科室动态

您现在的位置: 首页 - 科室导航 - 内科部 - 呼吸与危重症医学科 - 科室动态

【七周年】“内外”联合 清华长庚成功治疗复杂肠瘘合并严重气管狭窄患者

  北京清华长庚医院11月23日电(通讯员 高博 庄卓男)来自山西的辛先生,今年因外伤在外院做胸腹联合手术后,腹部伤口愈合一直不良,需行肠瘘手术。然而因长期气管插管,瘢痕体质导致气管狭窄,肠瘘术中气道插管麻醉成了难题。经推荐来到清华大学附属北京清华长庚医院后,通过多学科联合,先由呼吸内科主任牟向东多次行气道扩张术,在气道能够耐受气管插管后,再由胃肠外科主任李元新为他做肠瘘手术,术后顺利出院。

  据牟向东介绍,气管狭窄多发生在颈部及胸部恶性肿瘤患者中,但对于瘢痕体质患者来说,由于长期异物刺激气道或气道外伤,也极易出现气管狭窄,患者会出现严重的呼吸困难,是一种严重的临床急危重症,常会导致患者死亡。

   

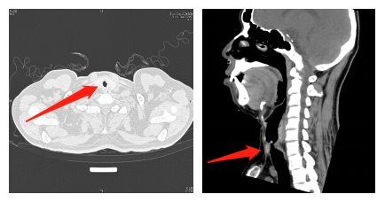
  患者入院胸部CT显示患者气管上段明显狭窄,如箭头所示

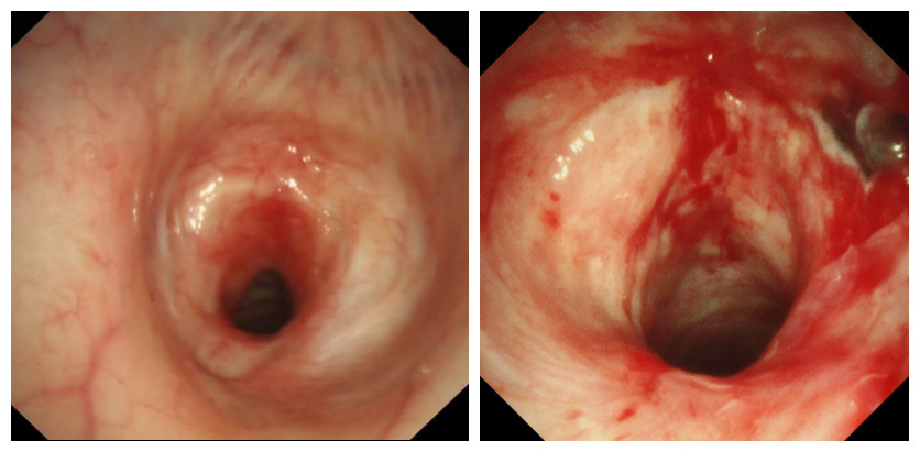
  支气管镜显示声门下气管狭窄处直径仅为5毫米左右。“严重复杂的气管狭窄治疗非常困难,需全面运用多种支气管镜介入治疗技术和手段,帮助他耐受长时间手术的气管插管麻醉。”牟向东说。结合患者的实际情况,牟向东决定用电子支气管镜球囊扩张及电烧冷冻治疗为他扩张气道。

    

  治疗前                                                 治疗后

  在手术室和麻醉科的配合下,麻醉医师采用喉罩气管插管建立麻醉下机械通气。牟向东在气管镜下应用Nd:YAG激光,由近及远逐渐烧灼消融气管内狭窄部分,间断应用“氩气刀”(APC)止血治疗,在应用冷冻探头清除气道内的坏死物后,使用气管球囊在气道内进行扩张。经过5次气道扩张后,患者气管管腔逐渐恢复通畅,为接下来的肠瘘手术麻醉打好了基础。

             

  腹部瘘口情况                                           造影提示瘘道  

  随后,李元新团队根据患者的肠瘘特点,制订了“切除肠瘘+吻合”的手术方案。顺利气管插管麻醉后,因为腹部外伤、既往手术史,导致患者腹腔致密粘连,李元新完全游离整个肠道,实施全消化道肠粘连松解术,进而切除肠瘘肠段并行肠吻合术,恢复消化道的连续性、完整性和功能性。同时,李元新还为患者实施了北京清华长庚医院胃肠外科的特色技术——小肠排列固定术,大大降低术后粘连肠梗阻发生几率。手术历时6小时顺利结束。术后辛先生恢复饮食,健康出院。(编辑 于悦超)

       

  术后辛先生的家属为牟向东、李元新团队送上锦旗