科室动态

您现在的位置: 首页 - 科室导航 - 口腔医学中心 - 科室动态

全口义齿的使用说明书:您的“第三副牙齿”养护全攻略

牙齿全部缺失,制作一副全新的全口义齿(又称总义齿),无疑是重启美食与微笑生活的关键一步。然而,它与您之前可能接触过的、有“挂钩”的可摘局部义齿有着天壤之别。全口义齿没有任何天然牙的辅助固位,它完全依靠基托与您口腔黏膜之间精密产生的大气压力和吸附力来固位,就像一个吸盘。

图片5.png

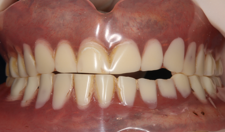
图1.总义齿

因此,要与之和谐共处,您需要掌握一套全新的使用手册。这不仅关乎舒适度,更直接关系到您的口腔长期健康。请收好这份为您精心准备的“养护全攻略”。

第一:理解它的“根基”——为何它如此不同

首先,请理解一个核心概念:您的牙床(牙槽嵴)就是支撑义齿的“地基”。这个地基由牙龈和牙槽骨构成。牙齿脱落后,牙槽骨会持续缓慢地吸收、萎缩。全口义齿正是完美地贴合在这个不断变化的地基上。

由于没有牙根,您无法重现真牙咬东西时那种“力从根起”的感觉。所有的咀嚼力都需要通过义齿基托均匀地分散到整个牙床上。因此,任何导致压力不平衡的动作,都可能引起问题。理解了这一点,您就能更好地明白下文所有注意事项背后的原理。

第二:核心使用法则——三条“铁律”必须守

铁律一:坚决不用前牙“啃”东西!

这是全口义齿使用者最需要颠覆的习惯,也是导致修复失败最常见的原因。

· 为什么?当您用前牙去啃苹果、咬玉米时,会形成一个以后部牙槽嵴为支点的杠杆。这个杠杆力会瞬间破坏义齿前部的吸附力,导致上颌义齿后缘翘起、下颌义齿脱位。不仅吃不成东西,这种巨大的、不均衡的压力会持续地、集中地压迫牙槽骨,导致其加速吸收。长期如此,前部本应坚实的牙槽骨会被吸收殆尽,代之以柔软、可移动的纤维组织(松软牙槽嵴),届时任何义齿都无法再获得稳定。

怎么做?将食物切成小块后再送入后牙区咀嚼。吃苹果切片,吃玉米用刀切下玉米粒。这看似小小的改变,却是保护您牙床“地基”长久稳定的第一要诀。

图片7.png图片6.png图片8.png

图2.患者戴用十余年义齿后的上颌前部松软牙槽嵴及义齿磨损情况。(患者喜欢前牙啃玉米、啃骨头等硬物,长期前部过大压力造成上颌前部牙槽骨吸收,逐渐转化为软组织,形成松软牙槽嵴)

铁律二:养成双侧后牙同时咀嚼的习惯

· 为什么?用单侧牙齿咀嚼是另一个常见的错误。这会导致义齿受力不均,容易翘动、旋转,同样会破坏固位和稳定。更重要的是,长期偏侧咀嚼会让您的牙床一边受压过度(加速吸收),另一边废用性萎缩,最终导致面部可能不对称,义齿也因应力扭曲而更容易折断。

· 怎么做?进食时,有意识地将食物平均分配到左右两侧,用两侧的后牙同时、均匀地进行咀嚼。这能保证力量被最平均地分散,义齿最稳定,也是对牙床最健康的受力方式。

铁律三:小心那些让义齿“飞出去”的瞬间

· 为什么?义齿的固位依赖于边缘的密闭封条(边缘封闭)。任何突然的、强大的气流都可能瞬间冲破这个封条,导致压力失衡,义齿脱落。

· 怎么做?

打喷嚏、咳嗽时: 请务必下意识地低头、用手捂住口鼻。这个动作不仅能礼貌地阻挡飞沫,更能缓冲气流,防止义齿“脱口而出”的尴尬。

吹蜡烛、吹气球时: 尽量避免。如果必须,请用手轻轻辅助固定上颌义齿。

漱口、喝水、热汤: 稳定义齿。水流也会破坏边缘封闭造成义齿松动,因此可提前防范,稳定义齿。

第三:日常护理与适应——耐心是成功的钥匙

1. 坚持佩戴,逐步适应:初戴义齿必然有异物感、恶心、流涎增多、发音不清等情况。这是正常的! 请务必坚持佩戴,给口腔肌肉和神经足够的时间去适应这个新伙伴。可以从每天戴几小时开始,逐渐增加时长。多朗读、多交流,加速适应发音。

2. 精细清洁,夜有所息:

三餐后必清洗: 摘下义齿,用软毛牙刷和清水(或义齿清洁片)刷洗每一个面,清除食物残渣和菌斑。

睡前必摘下: 切勿戴着义齿睡觉! 这让您的牙床得以休息,避免长期受压,同时有效预防白色念珠菌等真菌感染。

浸泡保存: 摘下清洗后的义齿应浸泡在清水或义齿护理液中,以防干燥变形。切勿用热水或酒精浸泡。

3. 定期复诊,及时调整:

请不要自行修改! 通常戴牙后1个月内需频繁复诊。医生会检查压痛点、边缘贴合度,并为您调整,确保它始终与您的牙床完美贴合。

第四:建立合理预期——它不是万能牙

全口义齿能恢复您绝大部分的咀嚼功能和面容,但它的效率通常无法达到天然牙的水平。您可能需要避免一些过于粘稠(年糕、汤圆)或坚硬(硬糖、骨头)的食物。这是一个必要的适应过程,也是对义齿最好的保护。

总结而言,成功驾驭全口义齿,是一场需要耐心、技巧和坚持的“合作”。 您是新牙的“驾驶员”,而您的修复医生则是您的“专属教练”和“维修师”。遵循这份说明书,并与您的医生保持密切沟通,这副全新的牙齿一定能更好地为您服务,助您重享吃喝之乐,笑口常开!