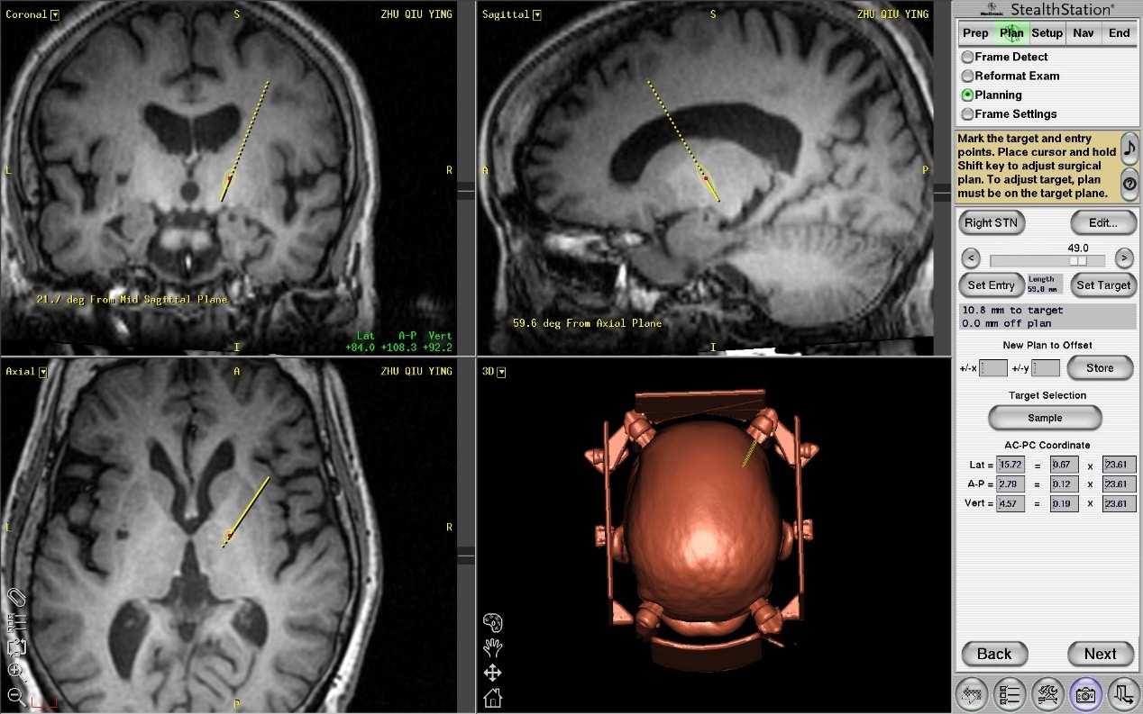
  2名患者十余年来辗转国内知名医院就诊,均未取得满意的治疗结果,饱受疾病摧残,慕名来我院求医。王劲接诊患者后,耐心、细致地向病人及家属讲解了手术治疗方式及可能出现的手术风险。患者入院后,王贵怀亲自指导神经外科医师董生为患者进行了详细的神经功能评估、检查,并使用目前最先进的影像导航系统美敦力Stealth station 7为患者制定个体化的手术入路,确定了脑起搏器靶点位置(图1 所示)。

  

  

  图1 术前规划手术入路,计算靶点

  手术过程中(图2所示),患者保持清醒状态,电生理专家利用微电极记录技术辅助定位,确定起搏器植入靶点后,在患者配合下进行电刺激实验,满意后固定电极,利用O-arm术中影像系统再次确定靶点位置理想后,改为全身麻醉,植入DBS脉冲发生器和连接导线,术中出血不到50ml,术后患者安返病房,次日患者即可床旁活动,患者之前肢体颤抖、僵硬症状基本消失,能自如的完成伸手握拳等动作,日常生活基本恢复自理,患者及家属连连称奇,患者目前已出院,门诊定期进行神经调控。

  

  

  图2 王劲教授为患者安装立体定向设备,王贵怀主任为患者进行小骨窗开颅,脑起搏器置入

  

  

  图3 术中O-arm确认起搏器位置理想

  

  

  图4患者(左一)术后1个月,生活基本自理

  我院神经外科隶属于清华大学临床神经科学研究院,充分依托清华大学厚重的人文底蕴和宽实的科技平台,目前正积极与清华大学神经调控技术国家工程实验室主任李路明教授开展合作。李路明教授团队研发的国产脑起搏器打破了国外的技术垄断,使我国成为全球第二个拥有全系列脑起搏器的国家,还把产品价格降低了40%,且性能指标全面超过进口产品。相信不久,在王劲和王贵怀的带领下,神经外科团队将造福更多的帕金森氏病患者。 (编辑 黄莫琳)