科室动态

您现在的位置: 首页 - 科室导航 - 外科部 - 泌尿外科 - 科室动态

左肾异位盆腔 清华长庚泌外专家四镜联合战复杂结石

  

  北京清华长庚医院5月7日电(通讯员 于悦超)河北的周先生,因为血尿,腰腹部疼痛难忍紧急就医,被当地医院诊断为多发肾结石。然而影像检查同时提示了更为复杂的情况——患者为天生的异位肾,本应长在腹膜后方的左肾,长到了盆腔里。这不仅增加了手术难度,更加大了手术风险。

  患者立即转诊至清华大学附属北京清华长庚医院泌尿外科。李建兴主任团队完善相关检查后发现,患者左肾位于复杂的解剖环境中,其前方和右侧为肠管,右下方是膀胱,左侧是髂血管,“肾脏本就是人体血流最丰富的器官之一,在肾脏上建立穿刺通道时,稍有不慎,就可能会导致大出血,情况严重时甚至保不住肾脏。”李建兴说道,而该患者的肾脏位置则更加“凶险”,执行微创手术过程中,如何避免临近脏器、血管的损伤,对穿刺精准度提出了高要求。

  

  

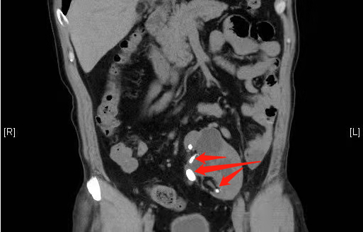
图中箭头处为部分较大结石

  挑战远不止于此。患者的肾解剖结构也为异常状态,结构混乱、形状弯曲、分支肾盂等问题,导致多发的结石在左肾内不仅分散而且隐秘难及,仅术前检查,即可见小鸡蛋、鹌鹑蛋大小结石5枚,而黄豆、米粒大小的结石已难以预估,多达数十枚。践行精准医疗,为达成一次性碎石的手术目标,李建兴带领泌尿外科团队反复研究手术方案,最终决定“四镜联合”——超声定位标准经皮肾镜+腹腔镜+电子膀胱软镜+针状肾镜,利用四种微创技术的各自优势,分批分层次碎石。

  

  “建立对异位左肾的通道是手术的关键之一。”李建兴说。他利用超声引导定位进行穿刺,反复寻找角度,以避开邻近腹腔脏器及肾脏本身的血管。给穿刺的精准度“上保险”,他同时通过腹腔镜进行术中探查,证实周围脏器确实没有受到穿刺损伤后,李建兴开始娴熟地使用经皮肾镜对穿刺通道进行进一步扩张,并对一部分较大的结石进行取石碎石手术。由于“硬镜”经皮肾镜不能“拐弯”,无法取出角落里的结石,按照术前计划,李建兴操作柔软可弯曲的电子膀胱软镜进行二次碎石取石。

  尽管“软硬兼顾”,但因为患者肾盏的可操作空间非常有限,加上异位肾的的结构复杂,仍然有结石藏在小角度、平行肾盏里。此时,“精细清扫战场”的第四镜登场,通过超声明确残余结石位置,李建兴使用其发明的、拥有自主知识产权的“针状肾镜”——直径只有1.3毫米,通过实时传回的高清影像,再次建立直达结石的穿刺通道,利用激光碎石。最终这例复杂的泌尿系结石微创手术耗时两小时顺利完成。碎石数十粒,患者腹部仅有两个直径1厘米的创口和一个针眼。

  

  术前红框为结石主体存在区域,术后影像显示结石清除干净

  “泌尿系结石复杂多样。治疗没有单一的方式,要根据结石的大小、位置、形状等,为患者制定个性化的治疗方案,降低对患者的创伤。”李建兴说。(编辑 韩冬野)