科室动态

您现在的位置: 首页 - 科室导航 - 内科部 - 神经内科 - 科室动态

脑血管病科普防治系列2:脑血管病防治常见误区-你中招了么?

  1早上起床洗漱时发现一侧嘴歪了,是得了脑卒中吗?

  很多患者在洗漱时突然发现自己一侧嘴歪了,或者嘴角漏水,眼睛闭不上,非常恐惧,担心自己不幸患了脑卒中。其实绝大部分此种情况与脑卒中没有关系,而是患了面神经炎。面神经炎是指一侧走行在面神经管内的面神经发生了非特异性炎症,导致面神经损伤,从而出现了该侧面神经支配的面部表情肌瘫痪等一组临床征候群。往往发病前有风吹、着凉或病毒感染前驱史。面神经炎不像脑卒中好发于中老年人,而是各个年龄段均可以发病。最关键之处是面神经炎所致的是周围性面瘫(除口角歪斜、一侧鼓腮漏气、鼻唇沟变浅外,还有同侧闭目不全以及同侧额纹变浅),而脑卒中所致面瘫则大多是中枢性面瘫(仅口角歪斜,一侧鼓腮漏气、鼻唇沟变浅)。诊断面神经炎并不难,主要依靠病史及查体,并和继发性因素鉴别。治疗主要是短期激素的应用,其次是神经营养药物,抗病毒药,约7-10天后可以配合针灸治疗。一般来说,若年轻患者,无糖尿病病史,耳后疼痛不重,不伴有病毒感染,治疗又及时的话,面瘫的恢复比较好,两到三周后即开始逐渐恢复。如果大家自查判断得了面神经炎也不用过度担心,北京清华长庚医院神经内科面神经联合诊疗中心具备专业的多学科专家团队,可提供系统规范化的诊疗服务。

  2 春秋输液预防脑血栓?

  随着天气转凉,心脑血管病的高发季节也随之到来。出于对脑梗死所致瘫痪的担心,近期在门急诊又迎来一波老年患者,要求“通血管”。那么这种“春秋输液预防脑血管病”到底有没有科学依据哪?实际上,无论是缺血性脑血管病预防的指南还是临床实践过程中,都没有提到输液预防脑梗的证据。有些长期慢性头晕的患者反映,确实输液后觉得脑子也清楚了,头也不晕了,仍然觉得有效,基于此,仍对输液乐此不疲,殊不知,也有在输液过程中再发脑梗的。国内目前输液药物通常是中成药提取剂,如血栓通、血塞通、银杏叶制剂等,作用相似,主要在于改善血液流变学,以活血化瘀、减轻血液黏稠度为主。个别药物有轻微抗血小板聚集的作用,但作用非常有限。从医学道理分析,这类中成药对改善脑供血有一定作用,如果患者有头晕、偏身麻木症状,输液对改善供血有一定帮助,头晕症状会随之减轻,但对预防脑卒中起不到有效作用。此外,输液还增加了发生感染和输液反应等 (如发热、肺水肿、静脉炎、空气栓塞等)机会。从脑血管病一级和二级预防的角度来讲,脑血管病预防仍以控制相关的危险因素(如高血压、糖尿病、高脂血症、吸烟、饮酒等)入手,根据不同的脑血管病风险,选择合理的二级预防方案。想通过短期的几次输液是起不到预防作用的。总之,如无症状不建议把春秋季的输液作为常规,脑血管病预防仍以规范用药为首要措施。

  3 脑梗治好出院就不用吃药了?

  很多卒中患者,尤其是症状比较轻的患者急性期出院后不再口服脑血管病预防药物,觉得“我已经好了,还需要再长期吃药么?是药三分毒,长期吃药会不会对我的肝肾功能造成损害?”脑梗死不同于普通的感冒、发烧,痊愈后不再需要长期服用,而脑梗死后的坚持抗血小板治疗等我们称为脑血管病的二级预防,所谓二级预防,就是发病以后预防再次脑梗死的发生,医生处方的嘱托需要长期吃的药也是基于再发风险评估后的决策。抗血小板药物的应用确实存在一些弊端,如潜在的出血风险,但任何治疗均是在权衡利弊后的综合考量。如果在服药过程中出现一些不良反应需要及时和医师沟通,万万不可私自停药,也不可出现不良反应后坚持服药,与医生的及时沟通可根据情况个体化调整治疗方案。就像高血压的治疗一样,需要根据每个人的血压控制水平调整用药,而不是一经诊断高血压就长期吃一种药。

  4 既然血脂是导致动脉粥样硬化的罪魁祸首,那么血脂是不是降得越低越好?

  现在已经有越来越多的人认识到高血脂的危害,血脂增高可以引起很多疾病。有患者认为血脂本身是有害的,所以血脂降得越低越好。实际上,这种认识是错误的,血脂在维持人体正常生理活动中发挥着重要作用。如甘油三酯主要参与人体能量代谢,可以释放大量能量维持机体活动所需;胆固醇是构成细胞膜的主要成分,同时也是合成某些维生素、激素和胆酸的重要原料。所以在保证正常的生理功能基础上,可以考虑把血脂水平降得低一些。而对一些高危人群,如急性心肌梗死,冠心病合并糖尿病等人群,未来再发心血管病的风险特别大,应该严格控制血脂,对于这些人群,应该使用强效他汀类药物使低密度脂蛋白胆固醇尽可能降低,一方面为了延缓动脉粥样硬化进展,另一方面他汀类可以稳定斑块减少炎症反应,最终降低心血管事件的风险。

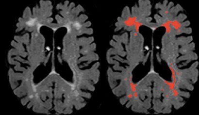
  5脑白质脱髓鞘改变是不是就是老年痴呆的先兆?

  很多老年人会有这样的经历,因为头痛、头晕或其它症状去医院看病,做了头CT或者核磁(MRI),报告单上显示脑白质脱髓鞘改变,或者脑白质变性,多发腔隙性脑梗死等。很多人心中会有疑虑,这些到底是怎么形成的哪?是不是脑白质病变,医生所说的哪些小点点就是老年痴呆的前兆啊?我这就已经是脑梗死了么?是不是需要住院检查?其实影像上看到的是多种病因导致的结果,如长期高血压、糖尿病等危险因素或脑小血管病等导致的脑白质病变,区别于原发性的中枢神经系统脱髓鞘病,研究表明,部分脑白质病变与认知障碍存在一定的相关性,但并不是绝对会发展为痴呆。而腔隙性脑梗死属于脑梗死的一种特殊类型,多是高血压小动脉硬化引起的微梗死,少数病例可能由动脉粥样硬化导致的微栓塞引起。梗死灶的直径多为0.2-15mm,当坏死组织被消除后残留小囊腔。腔隙性脑梗死的症状取决于梗塞部位,表现为腔隙综合征,临床常见的包括:纯运动性轻偏瘫、构音障碍-手笨拙综合征、纯感觉性卒中和共济失调性轻偏瘫等。也有相当患者并无临床症状,往往由CT或MRI检查发现。

  

 核磁显示的脑白质病变

  6 医生说我得了脑动脉瘤,是脑子里长了肿瘤么?

  脑动脉瘤是一种血管畸形,为发生在颅内动脉管壁上的异常膨出,临床上是造成蛛网膜下腔出血的首位病因。根据病因可分为先天性动脉瘤、感染性动脉瘤、外伤性动脉瘤和动脉硬化性动脉瘤;也可根据形态分为囊性动脉瘤、梭形动脉瘤、夹层动脉瘤、不规则形动脉瘤。动脉瘤区别于颅内肿瘤,颅内肿瘤是起源于神经元及胶质细胞的异常增殖样的肿瘤病变,影像上多为脑实质的团块状或片状异常信号,以头痛、恶心、呕吐等高颅压症状或肢体麻木、无力、视野缺损等局灶性神经系统定位体征为首发表现。脑动脉瘤部分患者无明显症状,或可表现为轻微的头痛,其所致蛛网膜下腔出血多表现为剧烈头痛,意识障碍,病情凶险,部分患者可有家族史。