科室动态

您现在的位置: 首页 - 科室导航 - 内科部 - 呼吸与危重症医学科 - 科室动态

全身+局部 介入+灌注,清华长庚呼吸科治愈顽疾“肺毛霉菌病”

  北京清华长庚医院9月6日电(呼吸与危重症医学科 郭文佳 赵景全

  毛霉菌—随着雨季到来,空气变得湿润,霉菌任意滋生。毛霉菌,又叫接合菌,普遍存在于自然界,可见于腐烂植被和土壤中,居家环境中的地下室、洗手间和厨房等阴暗潮湿处也经常可见。

  肺毛霉菌病一直是临床上非常棘手的难题,易导致致死性大咯血,多见于合并糖尿病、肿瘤、血液病、放化疗或器官移植的患者。对于白血病、器官移植以及粒细胞缺乏的患者,肺毛霉菌病往往进展迅速,一旦播散和进展,病死率可高达80-100%。

  清华长庚呼吸与危重症医学科在牟向东主任的带领下,创新采用全身+局部、介入+灌注疗法,在治疗肺毛霉菌病方面取得了非常好的疗效。近日,又成功治愈一例严重的肺毛霉菌病患者。

  病例分享

  患者,52岁男性,因发热、肺部感染,病情持续进展,外院无法确诊,进而来我院就诊。

  病史:入院前1个多月开始出现反复发热,体温波动在37.8℃-38.2℃,伴有畏寒、乏力,纳差。曾于外院完善一系列检查未发现明确致病菌,应用多种高级抗生素治疗效果不佳。既往急性髓系白血病6个月,曾行化疗4次及脐带血造血干细胞移植。吸烟史30年余,约20支/日,偶有饮酒。

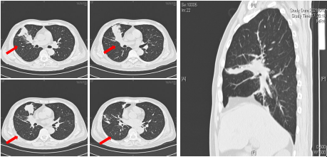
  入院后查外周血白细胞减少。胸部CT可见右肺中叶、下叶多发斑片和片状渗出实变影(图1)。

图1入院胸部CT可见右肺中叶和右肺下叶内基底段可见多发斑片和片状肺内渗出实变影(箭头所示)

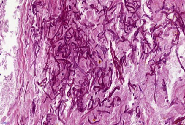
  入院后应用导航支气管镜和超声内镜等精准定位技术,于右上叶前段、右下叶内基底段取出脓栓,并行病理活检:病理可见坏死组织内大量毛霉菌菌丝,并可见菌丝侵袭血管(图2)。支气管肺泡灌洗液及脓栓二代基因测序(mNGS)显示为微小根毛霉。最终确定诊断为急性髓系白血病合并肺毛霉菌病。

图2病理显示坏死组织内大量毛霉菌菌丝,并可见菌丝侵袭血管(GMS染色及弹力纤维染色)

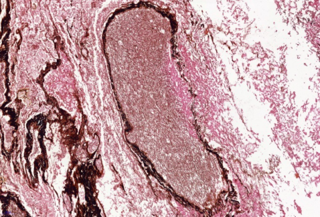
  确定诊断后,给予两性霉素B静脉滴注(50mg 每日一次)+雾化吸入(10mg 每日两次)+泊沙康唑(5ml 每日四次)抗真菌治疗。同时,于气管镜下多部位精准局部灌注两性霉素B治疗(10+15mg 每周一次)。并多次应用冷冻等介入方法清除支气管内脓栓(支气管管型,图3)。

图3应用冷冻等支气管镜介入技术取出脓栓,并应用两性霉素B进行局部灌注治疗

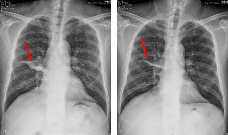
  1个月后,患者症状基本消失,复查胸片显示肺部病变较前明显吸收好转(图4)。出院后患者继续口服泊沙康唑,门诊随诊。

图4入院时胸片显示右肺病变;治疗1个月后复查胸片显示右肺病变明显吸收好转

  毛霉菌容易侵袭肺组织,导致肺组织大量坏死;侵袭支气管,导致气道阻塞;侵袭血管,可导致大咯血。并且由于毛霉菌的特殊病理改变,抗真菌药物往往无法到达病变的肺组织而发挥抗真菌作用。同时抗真菌药物全身副作用较大,患者往往难以耐受。因此,传统静脉给药的方式对于肺毛霉菌病往往疗效欠佳。

  牟向东在应用全身+局部治疗肺毛霉菌病的同时,联合气管镜下介入技术清除阻塞气道和血管的脓栓,并且在导航和超声定位下局部精准灌注两性霉素B,提高肺组织内的药物浓度,并减少全身用药带来不良反应的概率,得到显著的临床疗效,灌注后患者亦无明显不良反应。

  目前,科室已成熟开展导航支气管镜及介入等综合创新技术治疗数例难治性肺真菌感染的患者,均得到较满意的疗效,也为肺真菌病患者带来了福音。“类似本例患者的情况,对于合并全身基础病、免疫抑制状态的患者,若出现反复发热、肺部阴影且传统抗生素治疗效果不佳的情况下,需高度警惕肺真菌感染的可能,建议及时呼吸专科就诊进一步诊疗,以免耽误最佳治疗时机。”牟向东提醒道。

 

  参考文献

  1.牟向东, 蔡存良, 赵景全,等. 虚拟支气管镜导航下经支气管镜局部灌注两性霉素B治疗肺曲霉病一例[J]. 中华医学杂志, 2020, 100(30):2391-2392.

  2.张会娟, 牟向东, 尹洪芳,等. 经导航支气管镜局部灌注两性霉素B治愈肺毛霉病一例[J]. 中华结核和呼吸杂志, 2021, 44(08):733-735.

  3.Walsh T J, Mccarthy M,  Rosengart A, et al. Mold infections of the central nervous system.[J]. New England Journal of Medicine, 2014, 371(2):150-60. 

  4.Lin E , Moua T, Limper A H. Pulmonary mucormycosis: clinical features and outcomes[J]. Infection, 2017.

  5.Walsh T J,  Mccarthy M,  Rosengart A, et al. Mold infections of the central nervous system.[J]. New England Journal of Medicine, 2014, 371(2):150-60.

  6.牟向东, 王广发, 刁小莉, 等.肺毛霉菌病三例临床分析. 中华结核和呼吸杂志[J],2007, 30(11): 835-838.

  7.Mu XD, Wang GF. Bronchopulmonary zygomycosis. Respiration[J]. 2011; 82(4):386-7. PMID: 21734349

  8.牟向东. 接合菌病的诊断和治疗现状. 实用皮肤病学杂志[J], 2011,4(4): 193-197.