科室动态

您现在的位置: 首页 - 科室导航 - 内科部 - 神经内科 - 科室动态

神经中心成功开展基底动脉非急性闭塞再通术

  北京清华长庚医院6月5日电(神经内科 张小峰)5月21日我院神经中心介入团队成功开展首例基底动脉非急性闭塞再通术并获得成功。

术者张小峰、沈懿在手术中

  颅内基底动脉是人类最重要血管之一,是脑干的供血动脉,脑干又是生命中枢所在地,这里被称为生命的禁区,基底动脉穿支多且细小,每一个穿支都有重要的作用。基底动脉非急性闭塞是后循环梗死的重要因素,患者一旦发生脑梗死,会产生严重神经功能障碍,如吞咽困难,言语不清、肢体瘫痪、植物状态,甚至死亡。而基底动脉再通手术复杂且风险极高,术中容易出现夹层、穿支闭塞、血管破裂、斑块脱落堵塞分支,产生灾难性后果,因此基底动脉再通术技术无论在技术上还是治疗决策上均是介入治疗的难点。随着神经介入技术和材料的发展,神经介入医师逐渐尝试行颅内大血管闭塞再通,此类手术在国际上仅有少数国家报道,在国内仅有天坛、宣武、长海等大的脑血管病中心刚刚开展此类手术。

  近日,患者因一过性意识模糊2月在清华长庚医院神经内科住院治疗,检查发现基底动脉近端闭塞,患者药物治疗后,仍有头晕等发作,与患者基底动脉闭塞造成后循环低灌注有关。

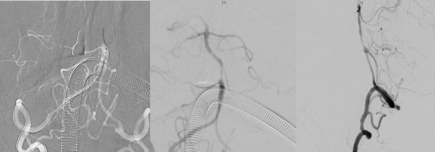
头颅CTA及DSA   脑血管造影显影基底动脉闭塞(箭头所指)

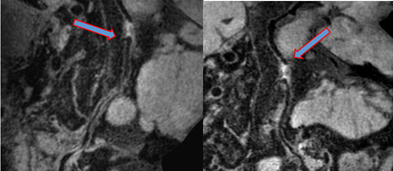
头颅HR--MRA检查,见闭塞段近端远端均有重要分支(箭头所指)

  神经中心武剑主任带领团队深入分析及研究病情,充分细致评估,如脑动脉造影术、高分辨率核磁共振等检查,结果发现闭塞处远近端边缘有重要分支发出,这种分支均有重要功能,一旦闭塞会并发严重神经功能障碍。特别是在术中球囊扩张时,既要扩出通道亦不能因扩张产生“雪犁”现象堵塞分支,这进一步增加了手术难度及风险,介入团队武剑、冯新红、张小峰、付伟、王也、沈懿等人多次讨论手术方案及围手术期管理,制定了多套方案及可能出现并发症等应对措施,最终介入团队在武剑主任带领下,决定给予患者行基底动脉再通术。手术由张小峰主刀沈懿助手共同完成。

介入手术过程,导丝通过,最终血管成功再通。

  最终,患者血管成功再通,且未有任何并发症发生,5天后患者完全康复出院。

  我院神经中心武剑主任的带领下,神经介入团队、放射影像中心、麻醉科、检验科的团队密切协助,目前已成熟开展颅内外血管成型术、动脉瘤填塞术、急性颅内外大动脉闭塞血管重建术、非急性期颅内动脉闭塞再通术。为北京地区广大脑血管病患者更好地保驾护航。