科室动态

您现在的位置: 首页 - 科室导航 - 外科部 - 泌尿外科 - 科室动态

北京清华长庚援藏医生帮扶当地医院开展小儿肾结石微创治疗

  2018年8月,清华大学附属北京清华长庚医院泌尿外科付猛医师来到了拉萨市市人民医院进行为期一年的对口支援,此次驻藏支援付孟医师并非“孤身前往”,他还带来了北京清华长庚医院泌尿外科李建兴教授团队的尖端技术和先进的医疗理念,拉萨市市人民医院泌尿外科在其帮扶下逐步完成泌尿系结石、前列腺增生、UPJO、肾脏占位病变等泌尿系疾病的微创治疗。

  近日,拉萨市市人民医院泌尿外科在付猛医师的带教下完成3例小儿肾结石微通道经皮肾镜碎石术(mPCNL ,16F);其中最小患儿8月龄,最大5周岁;其中一例行同期双侧mPCNL(一次手术处理两侧肾结石)。继帮扶当地医院开展首例PCNL后,又结合当地小儿肾结石患者较多的现实状况;逐步帮扶当地泌尿外科开展小儿尿石病微创诊疗工作,再次推动泌尿外科迎来一个新的起点。

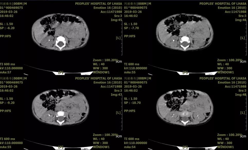
  小儿肾结石病历01

  患儿,男,8月龄,主因“排尿困难伴哭闹1日”就诊。术前诊断:双肾结石;予以右侧mPCNL。

  术中未留置DJ管;术后患儿愈合良好,术后第3天拔除肾造瘘管,第4天拔出尿管,第5天出院。

 

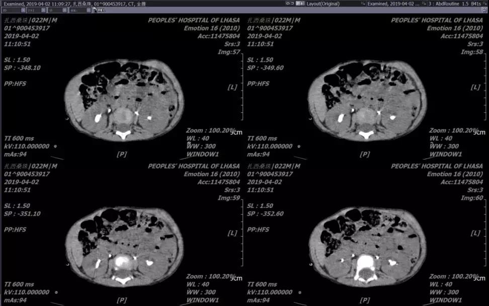
  小儿肾结石病历02

  患儿,男,1岁10个月,主因“腹痛腹胀伴排尿困难1天”就诊。术前诊断:1.尿道结石;2.右输尿管结石;3.双肾结石。急诊一期予以经由尿道结石碎石术+右输尿管结石碎石术+双侧输尿管结石支架置入术。二期行mPCNL。

  术后患儿愈合良好,术后第3天第4天依次拔除肾造瘘管,第5天拔除尿管出院。

 

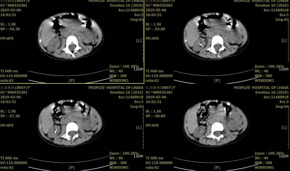
  小儿肾结石病历03

  患儿,女,5岁,主因“右侧腰部疼痛1天”就诊,术前诊断:1.右输尿管结石,2.右肾结石。入院后决定一期行输尿管支架植入术,二期行mPCNL

  术后患儿愈合良好,术后第3天拔除肾造瘘管,第4天拔出尿管,第5天出院。

  


科 普 时 间

  1、儿童肾结石一般概念

  全球泌尿系结石疾病发病率5%-15%,儿童肾结石的发病率较低(1~2.7%),儿童肾结石的发病率每年稳步上升6%~10%。

  西藏自治区为高海拔地区,平均海拔在4000米以上,居民以藏族为主,气候环境以缺氧、低气压、寒冷、干燥、紫外线照射强等为特点。同时饮食、起居等均与内地汉族有较大区别,流调显示尿石病在藏区医院泌尿外科诊治疾病谱中居首位,其中以上尿路肾结石为主,同时发现本地区9岁以下患儿较多,约占13.3%。

  成因:肾结石是一种坚硬的卵石状物质,当小儿尿液中含有大量某些矿物质时,会在一个或两个肾脏中形成形成结晶/结石。如果得到正规医院的治疗,肾结石很少会造成肾功能不可逆性损伤。 

  别名:肾结石有些医疗中心还有其他称呼,比如,尿石病、尿路结石、泌尿系结石等。

  大小形态颜色:肾结石的大小和形状各不相同。它们可以像一粒沙子一样小,也可以像豌豆一样大。极少数肾结石和乒乓球一样大。肾结石可能是光滑的或锯齿状的,通常是黄色或棕色。

  自发排石和手术:小肾结石可能会自行穿过泌尿道,几乎不会产生疼痛。较大的肾结石可能会被卡住。被卡住的肾结石可以阻止尿液流动,导致严重的疼痛或出血。这个时候需要及时到医院进行诊治。

  症状:患有肾结石症状的儿童,包括严重的肾绞痛,血尿或呕吐等。肾绞痛 ;,这是一种严重的疼痛,来自于腰部并从腰部向腹股沟辐射。它可能感觉像是一个非常严重的痉挛,可能导致呕吐,很难缓解。膀胱中的结石可以在排尿时引起疼痛并且需要更频繁地排尿。它还可以导致肾脏完全阻塞,引起严重的疼痛和呕吐。有时被堵塞的尿液会被感染,使孩子病得很重。

  如何诊断:B超检查的敏感性和特异性不如CT检查,但B超检查有费用低、无辐射暴露等优点,是诊断儿童肾结石的首选方法。

  如何治疗:儿童肾结石的治疗通常取决于结石的大小,位置和结石成分。非手术治疗包括:药物排石,饮食调整,代谢干预,行为干预,体外碎石等;手术干预:输尿管镜碎石(软硬镜),经皮肾镜取石术和内镜联合肾内手术等微创治疗。手术一方面完成石头清除以防止结石复发;另一方面要最大程度的保证肾功能的完好。

 

  2、小朋友容易长哪种类型的肾结石呢?

  儿童发育过程中出现肾结石以下面四种最常见。

  ①含钙结石:包括草酸钙结石和钙 磷酸盐结石,是最常见的小儿肾结石。草酸钙结石比磷酸钙结石更常见。食物中的钙不会增加草酸钙结石的机会。通常,儿童骨骼和肌肉不会吸收的钙进入肾脏并被尿液冲洗掉。在一些儿童中,肾脏会泄漏额外的钙,这些钙可以与其他废物一起形成肾结石。

  ②尿酸结石:当孩子的尿液中含有过多的尿酸时,可能会形成尿酸结石。某些遗传性疾病会导致孩子泌尿道尿酸过多。少吃鱼,贝类和肉类——特别是器官肉(这些高嘌呤食物可能会增加尿液中的尿酸并导致肾结石)。

  ③磷酸铵镁结石(一种感染性结石):在发现肾脏的上泌尿道感染后可能形成磷酸铵镁结石。这些结石会突然发展并迅速变大。磷酸铵镁结石往往会影响尿路未正常发育的儿童,尿液流量可能受限或受阻。单纯性尿路感染(UTI),如膀胱感染,通常不会导致磷酸铵镁结石。

  ④胱氨酸结石:胱氨酸结石是由一种称为胱氨酸尿症的疾病引起的,这种疾病通过家族遗传而来。在胱氨酸尿症中,孩子的肾脏会排泄大量的半胱氨酸,一种氨基酸。然后可以在尿液中形成胱氨酸晶体并形成胱氨酸肾结石。

 

  3、小朋友如何预防罹患肾结石呢?

  为了减少患上结石或者降低结石复发的风险,应该鼓励每个小朋友做一些事情:

  A.     应鼓励儿童每天饮用1-2升水

  B.     在饮用水中加入新鲜柠檬汁

  C.     避免碳酸饮料

  D.     将盐摄入量限制在2-6克/天(取决于年龄)

  E.     将钙摄入量限制在350-1000毫克/天(取决于年龄)

  F.      避免体重增加

  此外,西藏自治区为高海拔地区,平均海拔在4000米以上,居民以藏族为主,气候环境以缺氧、寒冷、干燥、紫外线照射强等为特点,应适当额外补充饮水量。