科室动态

您现在的位置: 首页 - 科室导航 - 内科部 - 神经内科 - 科室动态

一场向脑血管“禁区”发起的挑战 ——神经内科成功完成一例椎-基底动脉汇合部支架植入手术

  北京清华长庚医院7月25日电(神经内科 张小峰、赵心怡)近些天,老吴(化名)又来神经内科门诊报到了。就在1周前,他刚经历了一场深入脑血管“禁区”的手术,这是他出院后的第一次复诊,老吴说必须亲自过来向张小峰大夫道一声感谢。

  时间倒回到2个月前的某个下午,老吴眼前的房子突然开始“转了”(即眩晕),同时还出现了说话不利索、右侧手脚不灵活的症状,头颅磁共振检查发现左侧枕叶脑梗死,完善脑血管评估提示左侧椎动脉V4段及基底动脉汇合部重度狭窄合并不稳定斑块(图1)。经过急性期输液支持及口服药物治疗后,老吴的这些症状基本完全缓解了,但椎-基底动脉汇合部的血管病变尚未解除,这可是一颗能够导致卒中再发的定时炸弹,我们强烈建议老吴在脑梗死病情平稳后择期处理病变血管。

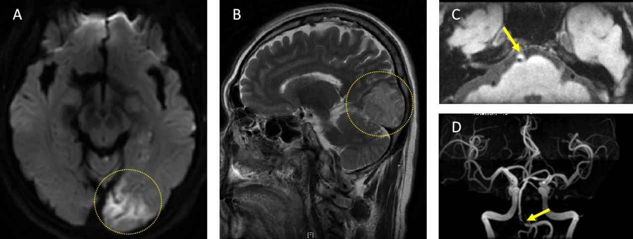
  图1:A. 头颅核磁平扫DWI序列轴位相可见左侧枕叶新发梗死病灶 B. 头颅核磁平扫T2-Flair序列矢状位相亦可见枕叶梗死病灶 C. 头颅MRA高分辨序列可见椎-基底动脉汇合部不稳定斑块形成 D. 头颅MRA可见椎动脉V4段—基底动脉起始段重度狭窄

  基底动脉支架植入手术被列为神经介入领域高难度复杂手术之一,其原因是基底动脉负责供应人体“生命中枢”的血供,即脑干、小脑和部分大脑半球等区域,因此也被称为“生命动脉”。除了它不可替代的重要作用之外,基底动脉管径长、分支多,支架植入后一旦出现栓子脱落、支架内血栓形成、再通失败等情况,都有可能造成致命的后果,正因如此,基底动脉手术通常让神经介入医生望而却步、不敢冒险。

  1周前,老吴如约而至,在出院的这段时间里他规律用药,没有出现脑缺血发作。再次入院后,在武剑主任的组织下,神经内科介入团队张小峰、徐文灯医师就患者的临床特点及影像学表现展开讨论,并一致决定向脑血管“禁区”发起挑战,我们的计划也得到了患者和家属的同意和充分认可。

  手术在全麻状态下进行。麻醉成功后,张小峰医师首先在患者椎-基底动脉汇合部进行球囊导管预扩,随后进行支架植入,复查造影提示汇合部狭窄明显改善,椎-基底动脉显影良好,整个介入手术过程仅用了15分钟(图2)!手术过程顺利,患者麻醉苏醒后没有出现头痛、恶心、呕吐等高灌注,术后第2天即康复出院,这不,术后1周他来门诊复诊了。

  图2:术前DSA提示椎动脉V4段—基底动脉起始段重度狭窄,术后复查造影见病变处血流明显改善

  我们有足够的理由相信,这次的血管成形手术将会大大降低患者的远期卒中发生风险。同时,这例手术是介入团队技术上的一次重大突破。目前,神经中心介入团队可独立开展包括超急性期取栓、慢性颈内动脉闭塞再通、颅内动脉支架植入、脑动脉瘤栓塞在内的多项高难度介入手术,向脑血管“禁区”的成功探索标志着团队向国内超一流神经介入中心又前进了一大步。