科室动态

您现在的位置: 首页 - 科室导航 - 内科部 - 神经内科 - 科室动态

神经内外联合,搭建卒中通道

  清华长庚医院3月17日电(神经内科 魏宸铭)3月14日上午11:00一位73岁的老先生乘车时突发意识不清,摔倒。在场的公交司机和乘务员立即拨打120,在患者发病30分钟后送至北京清华长庚医院急诊部。

  我院急诊部神经内科魏宸铭医师接诊后立即评估患者神经系统症状及体征,发现患者意识障碍,右侧肢体偏瘫伴言语困难,NIHSS评分达21分,病情危重,而且很可能是急性脑血管病。更棘手的是,患者由热心的公交工作人员和120急救人员送来,没有家人,没有身份证件及现金。但患者病情紧急,刻不容缓,我院急诊的医护团队立即接诊并与医政组工作人员取得联系,为患者开通了紧急医疗通道,及时给予相关医疗救治。在急诊医护人员和放射科医师的协助下患者在第一时间完成了头颅CT,证实为急性脑梗死。

  患者在发生脑梗死3小时内到达医院,处理及时,接下来能否给予静脉溶栓甚至后续的血管内治疗,成为决定患者预后的重要因素。为了最大限度改善患者预后,我院急诊部神经内科医护人员立即启动卒中溶栓绿色通道。同时,神经内科李秀丽住院总医师迅速到场与魏宸铭医师一起处理患者、安排检查、联系家属,争分夺秒地保护患者卒中后的脑细胞。在患者到院30分钟时就基本完成溶栓前评估。与此同时,神经外科的苏伟医师也应邀迅速到场评估,与神经内科密切接洽,制定血管内治疗方案。

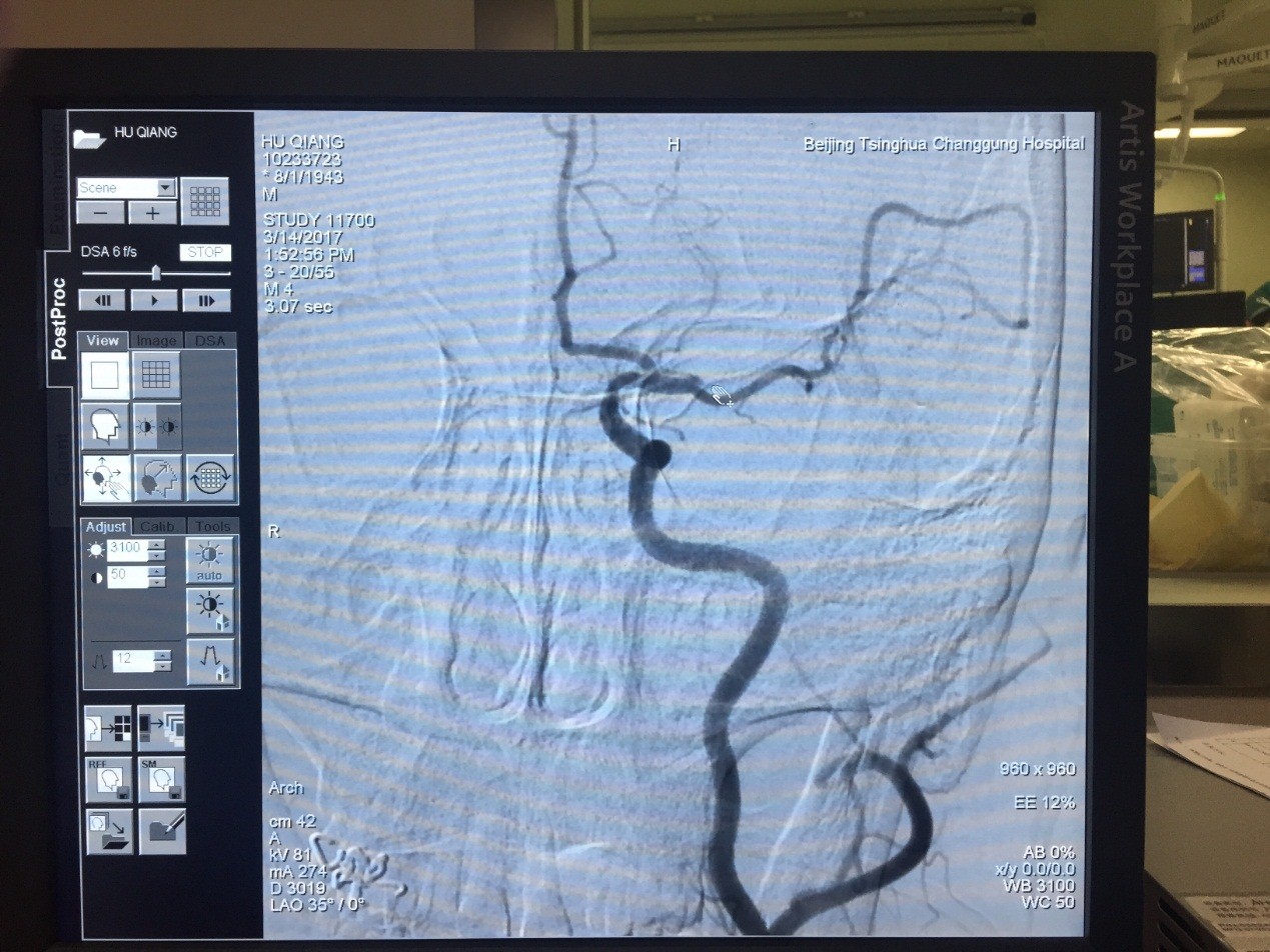
  神经内科与外科、急诊通力合作,在患者到院仅45分钟时就给予了静脉rt-PA治疗。随后神经内科李秀丽医师和魏宸铭医师密切注意患者病情变化,反复评价神经功能,发现患者静脉溶栓治疗后神经功能未获得显著恢复,遂立即转入神经外科介入手术室。神经外科苏伟医师等介入室医护人员再接再厉,手法娴熟,13:30接入患者,13:50完成DSA检查,证实患者为左侧大脑中动脉上干起始段闭塞,14:55完成动脉取栓治疗,患者血管再通。此时患者原本瘫痪的右手可以自行抬起并握拳了。

  从患者发病到入院,再到静脉溶栓,最后到动脉取手术成功,患者病情恢复,总共历时约4小时,这其中有热心的公交工作人员和120人员的帮助,有神经内外科大夫齐心协力的努力,也有急诊医护人员以及医政工作人员的密切协助,正是这环环相扣的勠力同心才最终挽救了患者,也建立了一条保障生命的绿色通道。

  如今,脑卒中已成为影响我国城镇居民健康的最主要疾病,其中以缺血性卒中更为常见,就是常说的脑梗死。对于急性脑梗死患者治疗最关键的时段为发病后4.5小时以内,此时能否及时给予静脉溶栓对于拯救缺血的脑细胞至关重要,同时,对于某些大动脉栓塞的病人,能否尽早开展如动脉取栓等血管内治疗也显著影响患者最终预后。

  为保证更多的患者在时间窗内获得更及时的救治,我院神经内科早在开科伊始就在我国脑血管病专家武剑主任的带领下建立了卒中溶栓绿色通道,为适合的患者提供连续、快速、标准化的急性卒中诊疗服务。同时,依托神经中心的基础平台,形成了神经内科和神经外科联合的卒中会诊、治疗机制,静脉溶栓与血管内治疗相辅相成,为早期卒中患者提供了双重的科学保障。作为卫计委的全国卒中示范基地之一,我院神经内科及外科有着丰富的卒中诊治经验和雄厚的设施基础,如今我院神经中心对时间窗内的缺血性卒中患者已形成了一套完整、高效、有序的诊疗体系,通过神经内外科各位医师的努力合作,时刻保障着这条大脑绿色通道的畅通无阻。

图为患者由急诊转入介入室行血管内治疗

图为患者DSA显示左侧大脑中动脉上干起始端闭塞