科室动态

您现在的位置: 首页 - 科室导航 - 内科部 - 呼吸与危重症医学科 - 科室动态

【七周年】多“管”齐下 清华长庚呼吸内科成功救治危重气道狭窄患者

  

  牟向东(右一)进行电子支气管镜介入治疗

  北京清华长庚医院11月17日电(通讯员 郭文佳 赵丽娜)天通苑社区居民刘先生近来呼吸愈加喘憋,为了呼吸顺畅,不得不日夜坐着或者半卧姿势。随着呼吸困难加重,家人赶紧带他到清华大学附属北京清华长庚医院呼吸与危重症医学科就诊,经科主任牟向东诊断患者系危重气道狭窄,收入院不到24小时,紧急协调多科室配合,完成全麻电子支气管镜介入治疗,让患者重新顺畅呼吸。

  

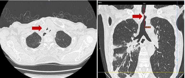
  胸部CT显示气管局部肿物,大气道狭窄最严重处(红色箭头处)仅4mm

  气管狭窄在颈部及胸部恶性肿瘤患者中很常见,由于恶性肿瘤生长速度快,常常侵犯气管导致复杂的气管狭窄,患者会出现较重的呼吸困难,是一种严重的临床急危重症,常会导致患者死亡。刘先生曾因食管癌进行过两次手术,影像结果显示食管癌转移到气管,导致气管管腔重度狭窄,最严重处直径仅4mm左右,狭窄段则长约3-4cm,气管镜下可见菜花样新生物的同时还伴有表面渗血、黏膜坏死,到院就诊时,已经出现了典型的“三凹征”,即吸气时胸骨上窝、锁骨上窝、肋间隙也出现了明显凹陷,提示刘先生严重呼吸困难。若不及时治疗,他随时可能因为痰堵窒息或呼吸衰竭导致生命意外。

  “严重复杂的气管狭窄,治疗极为困难,需要综合运用多种支气管镜介入治疗技术和手段。”牟向东说。 在认真研究影像与病例资料的基础上,牟向东快速决断,制订出综合运用激光、冷冻、支架置入、球囊扩张等多种呼吸内镜介入技术治疗方案。

  电子支气管镜检查显示气管上段新生物

  因为上段气道狭窄,无法运用常规气管插管呼吸支持,麻醉科主治医师武昊天采用喉罩气管插管建立麻醉下机械通气。牟向东在气管镜下应用Nd:YAG激光,由近及远逐渐烧灼消融气管内肿瘤,间断应用“氩气刀”(APC)止血治疗。在应用冷冻探头清除气道内的坏死物后,气管管腔逐渐扩大。之后牟向东经支气管镜置入气管内导丝并沿导丝放入气管支架,应用活检钳调整支架到合适位置。“放置后,气管支架受到肿瘤组织压迫变形,我们使用气管球囊在支架内进行扩张,支架完全张开后,气管管腔完全恢复通畅。”牟向东说。术后刘先生的喘憋症状得到了明显缓解,近日已康复出院。

  北京清华长庚医院呼吸与危重症医学科在牟向东的带领下,支气管镜下介入治疗技术得到了快速发展,常规开展无痛支气管镜、儿童支气管镜、气道异物取出、冷冻肺活检、冷冻治疗、氩气刀、激光消融、荧光支气管镜、超声支气管镜、导航支气管镜、气道球囊扩张、气管支架植入、活瓣肺减容、支气管瘘封堵、光动力、支气管镜下药物灌注等多种呼吸内镜检查和治疗方法,为气道狭窄患者的健康保驾护航。(编辑 于悦超)