科室动态

您现在的位置: 首页 - 科室导航 - 内科部 - 神经内科 - 科室动态

北京清华长庚医院神经内科连续开展多例颅内支架植入手术

北京清华长庚医院6月21日电(神经内科 王也)近日,北京清华长庚医院神经内科王也副主任医师成功开展多例颅内支架植入手术,为多例脑梗死患者解除了病痛,也开启了长庚神经颅内介入精准诊疗的新时代。

      颅内动脉狭窄是引发缺血性卒中的关键原因之一,尤其是在大脑中动脉和基底动脉狭窄等介入治疗更是极为复杂困难。大脑中动脉承担着超过80%的大脑组织血液供应,地位举足轻重。一旦发生堵塞或重度狭窄,大脑将迅速陷入缺血危机。然而,其周边布满了如毛细血管般的穿支动脉,这些细小血管为关键脑区输送养分。在进行支架植入手术时,哪怕是极其细微的操作,如导丝输送的角度、球囊的扩张、支架的角度以及输送时的轻微触碰,都有可能挤压损伤穿支动脉。一旦穿支动脉受损,对应的脑区便会瞬间缺血“罢工”,偏瘫、失语等严重后果将接踵而至,极大地影响患者的生活质量。基底动脉则紧贴人体的生命中枢——脑干,呼吸、心跳、消化等基础生命活动都由脑干掌控。基底动脉的血管壁薄且弹性差,周围同样环绕着大量穿支动脉,这些穿支负责为脑干供血,一旦穿支受到影响,后果不堪设想。因此,在这两个部位进行介入治疗,对医生的技术和心理素质都有着极高的要求,每一个操作步骤都容不得半点差错。



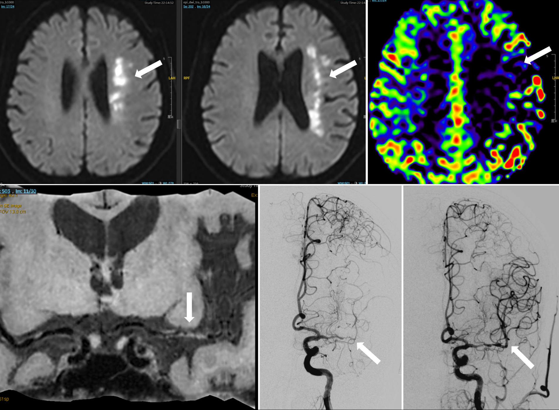
如图可见左侧半球患者脑梗死部位,左侧半球低灌注,左侧大脑中对面极重度狭窄,病变处为长节段斑块。术后通过支架治疗脑血管完全恢复。


      对于脑梗死患者而言,如果在采取最优化药物治疗后,仍存在梗死风险,全麻下的支架治疗则成为了一种有效的治疗选择。特别是对于极重度狭窄病变,手术难度更是呈几何倍数增加。在这类手术中,医生首先需要在复杂的血管结构中寻找真实管腔,这犹如在迷宫中寻找出口,需要医生具备丰富的经验和敏锐的观察力。找到管腔后,再小心翼翼地进行球囊扩张,开辟出一条通道,这个过程就像是在薄冰上行走,稍有不慎就会引发严重后果。只有在通道成功开辟后,才能植入支架,打开血液流通的“隧道”。整个过程是在亚毫米级的精度下进行的,每一个操作都需要术者具备成熟的操作技术和冷静的判断能力,任何一个微小的失误都可能导致手术失败,给患者带来不可挽回的损失。



如图可见左侧基地动脉汇合椎动脉处重度狭窄,病变处为短节段斑块。术后通过支架治疗脑血管完全恢复。


      王也副主任医师及其团队在面对这些复杂手术时,展现出了非凡的实力和默契。他们连续完成多例此类高难度操作,并且无一人出现并发症,这一成果不仅体现了王也副主任医师个人精湛的医术,更反映出整个团队的合作无间和成熟度。在手术过程中,团队成员沈懿和徐文灯主治医师各司其职,密切配合。凭借其精湛的技术,精准地操作每一个步骤,确保患者在手术过程中的安全,正是这种团队成员之间的相互信任和默契配合,才使得这些高难度手术能够顺利完成。



如图可见右侧颈内动脉高颈段重度狭窄,术后通过支架治疗脑血管完全恢复。


      为了确保手术的成功,王也副主任医师及其团队在术前做了大量的准备工作。他们会对每一位患者的病情进行全面、细致的评估,结合患者的年龄、身体状况、血管病变程度等多方面因素,制定个性化的手术方案。在手术过程中,他们会运用先进的医疗设备,如颅内高分辨率核磁共振(HR-MRI)和数字减影血管造影(DSA)等,实时监测手术进展,确保每一个操作都准确无误。术后,他们还会对患者进行密切的观察和护理,及时发现并处理可能出现的并发症,为患者的康复提供全方位的保障。