科室动态

您现在的位置: 首页 - 科室导航 - 内科部 - 心血管内科 - 科室动态

“生命所系,心心相依”北京清华长庚医院心脏内科成功抢救一名92岁急性心肌梗死患者

  清华长庚医院3月7日电(通讯员 薛亚军 周杰)2016年2月16日,北京清华长庚医院心脏内科介入团队为一名92岁急性心肌梗死患者植入支架,挽救了老人的生命,极大的改善了老人的生活质量和预后,成为我院心脏内科介入治疗年龄最大的心肌梗死患者。

  老人虽然92岁高龄,但生活习惯很好,常常在家人的陪同下出门活动。2月14日傍晚,初春的天气咋暖还寒,老人外出散步时,因受凉后突然出现心慌、胸闷,肩背部疼痛,且症状持续不缓解,血压明显升高,达到180/90mmHg,由家里人及时送到我院急诊科,心电图检查提示“急性前壁心肌梗死”,随即通知心脏内科,张萍主任带领的心脏内科团队,在充分评估患者病情后,随即将老人收入心脏监护病房(CCU),动态检测病情变化。在给予老人充分的药物治疗后,患者仍间断出现胸闷症状,并出现心脏功能不全的表现,此时如不积极处理病变血管,患者心功能可能进一步下降,导致心力衰竭,但患者年龄大,身体状态差,介入治疗手术风险极高,术中及术后并发症远远高于常人。

  

  图 1 患者男性,92 岁,心电图提示急性前壁心肌梗死

  

图 2 缪国斌主任医师及薛亚军主治医师在手术中

  

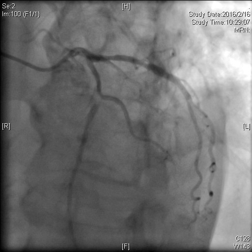
  图 3 术中见冠状动脉前降支中段局限狭窄99% ,远段弥漫斑块形成

  心脏内科介入团队在张萍主任领导下,反复论证,本着对生命负责的态度,决定在2016年2月16日为老人行冠状动脉介入手术,术中发现冠状动脉前降支中段几乎完全闭塞,命悬一线,依靠扎实的业务水平,术前充分的准备,缪国斌、薛亚军两位介入医生,胆大心细,顺利于前降支中段植入支架1枚,成功开通梗死相关血管,术中仅耗时40分钟,术后老人平安返回病房,继续优化药物治疗方案,很快患者的胸闷、心前区疼痛等症状好转,逐渐恢复健康,并于2016年2月23日病情稳定出院。

  北京清华长庚医院介入平台在张萍主任的带领下,缪国斌主任医师及薛亚军主治医师下已成功完成了近百例心脏冠脉介入类手术。本例患者成为心脏内科介入平台救治的年龄最高的患者,标志着北京清华长庚医院心脏内科在处理复杂心脏血管病变能力上更上一层楼。“生命所系,心心相依”,以扎实可靠的业务水平为基础,无微不至的服务态度、真诚恳切的沟通方式、锐意进取的拼搏水平为宗旨,心脏内科将努力承担为老百姓的心血管疾病保驾护航的神圣使命。