科室动态

您现在的位置: 首页 - 科室导航 - 内科部 - 神经内科 - 科室动态

共克世界难题,勇攀技术高峰——神经中心内外结合完成具有国际水准的颈动脉闭塞再通杂交手术

  北京清华长庚医院6月29日电(神经内科 赵心怡)2022年5月,神经内科接诊了一位复杂血管病变患者,这位年逾半百的老先生与清华长庚医院的“缘分”要从2018年说起。

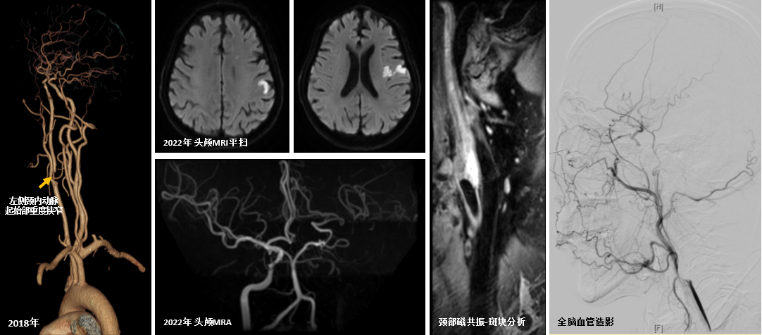
  那年,因一次骑行事故,患者被转运到我院并诊断为蛛网膜下腔出血,排查颅内出血原因的过程中意外发现左侧颈内动脉起始部重度狭窄。在颅内出血病情平稳后,患者开始口服脑血管病一级预防药物。然而,规律的药物治疗并没有扼住血管病变加重的步伐,按时体检发现颈部斑块竟逐年增大,终于在2个月前,患者脑梗了!当我们探寻脑梗原因时,很遗憾地发现患者左侧颈内动脉从起始部开始全程闭塞,管腔内出血性斑块印证了患者本次脑栓塞正是由于颈内动脉起始处不稳定的大斑块突然崩解碎裂所致(图1)。

  图1:2018年头颈CTA示左侧颈内动脉起始部重度狭窄。2022年3月头颅MRI-DWI序列示左侧颈内动脉供血区多发脑栓塞病灶,头颅MRA可见左侧颈内动脉全程闭塞,颈部斑块分析提示左侧颈内动脉起始部斑块内出血,全脑血管造影可见左侧颈内动脉闭塞,颅内段血流由颈外动脉向颅内代偿。

 

  向颅内供血的“源头”断了,怎么办?

  在保守药物治疗的基础上,我们第一时间组织了科内讨论,脑血管介入组一致认为患者有必要做全脑血管造影检查。造影结果同预想一致,患者左侧颈动脉管腔闭塞(图1)。但是好在,患者多年的颈动脉狭窄迫使颅内生成了良好的侧枝循环代偿,以保证颈内动脉的重要分支血供充足。然而侧枝毕竟不比主干,开通主干道,或许才是真正改善颅内血流、预防远期卒中的最佳选择。

 

  清源正本,困难重重,做是不做?

  长节段慢性血管闭塞再通是一项世界级难题。无论是单纯介入开通治疗,还是颈动脉内膜剥脱术联合介入开通的“杂交”治疗手段,都同样面临血管再通率低,再闭塞率极高,且术后可能出现脑栓塞、脑水肿等严重并发症,是一项高难度、高风险的挑战。我们告诉患者,等到脑梗死病情平稳后,我们一起努力共克难题。

  2个月后,我们再次见到这位老朋友,他非常坚定地告诉我们,他想要开通这条堵住的主干道。这个诉求令我们既欣喜又担忧,这道世界级难题,到底做是不做?为此,神经内科武剑主任先后组织了3次术前讨论(图2)。神经内科介入组负责人张小峰医师同神经外科郭毅、苏伟医师共同制定详细手术方案,决定采用颈动脉内膜剥脱术开通颅外段闭塞血管,剩余闭塞节段交由介入团队进行再通,备选治疗包括抽吸取栓、支架植入术、球囊扩张术等技术。我们同时邀请了麻醉科和重症医学科,就术中可能出现的新发脑栓塞、血管开通失败、支架内急性血栓形成以及术后脑过度灌注综合征、手术切口愈合不良等潜在并发症进行预案准备。我们反复向患者及家属沟通病情,他们坚定的态度再次给了我们强大的信心和支持。总而言之,我们决定并肩作战直面世界难题,攀登技术高峰。

  图2:武剑主任同神经内科张小峰医师、神经外科郭毅医师、苏伟医师床旁查看患者,并组织神经中心联合术前讨论

 

  万事俱备,终于到了手术日。

  2022年6月10日,手术日。神经外科郭毅、范玉龙医师顺利完成左侧颈动脉内膜剥脱,在颈动脉切口处,由张小峰、苏伟、王也、徐文灯医师组成的介入团队,继续开通闭塞段。剩余闭塞段斑块又长又硬,给介入团队很大考验,最终通过抽吸取栓、球囊扩张、支架植入等多项技术的综合运用,颈动脉血流最终恢复通畅,颅内血管终于完整显影,呈现出正常血流频谱,正可谓应了那句“问渠那得清如许,为有源头活水来”。术中采用的脑血流监测技术、电生理脑电、脑氧监测等全方位多模态监护也为手术顺利保驾护航(图3)。血管再通成功,但远远不到可以庆祝的时候。术后,患者全麻状态下返回重症监护室,次日苏醒。在严格的动脉血压监测及管理下,患者未出现头痛、恶心、呕吐等脑过度灌注症状,亦未出现脑栓塞相关的新发症状体征。颈部手术切口顺利拆线,切口愈合良好。术前所担心的并发症都没有出现。更可喜的是,术后复查的头颅影像学发现左侧大脑半球灌注比术前有了改善(图4)!

  图3:术中采用的脑血流监测技术、电生理脑电、脑氧监测等全方位多模态监护也为手术顺利保驾护航

  图4:神经外科医师完成颈动脉内膜剥脱,后介入团队继续开通剩余血管,复查造影颈内动脉血流恢复通畅,术后复查头颅影像学提示左侧大脑半球灌注比术前改善。

 

  2022年6月17日,老先生顺利出院。这是神经中心内外科联合实现的一次重要技术突破。长节段慢性颈内动脉闭塞病变的再通治疗是一项世界级难度手术,神经中心迎难而上,不仅成功实现闭塞血管再通,为患者远期生活质量提供重要保障,同时也为我院后续开展慢性颅内动脉闭塞再通治疗贡献宝贵经验,相信神经中心内外科强大的技术保障及多学科之间的互相合作支持会在不远的将来给更多脑血管病患者带去福音和希望。

  图5 神经中心内外科团队在手术间留下宝贵合影