科室动态

您现在的位置: 首页 - 科室导航 - 内科部 - 神经内科 - 科室动态

2023年“世界罕见病日”系列科普| (六)Wilson’s Disease(威尔逊病)

  北京清华长庚医院3月2日电(神经内科 沈懿 张小峰)
  一、疾病介绍

  威尔逊病(Wilson's Disease, WD)由英国医生Wilson在1912年首次报道,因此得名。该病又称肝豆状核变性(Hepatolenticular Degeneration,HLD),是一种常染色体隐性铜代谢障碍病。该病的致病基因是ATP7B,其突变导致铜从肝脏向胆汁转运减少,过量的铜沉积在肝脏导致肝细胞损伤,铜释放入血沉积在脑、角膜、肾等肝外组织,出现相应器官的临床症状。

  WD存在于各种族人群及各年龄段,以儿童及青少年多见,多在5-35岁确诊,男性和女性发病率相当。据统计,该病的全球发病率约为1/30000,人群中ATP7B致病基因携带者比例为1/90。

  二、主要症状

  所谓肝豆状核变性,顾名思义,该病主要损伤肝脏与脑部的豆状核,出现肝硬化与神经精神症状。此外,还可以累及眼部、肾脏、血液系统。

  1.肝脏损伤:轻者可以无症状,仅表现为转氨酶增高、肝肿大或脂肪肝;重者可以出现急慢性肝炎、肝硬化、肝功能衰竭,危及生命。

  2.神经系统症状:豆状核位于大脑基底节区域,属于锥体外系结构,主管运动协调。此部位损伤时,患者可以出现类似“帕金森病”的表现,如运动迟缓、肢体僵硬、手抖、说话含糊不清等,也可以出现类似“亨廷顿舞蹈病”的表现,如手舞足蹈、肢体痉挛等。

  3.精神症状:是WD的常见表现,甚至可以早于肝脏损伤和神经系统症状之前出现,但易被忽略。常见的精神症状包括抑郁、性格改变、行为不当和易激惹等。

  4.眼部症状:铜沉积于角膜后弹力层时可以形成一圈暗棕色环,称为“K-F环”,是该病的特征性表现。K-F环可见于90%以上的有神经系统受累的WD患者,所以它的出现也可以反映出铜在中枢神经系统的蓄积程度。

  5.其它症状:铜离子蓄积会损伤红细胞膜,发生Coombs阴性的溶血性贫血;过多的铜离子还会引起肾小管损伤等。

  三、疾病诊断

  WD的诊断主要依据铜代谢检查、眼裂隙灯检查、头颅影像学和基因诊断。

  1.铜代谢检查:血清铜蓝蛋白浓度减低、血清铜水平下降及24小时尿铜排泄量升高,是反映铜代谢异常的3项重要指标。

  2.眼裂隙灯检查:用以识别患者有无K-F环。

   

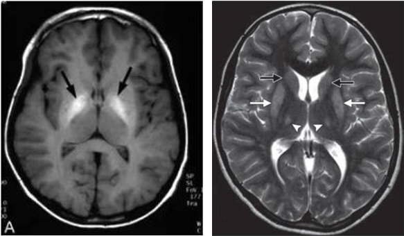
  3.头颅影像学:头颅磁共振检查可以看到双侧对称分布的位于豆状核、基底节的病灶。

  

  4.基因检测:WD的致病基因为ATP7B,但目前已知的致病突变位点有近800个!当临床高度怀疑该病、但通过上述检查仍无法确诊时,可考虑完善ATP7B基因检测。

  四、治疗方法

  WD是一种可治的疾病,祛铜药物是针对WD的特效治疗方法,但需早期启动、终生维持治疗,避免疾病进展为晚期不可逆转。

  1.生活方式:应避免使用铜制餐具以及避免食用富含铜的食物,尤其是贝类、坚果、巧克力、蘑菇和内脏等等,维持低铜饮食

  2.药物治疗:WD患者需要终生使用强效螯合剂清除体内的铜,例如青霉胺、四流钼酸铵、曲恩汀及口服锌等等。启动治疗后需警惕神经精神症状的恶化,通常需要半年至5年较高剂量治疗后过渡至低剂量维持。

  3.手术治疗:出现急性肝衰竭和药物治疗无效的失代偿肝硬化患者应尽早评估行肝移植术。植入的正常肝可以为患者提供正常的ATP7B蛋白,因此肝移植可根治WD,移植后患者不再需要针对WD的祛铜治疗。

  五、预后情况

  若在疾病早期就积极治疗,WD患者的神经精神症状与肝脏生化异常常可恢复,预后可以比较好,因此强调早诊早治

  已确诊WD的患者,其一级亲属(兄弟姐妹与子女)也应筛查该病,尽早确诊。