科室动态

您现在的位置: 首页 - 科室导航 - 口腔医学中心 - 科室动态

可摘局部义齿使用说明书


什么?假牙还有说明书? 不就是用来吃饭吗?谁还不会吃饭啊?

没准您还真不会!天然牙当然不用教您吃饭方法,但是假牙由于是人工制作的修复体,为了更好的发挥作用,就要按照要求使用。我们平时大到买个电视洗衣机,小到手机玩具,都配有说明书,甚至买件衣服,吊牌上是不是都有洗衣指南?如果不按照说明书上的要求使用,会非常容易损坏。

假牙当然也一样啦,一定要按照要求佩戴,才能发挥出最大的作用。所以,我们将推出假牙的使用说明书系列,依次介绍各类假牙的使用注意事项。按照这份假牙使用说明佩戴,就不怕假牙再出问题啦!

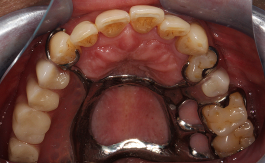
假牙,江(口)湖(腔)人称义齿,就是牙齿缺损或者缺失以后模拟天然牙的形态和功能做的修复体。根据能否由患者自行摘戴,可以将其分为活动义齿和固定义齿。活动义齿就是可以随时摘戴,随意取出的假牙,不能取出的就是固定义齿。活动义齿根据还有没有余留的天然牙齿,分为可摘局部义齿和全口义齿。今天我们就来看看还余留部分天然牙的可摘局部义齿的使用注意事项。

图片1.png


1. 义齿初戴:坚持佩戴,尽快适应

新的活动义齿初次佩戴的前一周内,首要任务是去适应它。

很多患者刚戴活动假牙时会觉得嘴里别扭,有异物感,这都是非常正常的现象。因为活动假牙的部件非常多,体积一般比较大,嘴里骤然多了这么大的假牙都会有感觉异常的现象,所以刚开始戴活动假牙的时候,要尽量坚持佩戴,让口腔内的舌头、黏膜、肌肉尽快习惯新义齿的存在。如实在恶心无法坚持佩戴,可以每天延长半小时、一小时的佩戴时间,这样能让口腔尽快地适应新的假牙,通常两三周内基本就能适应了。另外,由于活动义齿是覆盖在缺失牙的牙床上的,受到咬合力后这些区域可能会有轻微压迫的感觉,如果不强烈,建议坚持佩戴以适应咬合力量。但是要注意,在适应新牙的这段时期,要先吃软烂的食物,没有不适再慢慢增加硬度,否则,突然增大的咬合力可能会造成黏膜压痛,这样,假牙还戴着恶心呢就又有疼痛,容易影响患者的佩戴信心。

说得通俗点,就像公司招聘了新员工,得有一段实习期,来融入公司,这段时间,主要是让新老员工融合的阶段,没有哪个公司新员工刚入职就给安排大项目吧?

2. 使用要求: 不吃粘硬食物,小心摘戴。

适应了新牙之后,就可以开始正常使用了,这时我们要做到:

不要着急吃大鱼大肉。佩戴假牙的第一周,应先进食软烂食物,如无不适可逐渐增加食物硬度。如有轻微压迫感而无疼痛,建议坚持佩戴,让黏膜适应压力,如疼痛较重,且数日仍无好转,建议就诊让医生处理。

不吃粘性食物。由于活动义齿可以摘戴的特点,如进食粘性食物,假牙会有活动脱落的风险,假牙松动爱掉事小,如不慎吞咽或呛咳,假牙进入消化道或气管,甚至会有致命危险。

不吃硬质食物。一般制作活动假牙的患者缺失牙都比较多,余留的少量天然牙由于需要负担其它牙的力量,本身就受力较大,如果再经常进食硬性食物,对于余留的天然牙负担更大,容易造成松动脱落。另外,过大的咬合力也会传导到缺失牙的牙床上,造成压痛,黏膜溃疡等,影响佩戴。再者,活动假牙的人工牙材料一般都是树脂,它的耐磨性能比较差,如经常进食硬性实物,容易造成人工牙的异常磨耗。

小心摘戴。佩戴活动假牙时,需要用手将假牙放到位,不能图方便直接用牙咬到位。因为在假牙还没就位时,我们无法判断假牙的位置,可能假牙是歪的,牙齿的咬合力非常大,如果此时用牙齿咬下,有可能造成义齿变形,导致无法佩戴。

图片2.png


3. 清洁维护: 三餐冲洗,夜晚浸泡,定期复诊。

由于活动义齿的可以摘戴,部件繁多的特点,在进食时,会有食物残渣存留在假牙与余留的天然牙及黏膜上。因此,每次进食过后,都要将假牙取下,在流动水下冲洗,将食物残渣冲洗干净,口内的天然牙周围也会残存食物,也需要漱口将残渣去除,保证口内天然牙和假牙都干净后再佩戴。(小tips:在水龙头下冲洗假牙时可以在洗漱台上放个小盆,内装半盆水,这样,在冲洗假牙过程中如有不慎滑落,掉到水里也不会损坏。)

图片3.png


每晚睡觉时不能佩戴假牙,睡前洗漱时需将假牙取下,认真观察假牙是否有冲洗不掉的污渍,这时可用软毛牙刷不沾牙膏将污渍刷掉,如有牙刷也无法去除的污渍,可以用假牙清洁片浸泡。口内余留天然牙要按照常规刷牙方法认真进行清洁。最后,将假牙放在冷清水中浸泡,不需增加其它溶剂。(小tips:浸泡假牙建议使用新的容器,以免使用旧牙杯浸泡,忘记里面还放着假牙,不小心将假牙丢弃。)

图片4.png


牙齿拔除后,缺牙区牙槽骨会进行性吸收,因此,活动假牙佩戴后5年左右,牙槽骨吸收量就较大了,这时,活动假牙会出现松动、压痛、不稳定等情况,这时就需要更换了。所以,一般佩戴活动义齿5年左右需要复诊,必要时重新制作义齿。

好了,以上就是活动假牙的保姆级教程,快来按照正确的使用方法使用吧。

                                               清华长庚医院口腔科 何慧莹