科室动态

您现在的位置: 首页 - 科室导航 - 口腔医学中心 - 科室动态

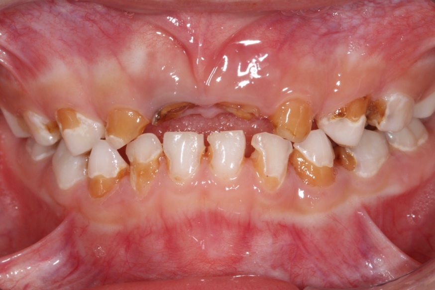
儿童龋病及治疗的问与答(二)什么是“虫牙”?

专业术语称之为龋( , 它是发生在牙齿硬组织的慢性、进行性、破坏性疾病。

图片1.jpg


早期一般没有不适的感觉,往往表现为牙面上有黑点或黄白色斑,随着疾病的进展,硬组织进行破坏,就会形成了龋洞,根据龋病累及的范围和深度,可以分为釉质龋,牙本质浅层龋,牙本质深层龋。这类局限在硬组织内的治疗相对是比较简单的,一般彻底去除产生蛀牙的部分,使用专业的牙科材料填充上就可以了。

如果没有及时治疗,感染进一步扩散达到了牙髓,就会引起吃东西疼,有时甚至夜间疼的睡不着觉,临床上根据疾病发作的缓急程度分为急性牙髓炎和慢性牙髓炎,这时候,就需要进行“杀神经”治疗了。小朋友的神经发育不是十分完善,有时候没有表现出明显的疼痛症状,家长就会忽视病情的严重程度,仍然放任不管,炎症将进一步扩散到根尖周组织,形成炎症,有可能会引起局部牙龈及面部肿胀,甚至全身症状,比如细菌感染引起的发热。当牙体缺损进一步加重,发展成残冠残根的程度时,医生就不得不把患牙拔除,以控制感染,避免波及乳牙牙根下方的恒牙胚。

图片2.jpg

(图片来源于网络,如有侵权,请联系删除)