科室动态

您现在的位置: 首页 - 科室导航 - 内科部 - 神经内科 - 科室动态

国际罕见病日之际神经中心诊断一例罕见疾病:CLIPPERS综合征

  北京清华长庚医院3月4日电(神经内科 冯新红、武剑)每年2月的最后一天是“国际罕见病日”,罕见病(rare disease)是指流行率很低、很少见的疾病,一般为慢性、严重性疾病,常危及生命。根据世界卫生组织(WHO)的定义,患病人数占总人口数的0.65‰~1‰的疾病统称为罕见病。目前全球确定的罕见病有近7000种,约占人类全部疾病的10%。据估计,当前我国罕见病患者的数量已达2000万人。2019年2月27日由中国罕见病联盟和北京协和医院牵头编写的《罕见病诊疗指南(2019年版)》在京发布,指南详细阐述了121种罕见病的定义、病因和流行病学、临床表现、辅助检查、诊断、鉴别诊断和治疗,在每一种罕见病的最后提出了诊疗流程,用清晰的流程图形式向读者展现诊断流程和治疗原则。

  我院神经中心近期诊断了1例罕见疾病,张某某,女,60岁,2018年1月无诱因出现双上肢麻木无力,辗转北京多家著名医院就诊,曾被诊断颈椎病微创治疗,症状未缓解,此后在北京某家医院实验性抗结核治疗半年,出现严重的肝酶升高,肢体无力症状仍未见缓解,病情进行性加重,出现双下肢无力至不能独立行走,来我院神经内科就诊。患者住院后,经系统检查诊断考虑为“CLIPPERS综合征”的可能。

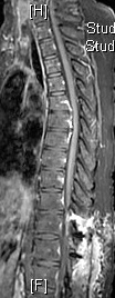
  CLIPPERS综合征全称“类固醇激素反应性慢性淋巴细胞性炎症伴脑桥血管周围强化症”,是指在脑桥、中脑及小脑血管周围以淋巴细胞浸润为主、对类固醇激素治疗有效的慢性炎性疾病。该综合征由Pittock等于2010年首次报道,目前世界各地共报道100多例,国内报道不超过20例。其典型的头颅MRI增强检查示脑桥血管周围呈“胡椒粉”样斑点状强化病灶。本例患者MRI图像,与经典的CLIPPERS综合征影像不符合,强化灶并非以脑桥最密集,而是脊髓更显著,并且累及脊髓全长达腰膨大,双侧基底节脑室旁多发病灶,而且患者颅内受损的症状并不明显,这与文献报道的典型的CLIPPERS综合征并不符合。

     

治疗前                         治疗后

  目前CLIPPERS综合征尚无明确的诊断标准,较认可的诊断符合项包括:(1)脑干及小脑症状(如共济失调、头晕、复视及吞咽障碍等);(2)增强MRI特征性“胡椒粉”样病变,主要位于桥脑;(3)脑活检提示淋巴细胞浸润血管周围;(4)激素冲击治疗快速有效。血清学和脑脊液实验室检查均无特异性的指标,对于复杂疑惑的病例,最终都是依靠活检病理组织检查确诊。

  本例患者颅内病灶散发,脑活检的成功率可能不高,神经中心武剑主任和王贵怀主任对患者进行了详细的评估,经与患者家属充分沟通后,成功对该例患者进行了脊髓活检,手术顺利完成,术后患者无不适反应,病理结果回报符合典型的CLIPPERS综合征的表现,可除外脊髓结核、肿瘤等。至此该患者诊断CLIPPERS综合征明确,给与足量的激素冲击治疗后患者的临床症状明显缓解,复查MRI提示颅脑和全脊髓异常强化病变明显减少,并且强化程度减低,患者可独自站立,脊髓活检处手术切口愈合好。目前患者仍在密切门诊随访中。

  本例患者是目前文献报道的国际和国内首例脊髓活检确诊的CLIPPERS综合征的病例,对于全面认识该疾病具有一定的意义。该例患者的成功诊治体现来我院神经中心对于疑难复杂罕见神经系统疾病的综合救治能力,自开院以来,神经中心的疾病救治谱逐渐扩大,除了常见脑血管病外,神经炎症、神经肿瘤、神经变性病、神经肌肉病等罕见病种类不断被刷新。