科室动态

您现在的位置: 首页 - 科室导航 - 内科部 - 肾脏内科 - 科室动态

脆弱的骨头-肾科与骨科协作手术治疗多发性骨折

  (北京清华长庚医院6月30日电 肾内科 许慧莹 李月红)

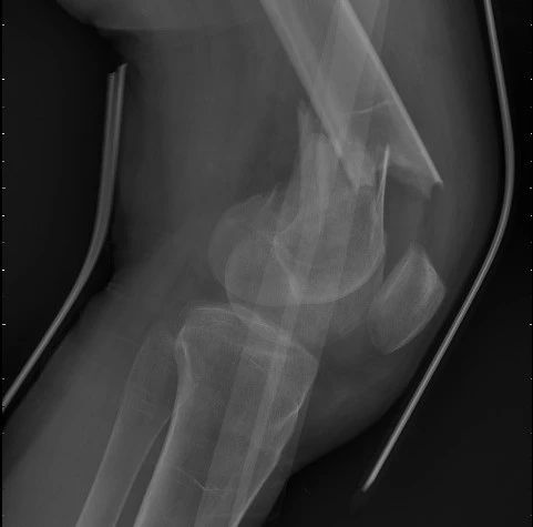
  30岁女性因糖尿病肾病血透1年余,1月前骑电动车不慎摔倒,全身疼痛无法动弹,紧急送至北京清华长庚医院急诊,拍片显示左股骨远端骨折、左锁骨骨折、左肩胛骨骨折、左侧部分肋骨骨折、左侧顶部头皮下血肿,右侧硬膜下积液入院后骨科给予全麻下股骨髁间骨折切开复位钢板螺丝钉内固定术和锁骨骨折切开复位内固定术。无独有偶,血透9年72岁老太太,洗澡时不慎摔倒,造成左下肢和左侧锁骨骨折,骨科给予手术治疗

  

  (股骨骨折术前)

  慢性肾脏病尤其是透析患者,随着肾功能减弱,往往合并矿物质代谢紊乱和骨结构改变,骨折发病率增加。eGFR<15ml/min的患者骨折风险较eGFR>60ml/min的慢性肾脏病患者高5倍,年龄>65岁骨折风险更高。DOPPS研究报道血透患者髋关节骨折发病率是普通人群4倍,女性是男性的2倍,死亡风险增加3.7倍。

  

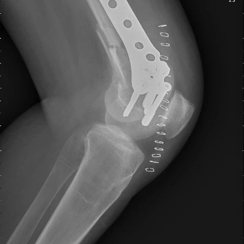
  (股骨骨折术后)

  高磷、继发性甲状旁腺功能亢进、代谢性中毒、成纤维细胞生长因子23(FGF-23)升高等因素导致慢性肾脏病患者骨折风险增加。若患者有高龄、肌肉减少症低体重、营养不良、低蛋白、严重贫血、糖尿病、身体虚弱、维生素D缺乏活动量不足等危险因素,跌倒和骨折风险更大。另外,如果服用糖皮质激素、骨密度低、有骨折病史、髋关节骨折家族史、类风湿关节炎、抽烟、过量饮酒、骨关节,骨折的风险会更高

  

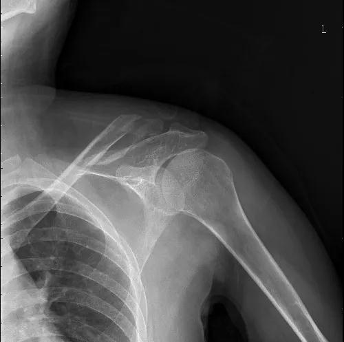
  (锁骨骨折术前)

  普通人群双能X线吸收法测定的骨密度降低与骨折风险增加相关,发生骨折的慢性肾脏病患者骨密度,但终末期肾脏病尤其是透析患者,骨密度预测骨折的风险还缺乏相应的研究。

  

  (锁骨骨折术后

  研究发现活性维生素D增加肌力和神经肌肉协调性,降低跌倒风险;拟钙剂西那卡塞降低骨折发生率特立帕肽可用于老年骨质疏松的治疗,改善甲状旁腺切除术后的低iPTH低转运性骨病双磷酸盐可用于原发性骨质疏松治疗,但在透析人群缺乏有效证据。

  

  慢性肾脏病患者骨折发生风险高,重风险评估需要综合管理包括纠正矿物质代谢紊乱,治疗继发性甲状旁腺功能亢进,降低高血磷和高甲状旁腺素,减少骨皮质流失,增加肌肉含量,日常注意防护,预防骨折的发生