科室动态

您现在的位置: 首页 - 科室导航 - 内科部 - 心血管内科 - 科室动态

清华长庚医院心脏内科在国内率先应用RASER技术治疗冠状动脉血管完全闭塞病变

  北京清华长庚医院11月20日电(通讯员 薛亚军)2017年11月7日,清华大学附属北京清华长庚医院心脏内科成功应用RASER技术治疗了一名冠状动脉血管(右冠脉)完全闭塞病变的患者。

  联合使用准分子激光冠脉内斑块消蚀术(ELCA)和冠脉旋磨术(RA)称为“RASER”,可以有效治疗既往无法治疗的病变。具体来说就是利用ELCA开通闭塞冠脉血管的上游通道,在此基础上,再通过旋磨导丝进一步完成冠脉旋磨技术,充分开通血管,最终顺利完成球囊扩张及支架植入。这两种技术的完美结合促成了这名患者的手术成功,标志着北京清华长庚医院成为国内率先完成该技术的医院。

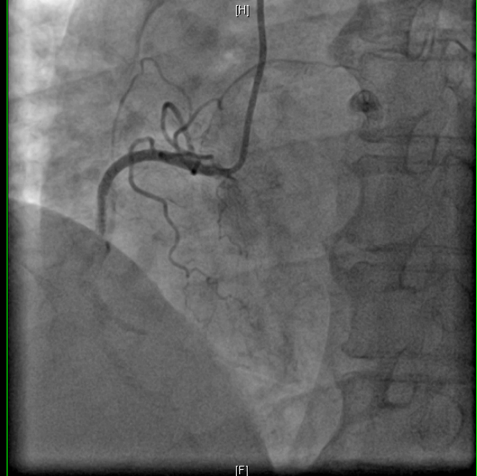
  图1  RASER技术

  患者是一名57岁的女性,有20余年的糖尿病史,2013年因心肌梗死,于外院行支架植入治疗,此次因再发心绞痛入院,复查冠脉造影提示右冠脉血管内100%闭塞,原支架可能已断裂。由于患者病情特殊,在王伟民主任和张萍主任的带领下,医院心脏内科冠脉介入治疗团队详细分析了患者的病情。患者右冠脉支架内再狭窄,通过导丝、球囊及进一步支架治疗的手术难度很大,单纯依赖药物治疗效果也不理想,因此判断应用RASER技术应该能取得更好的疗效。

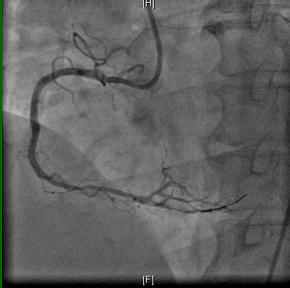
  图2 应用RASER技术治疗术前及术后的冠脉造影结果对比

  准分子激光根据病变性质,选择合适的能量密度及脉冲频率,在这个病例中采用能量45mJ/mm²、频率40Hz共消蚀3次,球囊仍无法通过病变,随即换用旋磨导丝顺利通过病变并应用1.25mm磨头完成两次旋磨后,顺利完成球囊扩张及再次植入1枚支架,最终应用血管内超声(IVUS)精准评估手术后效果。

  图3 王伟民(左1)、缪国斌(左3)及薛亚军(左2)医师在术后

  RASER技术在我院这例特殊冠脉病变患者的成功应用,结合已有的研究结果,将适合于复杂性日益增加的冠状动脉介入手术,可以用于处理血栓病变、中度钙化病变、慢性完全闭塞性病变、球囊难以扩张病变、支架内再狭窄等。总之,病例数据的增加,手术经验的积累,RASER这一技术的应用可被认为安全有效,最终可以使那些难以用常规冠状动脉介入手术进行治疗的患者受益。

 

  新闻链接:

  激光治疗冠脉内病变最早可以追溯到20世纪80年代,近些年,新一代ELCA技术问世,具有更短波长的紫外线光源,更细的导管设计以及脉冲式发射的冷光源,有效性、安全性明显提高,但ELCA不能直接作用于钙化组织,在处理严重钙化病变时效果受限。

  经皮冠状动脉腔内旋磨术(RA)是以高速旋转的金刚钻磨头消磨坚硬的钙化斑块等复杂病变,从严重的钙化病变中打出一条通道,如同高速旋转的手术刀。2011年美国介入指南推荐将旋磨术作为严重钙化病变的首选治疗方法,但旋磨术也存在一些缺点,如旋磨导丝必须通过病变处才能进行治疗,对于特殊部位的病变如静脉桥血管,旋磨术难以实现等。

  因此,对于某些疑难复杂的病变,可尝试RASER技术。当病变严重狭窄且伴钙化时,可考虑使用0.9mm ELCA导管,导管通过后血流出现,此时交换微导管,在此基础上行旋磨术。该技术给很多不能做旋磨的病变提供了一个很好的选择。

  北京清华长庚医院心脏内科在张萍主任的领导下,特聘国内顶级专家王伟民为首席专家,组建了由缪国斌、薛亚军医师等人为核心的冠心病介入队伍。此外,还有一批来自安贞医院、协和医院等著名医学院校的年轻医学博士参与,利用冠心病介入先进诊疗技术,使冠脉分叉、CTO、左主干等疑难病变能够实施更精准的治疗。同时,医院建立了急性心肌梗死绿色通道,在各级部门的大力支持下,大大缩短了急救时间。