健康教育

您现在的位置: 首页 - 科室导航 - 内科部 - 呼吸与危重症医学科 - 健康教育

流感病毒肺炎是流感最重要的并发症之一,哪些诊断和治疗的规范必须掌握?

 

前言

(北京清华长庚医院   呼吸与危重症医学科  牟向东)昨天,国家卫健委接连发布两道通知部署流感防控工作,随着天气转冷,又一波流感爆发高峰期即将来临,我们需要严阵以待,也要认识到流感不是普通感冒,有可能引起严重的并发症,流感病毒肺炎是其中最重要的并发症之一,诊治不当,病死率很高……为此,清华大学附属北京清华长庚医院呼吸与危重症医学科牟向东主任和大家一起讨论一下流感病毒肺炎的诊断和治疗。

流感病毒肺炎的诊断和治疗?

 

  • 流感病毒的病原学和流行病学

 

流行性感冒(Influenza,简称流感)是由流感病毒(Influenza virus)感染引起的急性呼吸道传染病。流感病毒属于正黏病毒科,由于其抗原性变异较快,人类无法获得持久的免疫力,所以人群普遍易感,在人类的历史上曾经爆发过4次大流行。

 根据抗原性不同,流感病毒分为甲、乙、丙三型。甲型流感病毒又分成许多亚型,如H1N1、H3N2、H5N1和H7N9等。H5N1和H7N9禽流感病毒感染人类引起的病变较H1N1和H3N2更为严重,因此被称为高致病性禽流感病毒。

 

  • 流感病毒肺炎的临床表现

流感与普通感冒不同,其流行病学特点为突然暴发,迅速扩散,从而造成不同程度的流行。流感临床起病急,症状重,表现为高热、头痛、乏力、肌肉酸痛等全身中毒症状,呼吸道症状轻微或不明显,容易出现并发症。还可出现肺炎、脑炎、心肌炎、肌炎、急性心肌梗死等并发症。特别是流感病毒肺炎的发病率较高,是最常见的社区获得性病毒性肺炎,也成为该病高病死率的最大原因。流感病毒肺炎患者除存在典型的流感症状之外,最大的特点是合并明显的气短和呼吸困难。如果流感患者出现上述症状,应该立即行肺部影像学检查,以确定是否合并流感病毒肺炎

 

一般认为流感病毒感染具有自限性,病变仅限于上呼吸道上皮,累及下呼吸道及肺脏的情况较少。但是流感病毒感染可分泌一些有利于病原体繁殖的蛋白酶和细胞因子,呼吸道粘膜破坏特别显著,容易继发细菌感染。1918年流感大流行期间很多患者合并细菌性肺炎,尤其是重症患者。因此,当流感患者出现肺炎时,首先必须明确肺炎是由于病毒感染引起的,还是由细菌感染引起的,还是二者的同时感染。由于病原体不同,临床表现差异很大,治疗措施也有所不同。由流感病毒感染本身引起的肺炎,称为单纯性流感病毒肺炎。通常在2~3天典型的流感症状之后,全身状态急剧恶化,伴有明显的呼吸困难和气短。大多数患者出现低氧血症,可进展为严重的急性呼吸窘迫综合症(ARDS)。外周血白细胞和淋巴细胞计数减少,痰培养不能发现有意义的致病菌。

 

  • 流感病毒肺炎的影像学

 

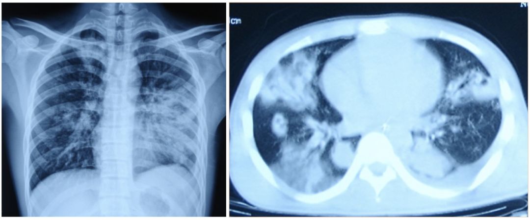
胸部X线特征性的改变是肺部出现磨玻璃样、线状或网状等间质性阴影,可累及双肺【图1】;一般没有所谓的浸润或实变影,也不会出现空洞。组织病理表现为弥漫性肺泡损伤(DAD),极少数的患者可以表现为闭塞性细支气管伴机化性肺炎(BOOP),此时可出现胸膜下的肺部实变【图2】

                                                                                             图1                                                                                                                图2

 

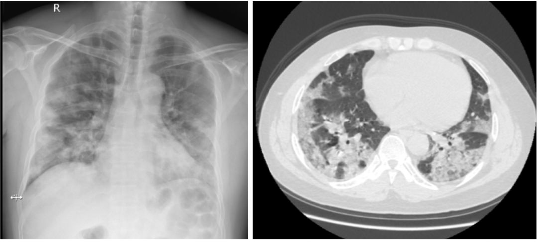
由细菌感染导致的流感患者的肺炎,称为流感病毒相关性细菌肺炎,它比单纯性流感病毒肺炎更为常见。临床表现为咳脓性痰,外周血白细胞明显增多,以中性粒细胞为主。胸部影像基础病变为浸润影和实变影【图3、图4】,可表现为支气管肺炎或大叶性肺炎。流感病毒相关性细菌肺炎还可分为两种类型:「细菌同时感染型」和「继发细菌感染型」。前者是指当流感症状减轻后2~7天,在受损的肺或支气管上继发细菌感染;后者是指在流感病毒感染的同时,即有细菌感染。后者的临床表现一般比前者更为严重。

                                                                                          图3                                                                                                                图4

 

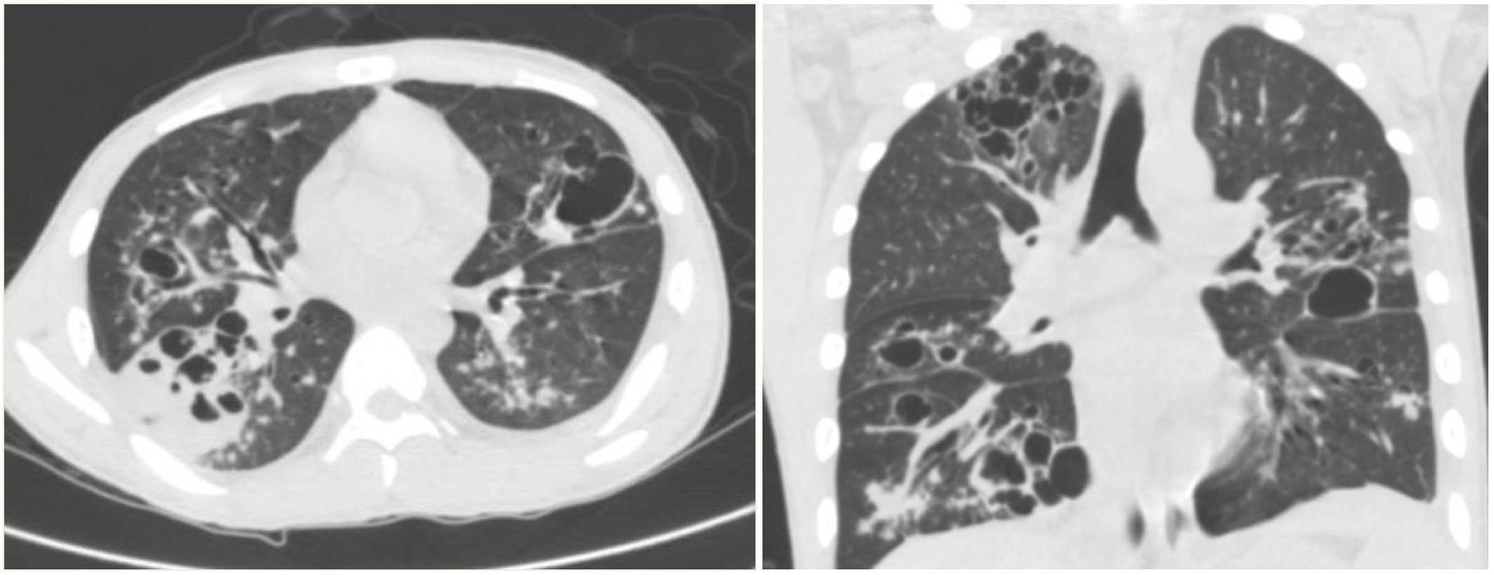
流感病毒相关细菌性肺炎与所谓的社区获得性肺炎的病原菌不同,以金黄色葡萄球、肺炎链球菌和流感嗜血杆菌等最为常见。特别是合并金黄色葡萄球菌感染,是流感病毒肺炎的一个显著的特点。胸片表现为肺部炎性渗出影,病变进展迅速,短期内可形成肺脓肿、肺空洞、脓胸和肺气囊,实变区内见蜂窝样或虫蚀样改变【图5、图6】。血源性金葡菌肺炎常继发于金葡菌败血症,一般为双肺多叶受累,病灶多位于外周。目前认为金葡菌所具有的细菌性蛋白酶可促进流感病毒表面蛋白血凝素的开裂,促进病毒活化和复制,增强其感染性和致病能力。临床表现危重,如果治疗不及时,死亡率高达42%。

                                                                                                   图5                                                                                                                图6

 

  • 流感病毒肺炎的病理学

 

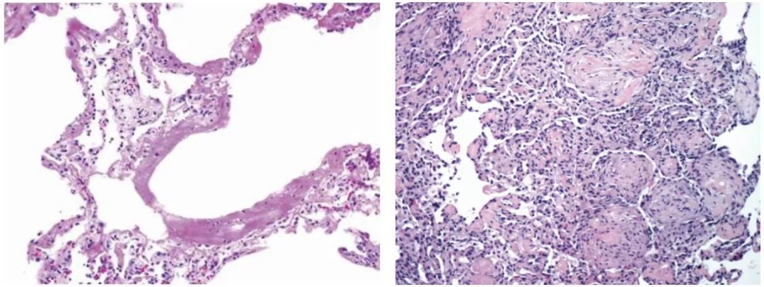
流感病毒主要感染呼吸道上皮,导致呼吸道粘膜坏死脱落【图7】;也可累及肺部,表现为肺泡上皮损伤、肺泡壁毛细血管扩张、淤血,肺泡间隔增宽、淋巴细胞浸润,Ⅱ型肺泡上皮细胞增生【图8】。肺泡腔内炎性渗出、严重者可形成局部或弥漫性的透明膜【图9】。愈合期以间质淋巴细胞浸润和支气管上皮鳞状化生为特征。流感病毒感染通常没有病毒包涵体。机化性肺炎也是流感病毒肺炎的一种表现形式【图10】,此类患者临床上需要加用糖皮质激素治疗。
 

                                                                                                图7                                                                                                              图8

                                                                                                   图9                                                                                                              图10

 

 

  • 流感病毒肺炎的诊断

 

目前,流感病毒临床检测方法主要包括以下4种方法:

1. 病毒核酸检测

以RT-PCR法检测呼吸道标本中的流感病毒核酸。病毒核酸检测的特异性和敏感性最好,且能区分病毒类型和亚型。基于宏基因组学的二代测序技术(NGS)对新型流感病毒感染的诊断和发现具有重要的意义。

2. 病毒抗源检测

快速抗原检测方法可采用胶体金和免疫荧光法,可用于床旁诊断和快速筛检。由于快速抗原检测的敏感性低于核酸检测,因此对快速抗原检测结果的解释应结合患者流行病史和临床症状综合考虑。

3. 血清学检测

检测流感病毒特异性IgM和IgG抗体水平。动态检测的IgG抗体水平恢复期比急性期有4倍或以上升高有回顾性诊断意义。

4. 病毒分离培养

从呼吸道标本中分离出流感病毒。在流感流行季节,流感样病例快速抗原诊断和免疫荧光法检测阴性的患者建议也作病毒分离。典型的流感症状,加上流感病毒检测阳性,可诊断为流感病毒感染;如果同时合并肺炎,可诊断为流感病毒性肺炎。下呼吸道标本如支气管肺泡灌洗液和肺活检组织标本流感病毒检测阳性,是确诊流感病毒肺炎的金标准。

 

  • 流感病毒肺炎的治疗

 

病毒性肺炎的治疗包括对症支持治疗和抗感染治疗。对症支持治疗主要包括高热者可进行物理降温,或应用解热药物;咳嗽咳痰严重者给予止咳祛痰药物。根据缺氧程度可采用鼻导管、储氧面罩、经鼻高流量吸氧等,更为严重的患者可应用无创或有创呼吸机或人工膜肺氧合。

 

抗感染治疗主要包括抗病毒和抗细菌治疗。神经氨酸酶抑制剂是首选的抗病毒药物,应在流感发病的48 h内早期使用,可以明显缩短症状持续时间和减轻症状严重程度,降低并发症发生率。

 

最近的研究证实巴洛沙韦酯(baloxavier)在降低病毒载量方面优于奥司他韦。另外一种抗流感病毒的药物离子通道M2阻滞剂因耐药率较高,目前已很少应用。对于重症患者,糖皮质激素的应用仍存争议,目前观察性研究发现其与更高的病死率相关,特别是剂量超过150mg/天的病例。如果是普通感冒,则没有必要应用抗生素。但是在流感病毒感染时,特别是年老体弱的患者,较多合并细菌性肺炎,应合并使用抗生素。根据最常见的继发细菌感染种类,首选β2内酰胺酶类抗生素合用β2内酰胺酶抑制剂。

 

最近的研究发现,流感合并金葡菌感染多为耐甲氧西林的金葡菌(MRSA),因此在有MRSA流行的地区,抗生素起始治疗还应该具有MRSA的抗菌活性。最近的研究发现流感也是侵袭性肺曲霉病(IPA)的独立危险因素,合并IPA的患者病死率明显升高,疑似IPA的患者,需尽早给予抗真菌治疗。