科室动态

您现在的位置: 首页 - 科室导航 - 口腔医学中心 - 科室动态

牙片那点事儿

  “拍牙片?看个牙还要拍个X光吃个线?”来到口腔科的很多患者都有这样的抱怨和顾虑。实际上,拍牙片是为了科学诊断,避免误诊!

  

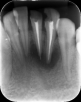
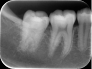
  全口根尖片

  1.为什么要拍牙片?

  牙片是治疗牙齿过程中重要的手段之一,在治疗前可以用于发现病变程度;治疗中确定治疗范围和深度;治疗后用于观察疗效。通过牙片,口腔医生可以了解蛀牙范围有多大,牙痛是由牙髓神经发炎、根尖炎症还是牙周炎等引起的,镶牙的条件是否足够,种植牙需要的骨量,发现发育畸形以及某些肿瘤等。另外,牙片还为医患沟通提供了很好的依据。

  

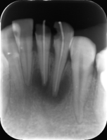
根管治疗前中后

  2.不拍牙片能治疗牙齿吗?

  能!一些基础性的常见病…是可以的。(很少遇见)

  但是稍微复杂性的牙病,必须拍片!拍牙片是为了让患者得到一种保障,提高医生诊断的准确性和成功率。如果不拍片的话,有可能导致治疗过程中无法正确把握位置等情况出现,从而影响治疗效果。

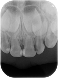
正常患者牙齿片

  3.牙片分为几种?

  常见X线片一般分为曲面断层片和根尖片,有些特殊情况还需要拍CBCT。具体需要拍哪种片子,根据每个人的牙齿情况不同会有所区别。

离体牙

  4.哪些口腔问题需要拍片呢?

  像拔智齿、补牙、做根管治疗、牙周病、种植牙、牙齿矫正等等都需要拍片。牙片基本属于常规检查。

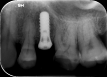
种植牙复查

  5.拍牙片有辐射吗?

  有,但是在可接受的范围内。口腔X线检查对身体的损伤是极小的,对一般人没有什么影响,且目前使用的设备都有很好的防护措施。

铅围脖伪影

  6.孕妇和儿童可以拍牙片吗?

  孕妇一般不建议拍牙片,但是,孕妇也不是绝对不可以拍X线片。未经治疗的牙科感染会对胎儿造成潜在威胁。当孕妇不得不拍牙片时,一般不建议在孕期前三个月拍,毕竟胎儿较常人更敏感。三个月后,孕妇应该穿防护衣(铅衣)接受X光拍摄,这样对胎儿的影响几乎微不足道。

  儿童是可以拍牙片的,医生会为他们统一佩戴铅围脖或穿上铅衣。儿童正在快速发育期间,骨髓往往活跃而稚嫩,容易受到X线侵犯,因此有必要做好防护措施,将危害的效果降到微乎其微。

儿童乳牙片

  (以上图像均为北京清华长庚医院口腔科拍摄,请勿转载)

  作者:北京清华长庚医院口腔科技师  张原彬