健康教育

您现在的位置: 首页 - 科室导航 - 口腔医学中心 - 健康教育

每天刷牙两次还蛀牙?90%的人没刷到这3个死角

“医生,我每天都用电动牙刷,严格遵守巴氏刷牙法,一天两次,雷打不动,为什么体检时还是告诉我又有新蛀牙了?”在临床中几乎每天都会遇到这样充满困惑和委屈的患者。他们的口腔卫生意识远超常人,但结果却令人沮丧。问题究竟出在哪里?答案往往并非不够努力,而是忽略了几个关键的“隐秘角落”。我们的牙齿并非一个光滑的平面,而是一个复杂的立体结构,传统的刷牙只能清除60%-70%的菌斑。真正的蛀牙元凶,就藏在那些牙刷毛根本无法触及的地方。

今天,就让我们一起来揭开这三个最容易被忽略的“蛀牙死角”,看看您是否也中招了。

死角一:牙与牙之间的“亲密邻居”——邻间隙

位置:两颗牙齿紧密相挨的侧面。

为什么这里是盲区?

这是一个经典的“物理难题”。牙刷刷毛的直径通常在0.1到0.2毫米之间,而健康的牙缝间隙仅有0.02到0.1毫米。这意味着,无论你的牙刷多么高级,刷毛多么纤细,都无法有效进入这个狭小空间进行清洁。

后果:

食物残渣和细菌在此地长期“安居乐业”,形成菌斑生物膜。它们产酸腐蚀牙面,从而引发邻面龋。这种蛀牙极具隐蔽性和欺骗性:从牙齿的正面看过去,可能仅仅是一条细微的黑线甚至完全看不见,但在X光片下,它可能已经在牙齿内部蛀成了一个巨大的“隧道”或“山洞”。等到出现疼痛症状时,蛀洞往往已经深及牙髓,需要进行复杂的根管治疗了。

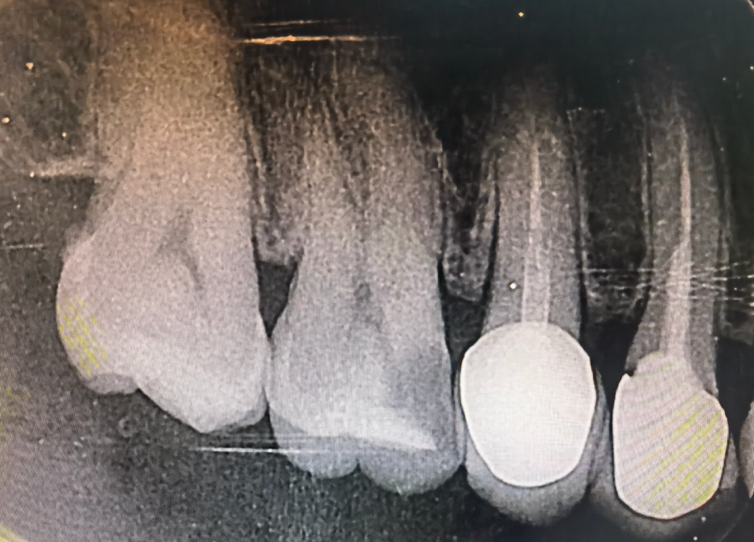
图片41.png

图1: X光片示,左数第二颗牙(右上第一磨牙近中)的表面看似只有微小缺损,但其内部邻面已形成大面积龋坏洞,几乎穿透至牙髓。这就是邻面龋的典型特征——“口小底大”。

正确操作:

1.  牙线是唯一解药:必须每天至少使用一次牙线或牙线棒。正确方法是将牙线呈“C”字形包裹牙侧面,上下刮擦,而非粗暴地拉锯式来回拉动。这个动作能有效清除邻面的菌斑。

2.  牙缝刷辅助: 对于牙龈萎缩、牙缝较大的患者,牙缝刷是更好的选择。要选择尺寸合适的型号——刷头能轻松通过牙缝,但又带有一定的摩擦感为宜。

3.  家长负责制: 儿童6-12岁是邻面龋的高发期,家长应耐心帮助孩子使用儿童牙线,培养其良好的习惯。

图片42.png

图2:展示牙线以“C”字形环绕牙齿侧面,清洁牙龈沟和邻面区域的示意图。

死角二:后牙咬合面的“崇山峻岭”——窝沟点隙

位置:大牙(磨牙)咬合面上那些深邃的沟壑与点隙。

为什么这里是盲区?

这些窝沟的深度可达1-3毫米,其形态复杂多变,有些甚至细如发丝。牙刷毛的尖端只能清洁到窝沟的开口处,根本无法深入底部。对于新萌出的恒牙,其窝沟往往更深更窄,清洁难度更大。

后果:

同样,细菌和食物残渣在此堆积,引发窝沟龋。其发展模式与邻面龋类似——“潜行性破坏”。表面可能只是一个针尖大小的黑点,看起来人畜无害,但内部可能已经被蛀空,一旦牙釉质这层“天花板”塌陷,整个牙冠就会大面积崩坏。

正确操作:

1.  黄金预防:窝沟封闭: 这是预防窝沟龋最有效的手段。在恒磨牙(6岁左右的第一恒磨牙“六龄齿”和12岁左右的第二恒磨牙)完全萌出后,尽快由医生用树脂材料将其窝沟填平,形成一层保护性屏障,使窝沟变得易于清洁。

2.  精准刷牙: 刷后牙时,要有意识地将刷毛尖端垂直对准窝沟,进行小范围、高频率的打圈震颤,每个点位持续10秒以上,利用刷毛的振动将窝沟口的污垢“震”出来。

3.  定期检查: 每半年一次的口腔检查至关重要。医生会用专业的探针仔细探查这些窝沟,早期发现问题并及时处理。

图片43.png

图3:一颗牙齿做窝沟封闭前后的对比图,直观显示封闭剂如何将深沟变浅、变平,从而易于清洁。

死角三:牙齿与牙龈的“交界地带”——龈沟

位置: 牙齿与牙龈交界处的一条深度约1-3毫米的浅沟。

为什么这里是盲区?

很多人因为害怕刷到牙龈引起出血或疼痛,会有意无意地避开这个区域。或者使用刷毛过硬的牙刷,一旦采用45度角刷牙,确实会带来不适感,导致患者放弃正确方法。

后果:

这个区域的菌斑堆积,会同时引发两大问题:一是牙颈部蛀牙(颈部龋),这个位置的牙体组织本身较薄,一旦发生蛀牙,很容易累及牙神经;二是牙周炎,菌斑中的毒素会持续刺激牙龈,引发红肿、出血,进而导致牙槽骨吸收、牙龈退缩、牙齿松动。

正确操作:

1.  45度角震颤: 使用巴氏刷牙法时,务必确保刷毛与牙面呈45度角,尖端深入龈沟,进行非常短距离、小幅度的水平震颤,而非长距离拉锯式横刷。每组牙震颤10次左右再移动。

2.  工具的选择: 强烈推荐使用软毛、小头的牙刷,它能更好地进入这个敏感区域并减少刺激。电动牙刷的“敏感模式”也是不错的选择。

3.  特殊人群关怀: 对于已经牙龈退缩的患者,牙颈部暴露,更加敏感,可以选用“颈部专用”的超软毛牙刷,温和清洁。

图片44.png

图4:牙齿和牙龈交界的位置也是刷牙的重点。

总结而言,一场完美的口腔清洁战役,必须是“多兵种协同作战”。

-牙刷是主力部队,负责清扫大面积的平坦区域。

-牙线/牙缝刷是特种部队,负责深入缝隙,解决牙缝难题。

-窝沟封闭是坚固的防御工事,为薄弱地带提前建立保护。

-定期专业检查则是高精度的雷达扫描,能提前发现隐藏的敌人。

如果您也在为“明明很认真刷牙却还是蛀牙”而烦恼,不妨立刻自检一下,是否忽略了以上三个死角。从现在开始,升级您的清洁策略,让每一颗牙齿的每一个面都得到应有的呵护。请将这份科普分享给身边的人,让我们一起,把蛀牙的可能性降到最低!