科室动态

您现在的位置: 首页 - 科室导航 - 口腔医学中心 - 科室动态

牙齿掉了怎么办?口腔修复医生详解三种镶牙方式,助您做出明智选择

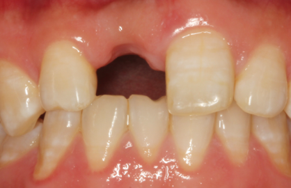
牙齿,作为我们身体中最坚硬的器官,也并非金刚不坏。随着年龄增长,或因龋坏、外伤、牙周病等原因,我们都可能面临牙齿脱落的问题。缺牙不仅影响美观和发音,更会降低咀嚼效率,加重胃肠负担,甚至导致邻牙倾斜、对颌牙伸长,破坏整个口腔咬合的稳定。

当不幸失去一颗或多颗牙齿(医学上称为“牙列缺损”)时,如何选择最合适的修复方式,是许多患者面临的困惑。今天,我将为您详细解析目前主流的三种修复方法:活动假牙、固定桥和种植牙。希望能帮助您在与医生沟通时,心中更有数。

一、可摘局部义齿:经济实用的“可拆卸方案”

什么是活动假牙?

它是一种利用金属卡环(俗称“挂钩”)抱紧邻牙,同时依靠基托覆盖在牙龈和牙槽骨上来获得固位与支撑的修复体。患者可以自行摘戴。

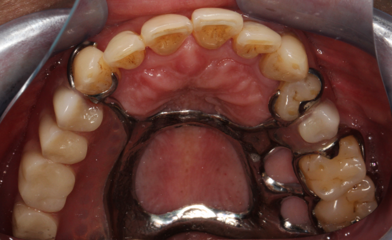
图片1.png

图1.活动义齿

它的核心特点:

优点:

1. 适应症广泛: 几乎适用于各种牙齿缺失情况,无论是单颗、多颗还是末端游离缺失(最后面没有牙)。

2.  价格亲民: 是三种方案中费用最低的一种。

3.  制作快捷: 通常一到两周即可完成,治疗周期短。

4.  微创无痛: 无需手术,仅需取模和少量备牙,对全身健康状况要求低,非常适合年老体弱或有手术禁忌症的患者。

缺点:

1.  异物感强: 较大的基托和金属部件会占据口腔空间,初戴时可能影响发音,并产生明显的异物感。

2.  咀嚼效率较低: 其稳定性不如固定假牙,恢复的咀嚼功能也不如天然牙

3.  不便之处: 每次饭后需取下清洗,睡前还需浸泡,日常护理相对繁琐。

4.  可能损伤邻牙: 金属卡环长期摘戴可能对作为“基牙”的健康牙齿造成一定磨损。

最适合人群: 预算有限、全身情况较差无法耐受手术、或缺失牙较多且作为过渡性修复的患者。

二、固定义齿(固定桥):折中的“桥梁方案”

什么是固定桥?

顾名思义,它就像在缺牙区架起一座“桥”。“桥墩”是缺失牙两侧经过打磨的健康牙齿(称为基牙),“桥体”就是修复的假牙。整个修复体通过粘接剂牢固地固定在基牙上,患者无法自行取下。

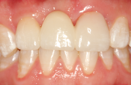
图片2.png图片4.png

图2.固定桥修复

它的核心特点:

优点:

1.  舒适美观: 没有基托,异物感小,外形和颜色都更接近天然牙,美观度高。

2.  咀嚼功能好: 稳定性强,咀嚼效率近似天然牙,使用体验接近真牙。

3.  使用方便: 无需每日摘戴,日常护理如同正常刷牙,非常便利。

缺点:

1.  不可逆的损伤: 这是最大的代价。为了给“桥墩”戴上传送力量的牙冠,需要将两侧健康的基牙磨小一圈。这是一种永久性的、不可逆的损伤。

2.  适应证严格: 对“桥墩”的要求极高,要求邻牙必须足够坚固、健康。如果基牙本身就有问题,此方案便不适用。

3.  清洁挑战: “桥体”下部与牙龈之间存在微小间隙,容易塞牙且难以清洁,需要借助牙线穿引器等特殊工具,否则易导致基牙蛀坏或牙周炎。

4.  “一损俱损”的风险: 一旦任何一个“桥墩”出现问题,整个固定桥都需要拆除重做。

最适合人群: 邻牙本身就有较大缺损(如已做过根管治疗需做牙冠保护)、缺牙间隙不大、且患者非常追求舒适与美观,同时不愿或不能接受种植牙的情况。在种植技术日益成熟的今天,固定桥的应用已逐渐减少。

三、种植义齿:目前最理想的“仿生方案”

什么是种植牙?

它被誉为“人类的第三副牙齿”。其原理并非简单地在牙龈上做假牙,而是在牙槽骨内植入一个纯钛的“人工牙根”(即种植体),待其与骨骼牢固结合后,再在上面安装牙冠。

图片5.png

图3.种植义齿修复示意图

它的核心特点:

优点:

1.  不伤邻牙: 最大程度地保护了您的健康邻牙,无需磨损任何其他牙齿。

2.  功能强大: 能恢复90%以上的咀嚼力,咀嚼感受最接近真牙。

3.  舒适美观: 无异物感,外形、色泽、通透度都可媲美天然牙。

4.  保护牙槽骨: 咀嚼力通过种植体直接传递至牙槽骨,能有效防止缺牙区域的牙槽骨萎缩。

5.  长期耐用: 在维护得当的情况下,是目前使用寿命最长的修复方式。

缺点:

1.  治疗周期长:从植入种植体到戴上牙冠,通常需要3-6个月甚至更久,以供骨结合。

2  门槛较高: 对患者的全身健康状况(如未受控制的糖尿病、严重心脏病)、口腔局部条件(如牙槽骨的高度和密度)以及口腔卫生习惯都有严格要求。

3.  需要微创手术: 需要接受一次植入手术,虽然是小手术,但仍存在极低的感染和失败风险。

最适合人群: 全身健康状况良好,牙槽骨条件许可,追求最佳修复效果,并愿意为长期健康投资的患者。

最后,也是最重要的一点: 没有一种修复方案是完美无缺、适用于所有人的。最适合您的,才是最好的。

您的修复医生会通过口内检查、拍摄X光片或CBCT,全面评估您的缺牙情况、邻牙健康状况、牙槽骨条件以及您的全身健康史和预算,为您提供专业的个性化方案。请务必与您的医生充分沟通您的需求和顾虑,共同做出最明智的选择。